When meeting someone for the first time, a dental technician or dentist automatically glances at the person’s mouth and teeth. Generally, the unnatural grey- or purple-coloured gingiva attracts more attention then the quality of the crowns.
As detailed in the following case report, anterior porcelain-fused-to-metal (PFM) crowns or bridges are the main reason for this unsightly gingiva.
Case report
A female patient came to our office in February 2012 complaining about pain in the region of teeth 22 and 23. In addition, she was unhappy about the grey colour of her maxillary gingiva and enquired whether it could be addressed. Teeth 13–23 had been restored with PFM single crowns 15 years before (Figs. 1–3).
After a detailed discussion of the state of the art in anterior aesthetics, we decided to renew all six PFM crowns and replace them with IPS e.max crowns (Ivoclar Vivadent). For all anterior cases, IPS e.max is our first choice of material. Not even all ceramic is all ceramic. Zirconium has nearly the same light transmission as PFM—almost nothing. Of course development goes on, and the first translucent zirconia products have been made available. It is first necessary to understand what causes a grey-coloured ridge in patients provided with PFM crowns.
There are two principal reasons. The first is the umbrella effect.[1] This appears only with PFM and sometimes with zirconium crowns. The opaque copings block the light (Figs. 4a & b) so the root is not able to transmit the light and brighten up the papilla from the inside. Lithium disilicate glass-ceramic (except for the MO and HO ingots) is able to mimic the natural tooth. Owing to the mineral (crystalline) structure of the tooth substance and the natural light transmission of the IPS e.max restoration, the light is scattered in all directions inside the tooth, lighting up the gingiva from the inside (Figs. 4c & d). The second reason for grey gingiva underneath PFM crowns is metal oxides diffusing into the soft tissue. The possibility of dark gingiva is increased by crowns with a higher ignoble metal content.
Treatment plan
After preparing all the necessary paperwork and discussing the treatment plan again, we began removing the old crowns and finished the supragingival preparation in the middle of April. The stump shade of all six teeth was the same, allowing us to press the copings all at once in the same shade (IPS e.max Press LT A2; Figs. 5 & 6). The provisional was directly prepared in the office. It is important to leave enough space for the papillae so that they are not pushed away (Figs. 7 & 8).
After taking the impressions using Aquasil Ultra (DENTSPLY; Fig. 9), the model work was performed (Figs. 10 & 11) and the IPS e.max copings were prepared (Fig. 12). For the pressing process, we used Vario Press 300.e (Zubler). The extremely short pressing time results in a very thin reaction layer. There is therefore no need to etch the item in hydrofluoric acid. The advantage is the perfect fit achieved because the thin margins of the copings are not rounded by etching (Fig. 13).
Afterwards, we applied layers of IPS e.max Ceram (Ivoclar Vivadent). The layering technique is not part of this article (Figs. 14 & 15). The shade and appearance of the tooth texture were copied from the mandibular anterior teeth (Fig. 16). For the first try-in, the crowns were in their final form and size (Figs. 17–19). The patient was more than satisfied with the result so far. We did not have to change anything. Even the colour was a perfect match (Fig. 20).
Sufficient space was left in the approximal areas to allow the papillae to regenerate (Figs. 21–23). We dislike long areas of contact that make the teeth appear square. On the maxillary left side, the papillae were almost perfect at the try-in (Fig. 24).
After that, we adjusted the surface texture and performed the glaze firing using Glaze Paste FLUO (Ivoclar Vivadent). Finally, the crowns were polished by hand with a diamond paste to
obtain the highest plaque resistance possible. For the finishing, photographs are a great help. Today, capturing photographs of the teeth should be common practice because, especially for a case like this, no patient has the time to sit in the laboratory for hours (Figs. 25–30).
About three weeks after preparation, the crowns were seated with Syntac and Tetric Flow in shade A2 (both Ivoclar Vivadent). Little black triangles were still visible between teeth 11 and 12, and 11 and 21 (Figs. 31–33). One week later, we performed the final fit (Figs. 34–37), and we rechecked the situation five months later (in October). The patient showed a grey-free smile with perfectly formed papillae in all approximal areas (Fig. 38). At a recent follow-up, a small black triangle appeared between the central incisors when the saliva was blown away (Fig. 39).
Final result
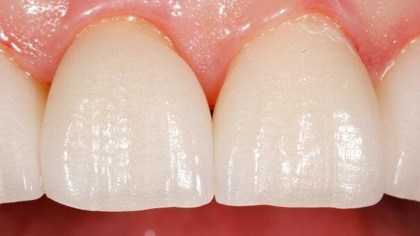
Six months after the start of treatment, our patient was more than satisfied with the final result (Figs. 40–42). Her request for a healthy-looking gingiva and natural-looking crowns had been fulfilled. It is almost impossible to detect artificial dentition in her new smile, even for a dentist or dental technician.
Owing to the extraordinary translucency of the IPS e.max crowns, the roots receive the same amount of light that would pass through a natural tooth (Figs. 43a & b). The soft tissue is then lit up naturally and the grey gingiva is completely gone. Also, it is interesting how well the papillae are able to regenerate (Figs. 44a & b). It may even appear that the gingival margin on PFM crowns is moving by itself to escape the metal-ion infiltration. The appearance of the papillae was improved after the all-ceramic crowns had been seated (Figs. 45a & b).
Finally, it could be said that because of the drawbacks of PFM and even zirconia we should consider using true all-ceramic crowns for such cases.
Reference
1 P. Magne & U. Belser, Adhäsiv befestigte Keramikrestaurationen (Berlin: Quintessenz, 2002).
When meeting someone for the first time, a dental technician or dentist automatically glances at the person’s mouth and teeth. Generally, the ...
When meeting someone for the first time, a dental technician or dentist automatically glances at the person’s mouth and teeth. ...
With the recent development of new file systems—WaveOne from DENTSPLY Maillefer and RECIPROC from VDW—endodontists have been having ...
COLOGNE, Germany: When choosing a dental bur, the options seem endless, even for specialty burs like those designed for laboratory applications. The needs ...
GENEVA, Switzerland: FDI World Dental Federation (FDI) recently released its first white paper on endodontic care, providing an important resource for ...
VALENCIA, Spain: Without proper oral care, white spot lesions due to demineralisation from plaque build-up often appear on teeth after the removal of ...
Many people have their teeth whitened to achieve a brighter smile and to improve their self-confidence, yet they are often insufficiently informed about the...
GOTHENBURG, Sweden: A growing incidence of painful, slow-healing inflammation in the mouths of white snus users in Sweden has prompted calls from health ...
NANCHANG, China: Social media adverts for whitening products show celebrities flaunting their pearly whites, putting pressure on consumers to conform to the...
Dental fluorosis is an enamel anomaly that adversely affects inorganic phase deposition and organisation, causing enamel hypomineralisation.1 Despite the ...
Live webinar
Sun. 3 May 2026
12:00 pm EST (New York)
Dr. Rickard Brånemark MSc, MD, PhD, Dr. Robert Gottlander DDS
Live webinar
Sun. 3 May 2026
8:00 pm EST (New York)
Live webinar
Tue. 5 May 2026
10:00 am EST (New York)
Live webinar
Tue. 5 May 2026
12:00 pm EST (New York)
Live webinar
Tue. 5 May 2026
1:00 pm EST (New York)
Dr. Maximilian Dobbertin M.Sc
Live webinar
Tue. 5 May 2026
3:00 pm EST (New York)
Live webinar
Wed. 6 May 2026
1:00 pm EST (New York)
To post a reply please login or register