Search Dental Tribune

The informed, lifetime patient

Discoloured maxillary central incisors. (All images: Tif Qureshi)

Wed. 16. November 2022

save

What does it mean to care for a patient over a lifetime? Are we, as dentists, treating a patient to make him or her happy and then saying goodbye, or should we provide that patient with a stable, functional outcome that we help to maintain over many years? By applying orthodontic and restorative principles to the treatment of mild and moderate crowding cases, besides improving appearance, we are potentially carrying out interceptive functional treatment that can maintain a patient’s long-term anterior guidance and a correct envelope of function.

I have found the align, bleach and bond approach provides the ability to reverse dental collapse and improve anterior guidance, which if left untreated can lead to future problems. Align, bleach and bond is much more than aesthetic treatment. It is also functional and preventive and can change the way we approach all patients, not only those requiring cosmetic treatment. Carrying out Dahl build-ups is also important. When the Dahl technique is properly applied, it can be one of the most powerful tools in dentistry.

Monitor, retain or treat?

I believe patients often agree to treatment even if they do not really understand the functional advantages. Would it be more helpful if patients who decided to have aesthetic and cosmetic dentistry really understood the functional and potential lifetime benefits of those treatments?

Developing a long-term relationship and communicating with patients keeps them informed about what could happen to their teeth over time. Understanding the occlusal and functional effects of continued tooth movement enables the patient to make an informed decision about intervention. I believe that it is crucial that we talk to patients, present the facts and avoid rushing into treatment with veneers and crowns.

It is important to explain the slow, minor positional and functional changes and educate the patient about what is happening in his or her mouth. I record the amount of dentine exposure and look very carefully at enamel chipping. I always explain that dentine is six to eight times softer than enamel and that it will stain more heavily.

Taking regular photographs of the patient is also important, even if no treatment is provided. Each time a patient presents, we can look at the images together to see the changes over time. I do not think dentists are taught or conditioned to take photographs often enough. I will also undertake a regular fremitus check, demonstrating the pressure of fremitus and helping the patient understand what it means to have a constricted envelope of function.

The key issue is that we explain that the change is gradual and progressive. We observe, we do not panic. We offer to monitor, retain or, of course, treat. Patients gain an appreciation that, over time, teeth keep moving, become more crowded, collide and discolour.

The following case highlights the treatment of a patient over 17 years. With simple orthodontics, direct edge bonding applied according to the Dahl principle and a little maintenance, the patient’s teeth were prevented from becoming worse at a relatively low cost.

