What do endodontic experts base their decisions on: intuition, experience or CBCT imaging? The following case report on a 10-year-old patient shows that an apical lesion does not necessarily mean the affected tooth has to go. Using flexible nickel-titanium (NiTi) files, even root canals with curves or special features can be cleaned safely and with long term success.
While much evidence exists in clinical dentistry, it is mainly of relatively poor quality. As aresult, many clinicians rather rely on their own clinical experience. An apparently simple clinical scenario can be treated several ways and still have a favourable prognosis in each case, as various discussions in expert groups on the corresponding social media channels suggest. Endodontic treatment is no exception. Recent work at Ghent University in Belgium has shown that dentists are frequently biased when it comes to making treatment decisions. For example, for a tooth presenting with a persistent and chronic asymptomatic apical lesion, an endodontic specialist will more readily choose retreatment or apical surgery than extraction and rehabilitation with an implant and crown or no treatment at all—quite the opposite is true for prosthodontists and oral surgeons. In fact, the treatment should actually be driven by the patient, giving informed consent after he or she has been informed comprehensively about treatment options, and their inherent benefits and risks, and after he or she has been given estimations on the longevity of every option. This article will use a case report in order to discuss whether (and if so, at what stage) apical lesions should be treated.
Endodontic treatment choices
Recent data from Ghent University1 and other epidemiological studies show that an extraction was chosen in 22% of cases where an apical lesion of up to 1 cm was present. If the lesion was larger than 1 cm, an extraction became even more attractive for the participants: 50 per cent opted for this option. This conclusion might seem logical; however, the dentists that took part in the study had no idea about the histology of the present apical periodontitis (i.e. whether it was a true cyst, an apical pocket cyst or periapical granuloma) because their decision-making process was based on radiographs alone. Naïr claims that it is impossible to make a differential diagnosis between cystic and non-cystic lesions based on radiographic information alone, and if not followed up, it is also impossible to say whether the lesion is healing or worsening.[2]
Fig. 1: Conventional radiograph of an endodontically treated tooth #11 and cold-sensitive tooth #12 compared with CBCT imaging showing the presence of a large apical bone defect (taken at a two-day interval).
Fig. 2a: Conventional radiograph of an endodontically treated tooth #11 and cold-sensitive tooth #12 compared with CBCT imaging showing the presence of a large apical bone defect (taken at a two-day interval).
Fig. 2b: Conventional radiograph of an endodontically treated tooth #11 and cold-sensitive tooth #12 compared with CBCT imaging showing the presence of a large apical bone defect (taken at a two-day interval).
Fig. 2c: Conventional radiograph of an endodontically treated tooth #11 and cold-sensitive tooth #12 compared with CBCT imaging showing the presence of a large apical bone defect (taken at a two-day interval).
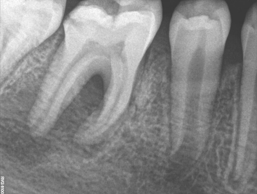
Fig. 3: Pre-op radiograph of tooth #46 showed a large area affected by periapical periodontitis going up into the furcation.
Fig. 4: Clinical image of tooth #46 showing swelling of the buccal mucosa and the presence of a sinus tract, as well as bleeding and pus after probing.
Fig. 5a: HyFlex EDM Finishing file sequence.
Fig. 5b: HyFlex EDM Finishing file sequence.
Fig. 5c: HyFlex EDM Finishing file sequence.
Fig. 6: Healing sinus tract at the start of the second appointment.
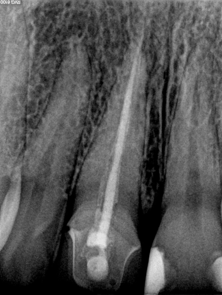
Fig. 7: Control of the obturation before final restoration.
Fig. 8: Follow-up radiograph after three months showing almost complete healing.
Fig. 9: Completely healed mucosa and no swelling after three months.
Moreover, when the limitations of 2-D radiographs are considered, it is evident that these hold implications for evaluation and clinical planning.3 Wu et al. showed that there was a high incidence of teeth with a healthy or healing periapex confirmed on a conventional radiograph that showed apical periodontitis on cone beam computed tomography (CBCT) and by histology. [3] Evidence thus suggests that even the main imaging modality of our times can be misleading and inaccurate when considered in isolation (Figs. 1 & 2a–c). Although CBCT can more accurately and reliably detect and measure the size of an apical lesion, unfortunately there are no studies that justify the use of CBCT as a standard diagnostic tool for periapical lesions. [4] Morris et al. concluded that, if root canal therapy is necessary and teeth are still restorable with a direct or indirect restoration and have a (long-term) positive or controllable periodontal situation, an endodontic treatment should always be the first option. [5] The presence of apical periodontitis and its size should be of no concern—at this point—to making a treatment choice.
