Dentists understand that patients demand outstanding esthetic, as well as physiological, results in all phases of dentistry today. This places an onus on dentists, who must therefore be able to apply the latest technologies and techniques to successfully achieve each patient’s unique esthetic desires. A successful esthetic means knowing how to create the right illusion, which is subjective for each individual. Yet, it can be measured in objective and subjective standards. How then can practitioners evaluate and achieve these goals?
To begin, there are certain basic and objective characteristics of a healthy periodontia that must first, before anything else, be observed, respected and maintained. A healthy periodontia is essential to achieving and maintaining restorative esthetics.
Reddish inflamed periodontia immediately attract negative attention to the area. In contrast, a healthy zone of pink attached gingiva acts as a subtle background, providing dentists with significantly more restorative options for teeth.
Similarly, exposed gold crowns, gingival margins, exposed gingival porcelain jackets or laminate margins will draw negative attention. Also, crowns placed subgingivally in an inflamed area will probably lead to recession and an irregular gingival pattern resulting in dissatisfied patients.
After healthy periodontia has been achieved, color, hue, shape, form, symmetrical appearance and individual choice must then be discussed. At this point, the challenge of esthetic dentistry is at its zenith.
Part 1 of this series is about the role of pre-prosthetic, cosmetic periodontal surgery to achieve and maintain healthy periodontia and to esthetically improve shape, color, form and appearance.
Clinicians should strive to achieve the appearance of a healthy symmetrical flow. For example, patients will not be satisfied very long with an oversized pontic placed in a large irregular edentulous area with a fixed bridge. It is unesthetic and retains food and plaque, which will lead to inflammation and periodontal disease. Often, a phonetic problem will also result. These patients will be thwarted in and frustrated by their hygiene efforts, and dissatisfied with the illusion of health and esthetics that they sought to achieve. Therefore, the relationship of a pontic and the abutment teeth to the gingival must be critically observed before the prosthetics are fabricated.
By esthetically and physiologically correcting the edentulous area with cosmetic periodontal surgery, restorative dentists are able to fabricate a correctly shaped prosthesis that enhances esthetics and function.
It is important to make an assessment before fabricating the prosthetics. In the past, large pontics were made to fill voids created by irregularly shaped, depressed edentulous ridges between abutments. The opportunity to build out and create a symmetrically harmonious bridge that blends in with the abutment’s periodontia is currently available.
The following illustrates an example of how one such patient was assisted to an eventual harmonious and esthetically pleasing appearance.
Case 1
A 25-year-old woman presented to the office very interested in achieving a proper cosmetic look with a non-removable appliance. For years, she had been wearing a flipper removable replacement for her maxillary left central incisor (Fig. 1), which was traumatically lost during an accident (Fig. 2) when she was 15 yrs old. Following the accident, it was suggested by her restorative dentist (because of her young age) that she avoid a permanent splint and wait for the pulps of the adjacent teeth to mature. Years later, she was referred to me for pre-prosthetic cosmetic surgery that would allow for a non-removable, esthetically pleasing and physiologically maintainable appliance.
Without the surgery, the permanent replacement would have been a large bulky pontic or physiologically sized pontic, which would have retained food and plaque because of a void between the gingival space of the pontic and the crest of the edentulous ridge. This void would then have created a dark and unesthetic contrast. If the pontic had been made smaller, there would have been a space between the pontic and the edentulous ridge in which food and plaque would also be retained.
If a removable appliance had been fabricated, the practitioner might have achieved an acrylic color that somewhat resembled the pinkish gingival area, but it would have been discernible. If a clasp-partial was used for the removable prosthetics, the clasp would have been unsightly. An attachment-type partial would require crowns to be prepared on the remaining abutments, and the contrast of the replacement tooth would have been detected next to the adjacent abutments. Either partial would have been an obvious replacement that contrasted with the adjacent teeth.
After consultation, it was determined that by using a combination of periodontal surgery techniques, the shape, height and form of the ridge could be corrected, enabling the restorative dentist to place a physiological crown. The edentulous ridge had a labial depression and an incisal edge that appeared concave (Figs. 3, 4). The tissue had to be built up incisally and labially, and a harmonious flow of pink attached gingivally had to be maintained.
Following a thorough evaluation, an autogenous connective tissue graft was placed subepithelially to achieve a symmetrical look in one surgical procedure. After anesthetizing the patient, the flap outline and its reflection toward the labial were completed (Figs. 5, 6). The connective tissue donor site could have been selected from various areas. In this particular case, the tuberosity area was used. The donor tissue was de-epithelialized, and the deformed edentulous area was sculpted to the desired shape. The original flap outline was designed to prevent recession on the adjacent teeth and to provide a covering for the graft to avoid a keloid on the crest. During healing, a keloid would have been a different color, which would have detracted from the goal of harmonious color integration. The flap outline was then extended palatally to include more attached gingival, which avoided a keloid and retained the graft. When the autogenous free connective tissue graft was in the desired location (Fig. 7), the flap was repositioned and sutured for stability.