Case presentation

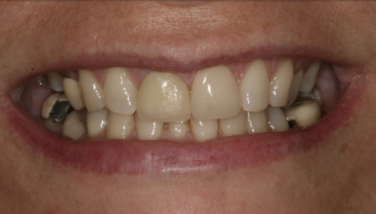
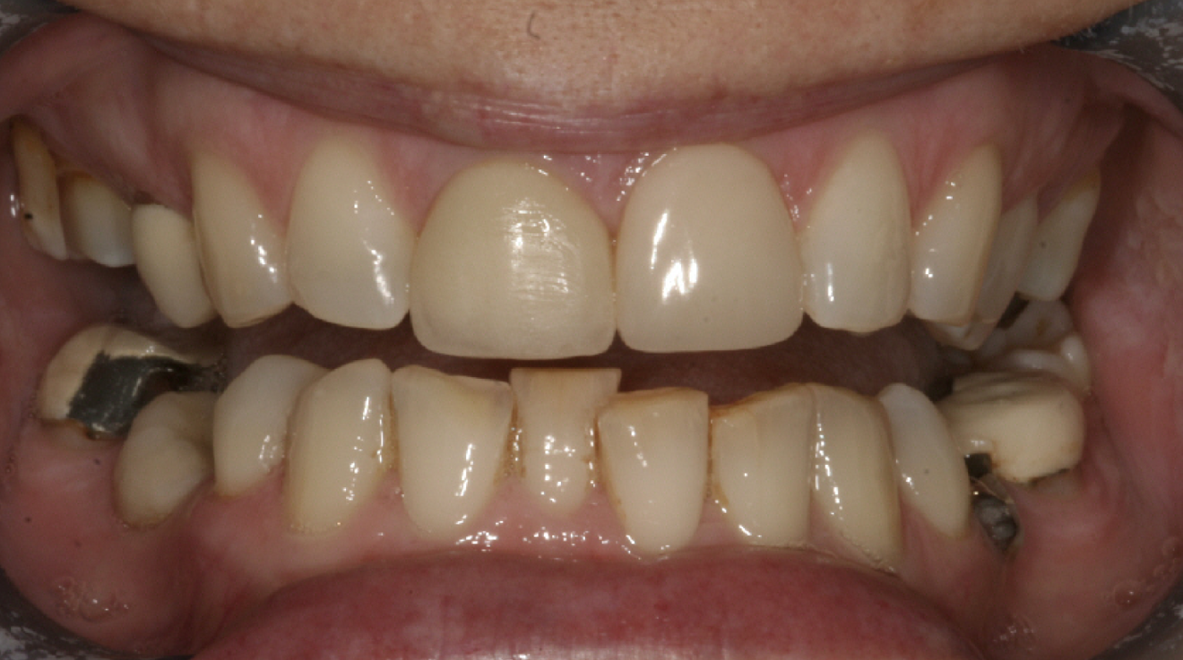
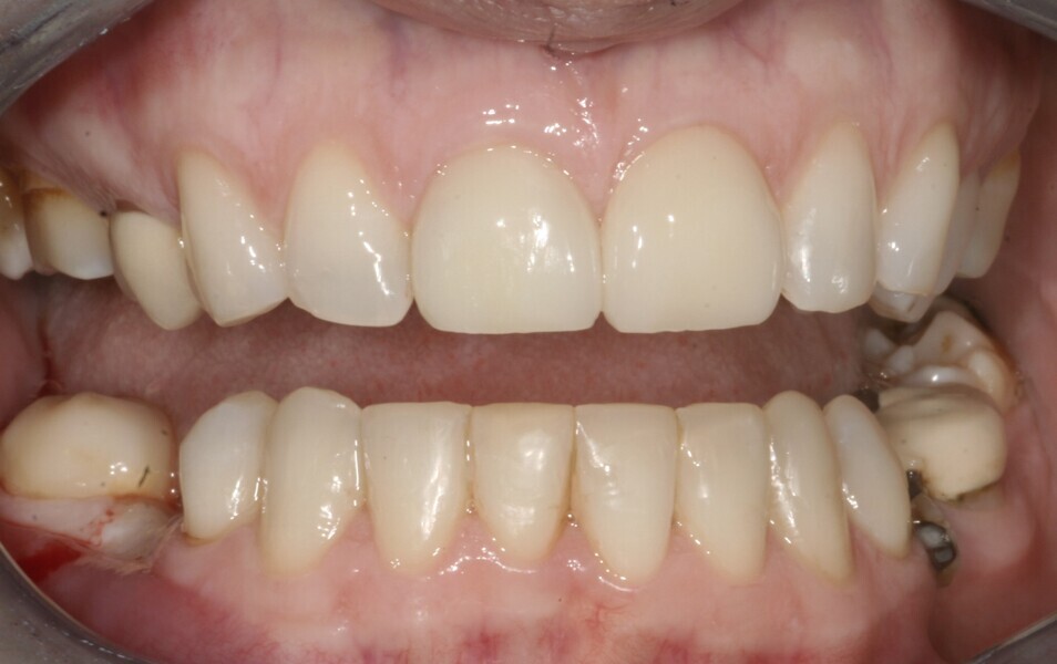
A 48-year-old female patient came to see me in 2004. The patient initially presented because she was unhappy with her two discoloured maxillary central incisors (Fig. 1). She also had chipping and wear of the mandibular teeth and broken posterior bridgework. Her “bite” also felt uncomfortable (Fig. 2).

On examination, she had reduced anterior guidance, causing posterior interferences and heavy contacts behind the maxillary central incisors. The patient was keen to change the crown and veneer on the maxillary central incisors. She also wanted to have the wear on her mandibular teeth and the crowding treated (Fig. 3).