Does size matter?
In general, the literature suggests, as well that the larger the lesion, the more unfavourable the conditions for healing. The reason is quite simple: a larger lesion normally needs a long time to grow. The more established a biofilm becomes, the greater the diversity of bacteria and the more it compromises a predictable treatment outcome. [6] As this approach is somewhat speculative, more research needs to be done, [7] although in general it can be stated that for every millimetre increase in the radiographic periapical area, the likelihood of success decreases by 14 per cent in comparison to cases with no lesion at all. Especially in endodontic microsurgery, there is a negative correlation between the size of the lesion and the possibility of healing, [8] but this does not mean that a surgical approach necessarily follows the initial endodontic treatment.
In conventional root canal therapy, a lesion size equal to or greater than 2 mm (on a conventional radiograph) is considered a risk factor for potential reintervention after initial treatment—even though this is complicated by the fact that the dimensions of a radiographic lesion are, to a certain degree, based on clinical judgement and radiograph angle and quality. [9]
Larger radiolucencies are more likely to be cystic of nature, but as stated before, it is impossible to make a correct histological judgement based on a radiograph alone.2 Larger anomalies also tend to expand into nearby anatomical structures, which, in turn, tends to be unfavourable for endodontic (surgical) treatment because of the potential risk of those structures being affected during the procedure (e.g. sinus and nasal cavities, and mandibular nerve canal). This does not mean that therapy is impossible, but it becomes less predictable and more in need of the intervention of a specialist.
Case report: Young patientwith a chronic apical abscess
A 10-year-old patient was referred for root canal therapy on a right mandibular molar. Tooth #46 showed the clinical presence of a sinus tract on the buccal aspect. The referral letter stated that the possibility of success could be low because of the large area affected by apical periodontitis and that an extraction would be necessary. Nonetheless, both the patient and the parents were keen to try to save the tooth.
After clinical and radiographic examination, pulp necrosis and a chronic apical abscess were diagnosed (Figs. 3 & 4). Probing of the buccal sinus tract led to the apex. Since it is impossible to know the histology of an apical radiolucency of this size, endodontic treatment was the first choice, although the furcation could be probed, which made the periodontal situation less predictable. The choice was also based on the expectation that root canal therapy would be far less complex than an extraction with the following orthodontic and prosthodontic treatment.
The endodontic treatment consisted of two appointments. During the first appointment, tooth #46 was isolated with a dental dam and all caries was removed. For cleaning the root canals, a modular NiTi file system (HyFlex EDM) by Swiss dental specialist COLTENE was used (Fig. 5). After coronal flaring, the canals were shaped and cleaned using HyFlex EDM files up to a file size of 40/04. The reason for using this system was the high flexibility of the files that compensates for the fact that the slightly curved mesial canals were difficult to reach with limited mouth opening. In addition, only a small number of files are necessary to accomplish proper apical enlargement. The files move perfectly through the centre of the canal, which allows a significant reduction in the number of files used without compromising the preservation of the natural root canal anatomy.
Chemical debridement and disinfection was carried out with sodium hypochlorite (5.25%) and ultrasonic activation in order to employ acoustic cavitation. After the placement of an intermediate dressing with non-setting calcium hydroxide, the tooth was restored with a composite restoration to avoid coronal leakage with a teflon barrier in between.
Flexible shaping to file size 60/02
At the second appointment, the sinus tract was still present, but probing at the site of the furcation was almost impossible. The swelling was almost completely gone (Fig. 6). Once again, the tooth was isolated with a dental dam and both mesial canals were shaped with HyFlex EDM Finishing files to a final size of 50/03. For the distal canal, we used a sequence of files up to size 60/02. Further cleaning was performed with sodium hypochlorite and a penultimate rinse of citric acid (40%). Since there was no draining of pus into the root canals upon drying the canals or coming from the sinus tract, both mesial canals were obturated with a bioceramic sealer. The distal canal was sealed with an apical plug of mineral trioxide aggregate at the apex. The distobuccal cusps were completely covered with composite. Further ameliorations of the restoration might be necessary once tooth #47 is in its final position (Fig. 7). After three months, a recall appointment was planned to follow up on the healing of the sinus tract. The mucosa had healed and there was no longer any sign of the sinus tract. Buccal probing of the furcation was not possible and the radiograph showed almost complete healing (Figs. 8 & 9). If I was not an endodontic specialist with a high affinity for root canal therapy in general and a great desire to try to save every tooth, I probably would have opted for extraction for several reasons:
– The referring dentist was in doubt as well.
