Peri-implantitis is one of the medical challenges of the 21st century. Implantologists and periodontists around the world are consistently searching for reliable and implementable therapy solutions. The authors presented their preferred protocol of peri-implantitis treatment in this clinical case using a biomimetic bone replacement material and a resorbable collagen membrane.
Peri-implantitis is defined as a local lesion which is associated with bone loss around an osseointegrated implant, whereas peri-implant mucositis is a reversible inflammatory change in the mucosa surrounding the implant.
Peri-implant mucositis is diagnosed by probing, that is followed by bleeding. The mucositis is often not classified as severe and also not taken seriously by the patient.
Based on various examinations, prevalence for peri-implantitis varies significantly between 2 and 58 per cent of all implants (Koldsland et al.). According to a Cochrane report published in 2011, there is insufficient evidence for known peri-implantitis treatments. More research in this field thus needs to be conducted (Esposito et al.).
The authors experience regarding their preferred protocol for peri-implantitis treatment is presented step by step in the following clinical case. The Implacure® (MedTech Dental AG) peri-implantitis set and a regenerative, biomimetic bone replacement material (CERASORB® M, curasan AG) were used to replace the lost bone.
Surgical protocol
- Formation and mobilisation of a mucoperiosteal flap to achieve unconstrained access to the defect area. If possible, the superstructure should be removed.
- Careful curettage of the infected area, thorough removal of all soft-tissue adhesions on the bone.
- Decontamination of the implant surface using various burs: both the apical part, that later will come into contact with the bone replacement material, as well as the crestal part, that later will be in contact with mucosa have to be cleaned.
- Dressing of the entire exposed bone surfaces with sterile gauze and moistening of the gauze with sterilesaline solution in order to improve its adhesion to the bone.
- Application of a gel comprised of 37 % phosphoric acid and 2 % chlorhexidine onto the entire exposed implant surface in order to eliminate all remaining biofilm.
- After two minutes, the gel is thoroughly rinsed off with saline solution and the gauze is removed.
- Dressing the entire implant surface in sterile gauze. The gauze is subsequently soaked with a sodium hyaluronate/ piperacillin/tazobactam solution, letting it set for five minutes.
- Removal of the gauze.
- The bone replacement material is blended with a sodium hyaluronate/piperacillin/tazobactam solution and autologous blood taken from the defect area or PRP in a sterile container and inserted into the affected area without pressure. The defect area is subsequently covered with a resorbable collagen membrane which was previously soaked in antibiotic solution.
- Re-adaption of the flap and suturing.
Case presentation
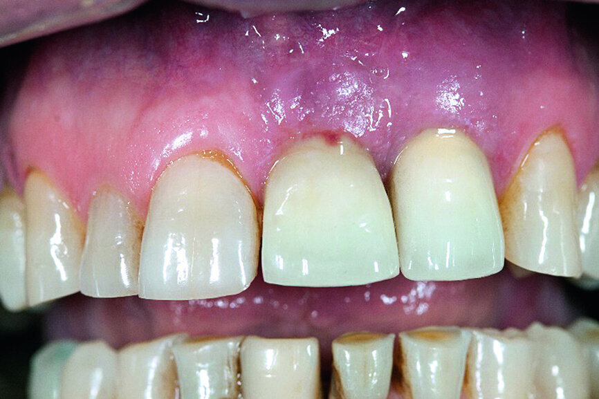
A 59-year-old patient presented to the practice complaining about minor exudate at his dental implants in the anterior region (Fig. 1). Probing revealed a deep circular pocket around the implants during the initial examination. Mobility of the implants was, however, not detected. As suspected, the radiographic examination confirmed an advanced peri-implantitis at the recently placed implants (Fig. 2).
In accordance with the described protocol, a mucoperiosteal flap was created in order to obtain full access to the severe four-wall defect (Fig. 3). The implant surface was mechanically cleaned with diamond-coated burs (Fig. 4). Chemical debridement of the surface with subsequent antibiotic impregnation was performed (Figs. 5 & 6).