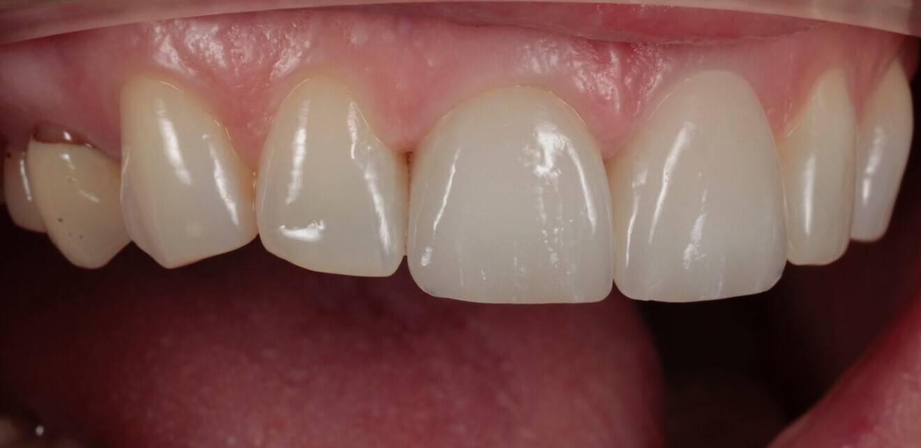
Fig. 1: 2004—discoloured maxillary central incisors.

Fig. 1: 2004—discoloured maxillary central incisors.

Fig. 2: 2004—reduced anterior guidance.

Fig. 2: 2004—reduced anterior guidance.

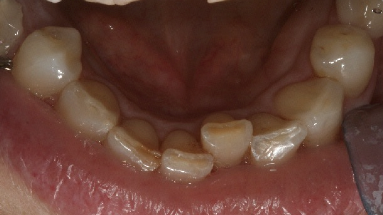
Fig. 3: 2004—wear on the mandibular teeth and crowding.

Fig. 3: 2004—wear on the mandibular teeth and crowding.

Treatment options

Options discussed with the patient were comprehensive orthodontics versus a compromised plan. We also considered multiple maxillary and mandibular ceramic restorations versus alignment, bonding and replacing the two central incisors (Figs. 4 & 5).

Owing to financial constraints and concern about the amount of tooth preparation needed, the patient chose simple anterior alignment with removable appliances.

She opted for an Inman Aligner for alignment of teeth #43–33. Interproximal reduction was carried out progressively over eight weeks. Once her mandibular teeth had been aligned, an indirect wire retainer was bonded into place. This was followed with direct edgebonding on the mandibular teeth according to the Dahl principle,1 the primary contacts on the canines and light contacts on the incisors (Fig. 6).

The occlusion was reviewed and readjusted about one month later to ensure that any maximum intercuspation and centric relation slide had been accounted for. The anterior contacts were readjusted and balanced at this point. The two maxillary central restorations were replaced with a new ceramic crown and a veneer (Figs. 7 & 8).

The patient’s occlusion settled over a two- to threemonth period. The result was not perfect, but we were working within a limited budget. After about six years, the bridges in the mandibular arch were replaced at the patient’s own pace.