– A large area affected by apical periodontitis was present on 2-D imaging.
– The sinus tract did not completely heal after the first treatment with an inter-appointment calcium hydroxide dressing.
– The periodontal situation was not certain at the start of the treatment because the furcation could be probed.
– The compliance of patients of this age is not always predictable and sometimes requires more steps.
Radiographic success at last?
Considering the studies mentioned in this article, the case presented shows that prejudices and subjective diagnosis should not withhold us from performing a root canal ther-apy in the case of a large apical lesion. With informed consent and the correct motivation from the patient’s side, root canal therapy should always be the first choice. In the case described, it appeared to be the right decision ultimately. Although conventional 2-D imaging that is used for (early) follow-up might hide the presence of lingering apical periodontitis (or a lesion growing in another direction) and CBCT imaging might be the only true indicator of our ability to reduce or prevent further apical infection, there is no way to make a distinction on a radiograph or CBCT scan between scar tissue and apical infection when no clinical symptoms are present whatsoever. This leads to the final question, whether it is necessary to seek absolute (radiographic) success or just clinical survival.
Conclusion
Combining several imaging tools helps endodontic specialists to make the right diagnosis and treatment choices in cloudy clinical situations. With modern pre-bendable NiTi files, even root canals with severe curves can be shaped efficiently, just as anatomies with apical lesions and sinus tracts can be. In the long run, even teeth might be preserved that were condemned to be extracted by the referring dentist or at least present challenging conditions to the endodontic expert.
Acknowledgement
I would like to give my special thanks to the James’ Online Community for Dental Sciences Facebook group.
Editorial note: A list of references is available from the publisher. This article was published in roots – international magazine of endodontics No. 03/2018.
INNSBRUCK, Austria: A dentist in Austria has caused some sensation with his protest message directed at patients. For three weeks, his practice bore a sign ...
WHANGANUI, New Zealand: Aiming to find a safer, more effective and faster treatment method to reduce the high prevalence of dental caries in children in New...
BETHLEHEM, Pa., US: Aggressive forms of periodontitis associated with Aggregatibacter actinomycetemcomitans are often difficult to treat with traditional ...
SENDAI, Japan: Periodontitis affects many people and can have serious effects on oral health. In new research originating from Japan, scientists have ...
WASHINGTON, U.S.: Prevention is always the best place to start when talking about dental care; however, many patients would be thrilled to have access to an...
LEIPZIG, Germany: Many understood the news of the first SARS-CoV-2 vaccines in late 2020 to represent a panacea in the global fight against the pandemic. In...
WASHINGTON, US: Covering everything, including composite fillings and disposable suction tips, plastics are woven into all aspects of modern dental care. ...
CHICAGO, U.S.: The American Dental Association (ADA) has recommended that dentists in all U.S. states postpone elective procedures for the next three weeks,...
SYDNEY, Australia: Aboriginal people and Torres Strait Islanders who were, as children, forcibly taken from their families between 1910 and 1970 are known ...
BRUSSELS, Belgium: The European Union, together with seven of its member states, has ratified the Minamata Convention on Mercury and resultantly provided ...
Live webinar
Tue. 12 May 2026
1:00 pm EST (New York)
Live webinar
Thu. 14 May 2026
12:00 pm EST (New York)
Live webinar
Thu. 14 May 2026
2:00 pm EST (New York)
Prof. Hani Ounsi DDS PhD FICD
Live webinar
Tue. 19 May 2026
11:00 am EST (New York)
Live webinar
Tue. 19 May 2026
1:00 pm EST (New York)
Prof. Dr. med. dent. Ivo Krejci
Live webinar
Wed. 20 May 2026
7:00 am EST (New York)
Dr. Graham Carmichael BDSc (Hons), DClinDent (Pros), FRACDS, Dr. Robert Gottlander DDS
Live webinar
Wed. 20 May 2026
9:00 am EST (New York)
To post a reply please login or register