After completion of the preparatory steps, the bone replacement material consisting of phase-free beta-tricalcium phosphate—which offers optimal conditions for osseous remodelling owing to its micro-, meso- and macropores—was inserted as previously described (Fig. 7).
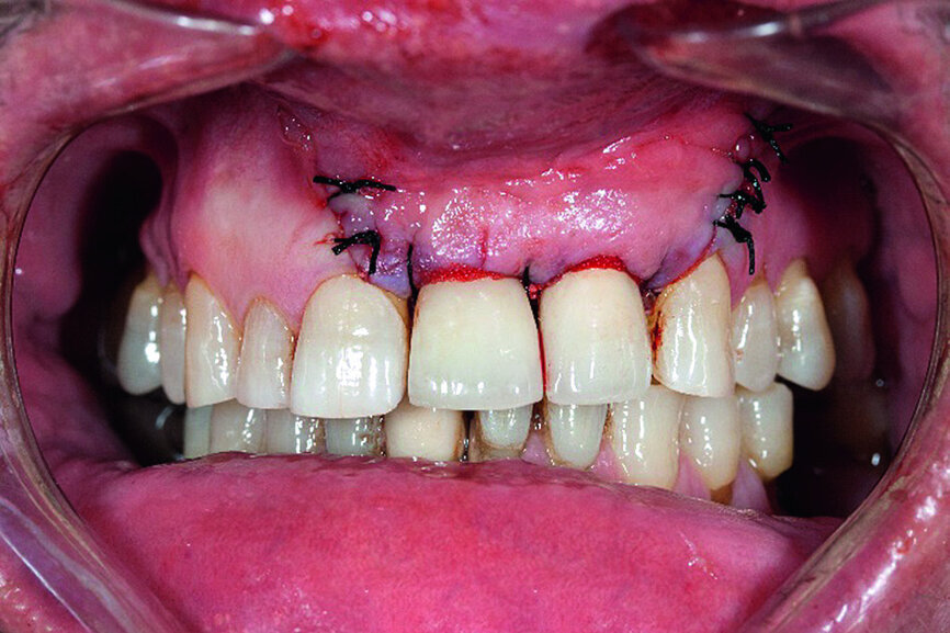
Finally, the surgical area was covered with the bioresorbable membrane, and the flap was re-adapted with interrupted sutures in order to achieve a complete and impermeable wound closure (Fig. 8). The radiograph taken immediately after surgery showed the filled defect (Fig. 9). Good osseous consolidation at the enamel-cement junction of the adjacent teeth could be seen on the follow-up radiograph taken 24 months later (Fig. 10).
Discussion
While improved oral hygiene and professional cleaning prove to be very effective in treating periodontitis, peri-implant lesions do not react correspondingly. This does not mean that good oral hygiene and professional tooth cleaning are redundant as peri-implantitis prevention. However, conservative therapy proves to be inefficient once peri-implantitis has developed. Non-surgical approaches by means of laser or powder jet show moderate results. Systemic chemotherapy and mechanical debridement have also largely been without success.[1–3] The use of photodynamic therapy has also proven to be unsuccessful. In summary, it can be said that non-surgical therapy approaches are not suitable for reliably treating peri-implantitis.[1, 4]
Surgical treatment seems to be only the promising therapy approach. A surgical resection treatment is, however, only partially effective. In 2003, Leonhardt stated that surgical and antimicrobial treatments were successful in more than half of the cases for a period of five years. In 2008, Heitz-Mayfield et al. were able to demonstrate that using an antimicrobial protocol with surgical access via mobilisation of a flap stopped the progression of peri-implantitis in 90 per cent of the cases over a period of one year, while the bleeding on probing persisted in more than 50 per cent of these cases.[5]
Unfortunately, not all cases of peri-implantitis are suitable for regeneration. The crater shape with four walls does not typically occur in implants with thin fascial and lingual walls. In some of these cases the defect is associated with a complete loss of the surrounding bone crest, which turns regenerative measures into an unpredictable treatment alternative.