Cost-effective and attainable treatment

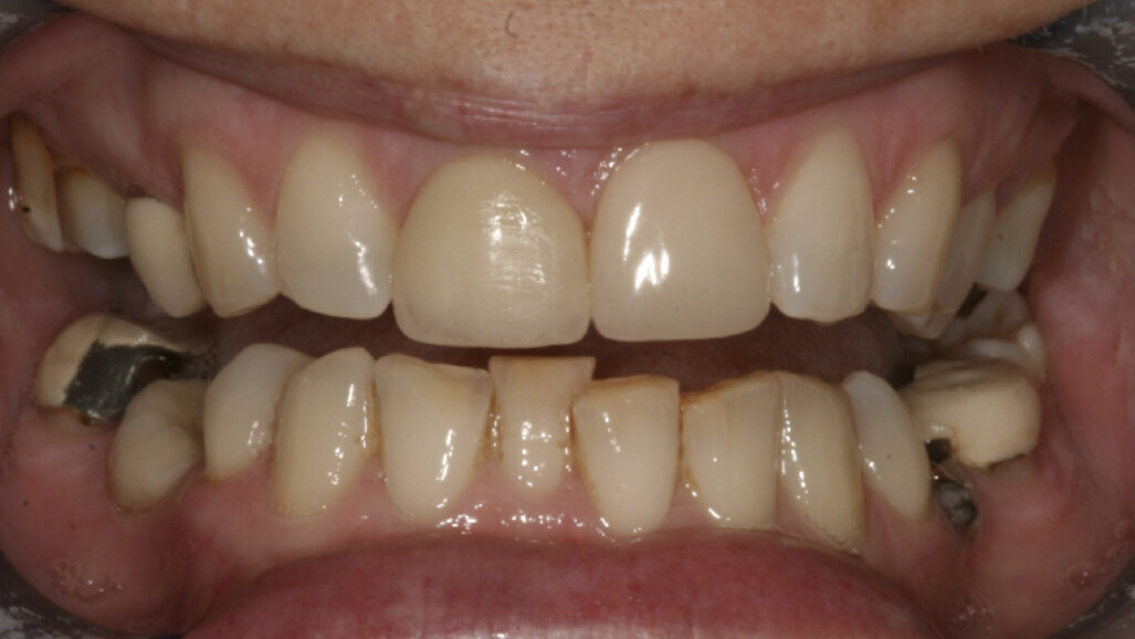
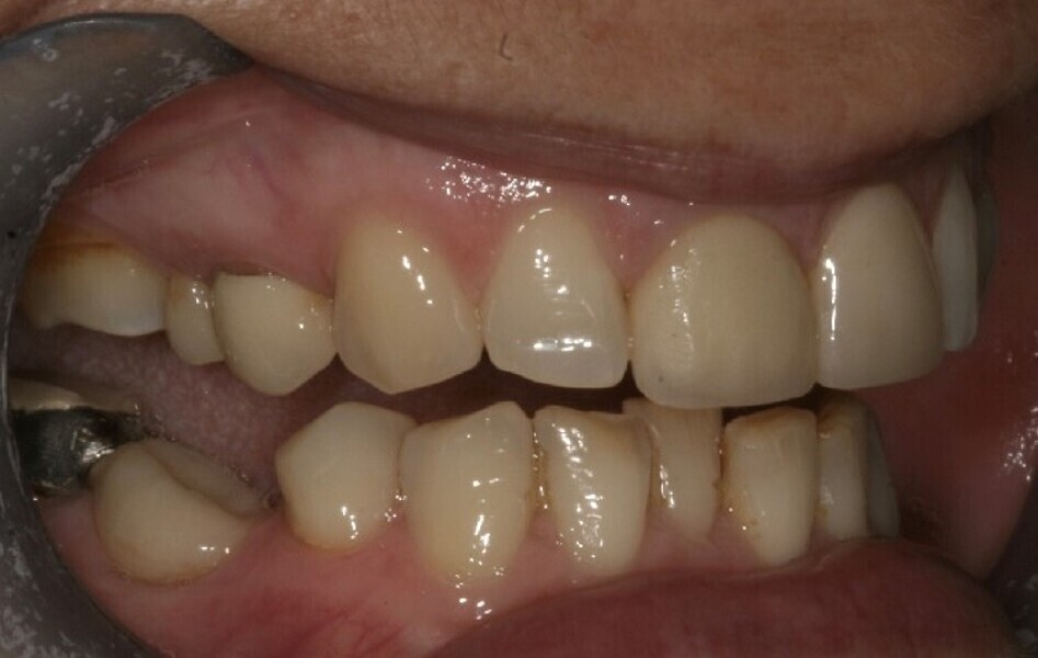
Thirteen years later, the mandibular teeth were starting to wear (Fig. 9). The maxillary central incisor restorations were still in place, but the mandibular right central incisor was almost completely worn (Fig. 10). The patient did not want to replace all the mandibular composite at this stage, as she was more concerned about improving the appearance of the maxillary central incisors, one of which had developed a hairline fracture.