In this case, the patient had worn a flipper for years to replace a missing tooth. Following surgery, I reduced the existing flipper to allow space for the graft to heal.
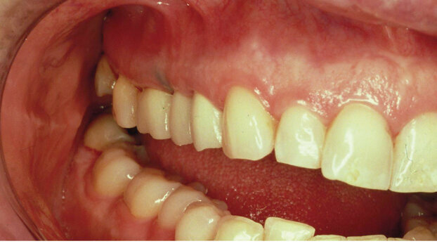
After an uneventful postoperative period, the patient healed and continued with good oral hygiene. The referring dentist had a choice of several restorative techniques. In this case, a fixed splint was fabricated with an acceptable pontic (Figs. 8a–c).
In a one-stage procedure, we avoided creating a dark area of labial depression and/or an irregular concave gingival crestal margin. A lengthy, unsightly pontic was replaced by a physiological, cosmetically acceptable, natural-looking pontic, and the patient was delighted.
Case 2
A second case demonstrates the use of the same technique in the posterior segment of a patient’s maxilla. An extreme buccal-incisal defect (Figs. 9, 10) where an extraction was done is shown in a maxillary posterior area (Fig. 11). The soft-tissue ridge augmentation technique was done. A temporary provisional bridge shows the restored ridge enhancing the cleanliness and cosmetic appearance. The final prosthesis displays a prosthetic appliance that has been in her oral cavity for 20 years. This shows the longevity as well as the esthetic enhancement of the technique and its ability to enhance the prosthesis. The finished prosthesis, which is easily maintained by the patient, shows that the unesthetic, unphysiologic defects were successfully corrected (Figs. 12, 13).
Summary
In these presentations, depressed concave ridges — one example in the anterior and the other in the posterior — were corrected using soft-tissue grafts. The results eliminated dark, depressed food gathering, unesthetic areas. This technique provides a pre-prosthetic treatment, thus avoiding large pontics, which as illustrated, make the area difficult to keep plaque free or cosmetically pleasing. The restorative dentist will then have a positive background to create the esthetic and physiologic prosthesis.
There must be constant communication between the periodontist, restorative dentist and the patient. Detailed techniques must be combined with artistic ideas and tempered with patience.
VIENNA, Austria: Nobel Biocare’s corporate forum at EuroPerio11 is set to be a highlight of the congress. Taking place on Friday, 16 May from 12:30 to ...
Implant dentistry has undergone a revolutionary transformation with the advent of digital workflows. These advancements have significantly improved the ...
NEW YORK. U.S.: Minimally invasive dentistry has well and truly become a mainstream idea, and dental professionals around the world are dedicating countless...
Crestal bone stability around dental implants remains one of the most important features of successful implant treatment. Besides major clinical advantages ...
Dr Giovanni Zucchelli is professor at the University of Bologna in Italy and president elect of the Italian Academy of Osseointegration. He specialises in ...
The most important innovation in recent years in the field of guided bone regeneration (GBR) is customised CAD/CAM titanium meshes, which allow for ...
BRISBANE, Australia: Ensuring the formation of a solid soft-tissue seal at the dental abutment surface is crucial for protecting the underlying tissue from ...
Aesthetic dentistry has evolved from a focus on individual teeth to a comprehensive approach involving the entire perioral region. Patients increasingly ...
BASEL, Switzerland/Birmingham, Ala., US: NovoMatrix reconstrictive tissue matrix remodels into the patient’s own tissue. This results in improved bone ...
Current treatment approaches focus on creating durable and healthy tissue around dental implants to prevent peri-implantitis, aiming for long-term implant ...
Live webinar
Tue. 12 May 2026
1:00 pm EST (New York)
Live webinar
Thu. 14 May 2026
12:00 pm EST (New York)
Live webinar
Thu. 14 May 2026
2:00 pm EST (New York)
Prof. Hani Ounsi DDS PhD FICD
Live webinar
Tue. 19 May 2026
11:00 am EST (New York)
Live webinar
Tue. 19 May 2026
1:00 pm EST (New York)
Prof. Dr. med. dent. Ivo Krejci
Live webinar
Wed. 20 May 2026
7:00 am EST (New York)
Dr. Graham Carmichael BDSc (Hons), DClinDent (Pros), FRACDS, Dr. Robert Gottlander DDS
Live webinar
Wed. 20 May 2026
9:00 am EST (New York)
To post a reply please login or register