The decontamination of the implant surface proves to be the crucial step in all proposed treatment approaches. The complex topography of modern implants offers ideal conditions for bacterial growth. The decontamination of these surfaces sometimes seems impossible, particularly if non-surgical treatment is pursued. There are diverse options for surface decontamination. Anti-infective treatments with chlorhexidine, tetracycline, metronidazole, citric acid, laser and photodynamic application help in disinfecting the implant. Mechanical debridement with titanium, plastic or steel curettes, implantoplasty or powder jet should remove the biofilm. Most clinicians select a combination of these therapies assuming that as a result surface decontamination can successfully be obtained.
Implantoplasty ensures a complete decontamination of the implant surface, there are, however, four essential concerns: heat generation, accumulation of residue of milled material in the surrounding tissue, damage to the implant surface and impairment of the implant structure. Heat generation can be contained through careful and abundant irrigation, and an adapted bur selection. Some authors presume that milling residue has not been clinically verified in rejection reactions. Reducing the microand macro-roughness of the implant surface has mainly proven advantageous in preventing bacterial colonisation. The required abrasion thickness on the implant is ultimately not a decisive factor for reduced stability.[6, 7]
Conclusion
The existing scientific findings and the clinical experiences obtained with the presented system, thus allow the conclusion that the protocol proves to be a successful and understandable method for the sanitation of periimplant defects, when lost bone substance is simultaneously regeneratively replaced. The fully synthetically produced, biomimetic beta-tricalcium phosphate granulate has proven to be successful in this treatment. By means of a restitutio ad integrum it is possible to return the weakened implant site not only mechanically, but also biologically, to a functional condition, which is the prerequisite for a successful long-term sanitation.
Editorial note: A list of references is available from the publisher. This article was published in implants - international magazine of oral implantology No. 04/2018.
Prof. Kamal Mustafa from the Department of Clinical Dentistry at the University of Bergen in Norway is sponsoring and leading, together with Dr Cecilie ...
GOTHENBURG, Sweden: Even though high survival rates have been reported for dental implants, biological or technical complications affecting the implant, the...
FRANKFURT AM MAIN, Germany: In a case study published recently, a patient who was unable to swallow after a resection of the oesophagus, owing to ...
VIENNA, Austria: According to a large-scale study review by Derks et al.,¹ one in five implant patients develops peri-implantitis, and nearly twice as many...
MONACO: The zero peri-implantitis concept of the Patent Dental Implant System, designed to prevent disease onset and maintain long-term soft-tissue health, ...
Long-term studies conducted at leading universities in Europe have reached the groundbreaking conclusion that, with the Patent Dental Implant System, ...
Late implant failure, particularly in the aesthetic zone, presents significant clinical and biological challenges. This case report describes a digitally ...
Laser is becoming essential for every modern dental practice. Moreover, from an educational standpoint, there are many benefits in terms of the personal and...
As the number of dental implants being placed increases, reported cases of peri-implantitis are becoming more frequent. The available data suggest that one ...
Peri-implantitis continues to be one of the greatest challenges for dental professionals. According to studies, the prevalence of the condition will ...
Live webinar
Tue. 18 November 2025
11:00 am EST (New York)
Live webinar
Tue. 18 November 2025
1:00 pm EST (New York)
Live webinar
Tue. 18 November 2025
2:00 pm EST (New York)
Dr. Nicola M. Grande DDS, PhD
Live webinar
Tue. 18 November 2025
2:00 pm EST (New York)
Prof. Dr. Raphael Monte Alto
Live webinar
Wed. 19 November 2025
1:00 pm EST (New York)
Live webinar
Wed. 19 November 2025
7:00 pm EST (New York)
Live webinar
Thu. 20 November 2025
7:00 am EST (New York)
To post a reply please login or register