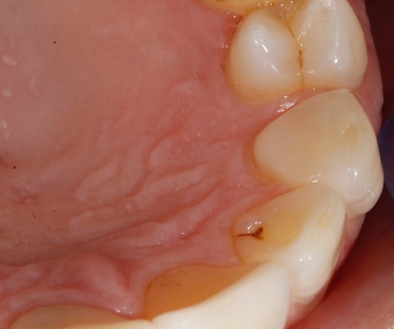
Budget was still an issue, so for the time being we agreed to redo the direct edge bonding according to the Dahl principle. However, this time, palatal platforms were placed on the maxillary canines. This was completed using Venus Diamond nano-hybrid composite (Kulzer) in Opaque Medium shade (Figs. 11 & 12). The palatal platforms were placed freehand, and a simple flat surface was created that reproduces an anatomy similar to but more basic than that of a natural cingulum. By placing a flat platform, we could ensure correct axial loading.

The contacts were balanced and checked with articulating paper. These platforms provided enough room to clean and rebuild the incisal edge of the mandibular right central incisor without having to remove any of the other original composite placed in 2004. To build up the mandibular tooth, a base shade of Venus Diamond in Opaque Light was placed and B1 shades were applied over the top.

I like the strength offered by Venus Diamond. I have been using the material for more than 12 years, and it has proved to be very fracture-resistant. The composite offers easy handling, is predictable and adapts perfectly to the colour of the teeth.

At this stage, if the patient’s teeth had not been treated in 2004, there would have been further heavy wear on the dentine, probably 1 or 2 mm more tooth surface loss at a minimum, and increased crowding. A constricted envelope of function potentially would have caused one of the maxillary teeth to either break or push forward.

Strong, durable restorations

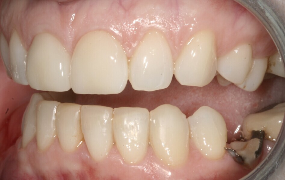
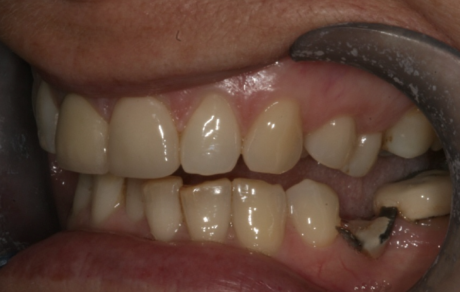
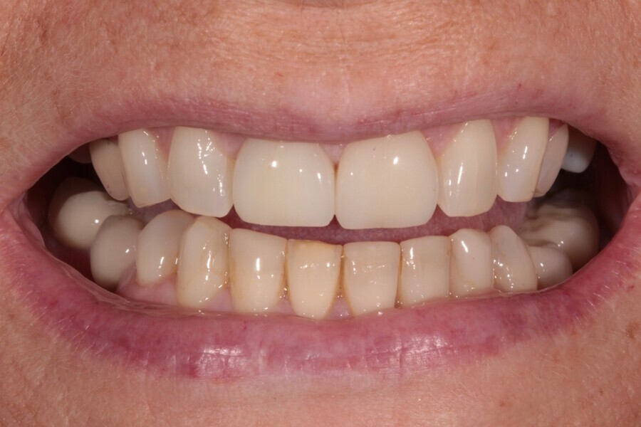
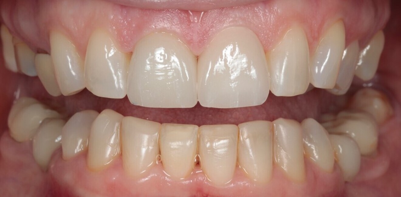
In 2021, the patient decided to have the two maxillary central incisor restorations replaced with a lithium disilicate crown and veneer (Fig. 13). The maxillary palatal platforms created with Venus Diamond in 2017 were still functional, and the repaired mandibular central incisal edge was still intact (Figs. 14 & 15). The original edge bonding on the other mandibular teeth still remained in place, 17 years later.

To enhance the mandibular canines and incisors, the teeth were polished with the simple-to-use and predictable Venus Supra polishing kit (Kulzer). However, it is likely that in the next two to three years they will all be replaced with Venus Diamond composite.

Interceptive dentistry

This case effectively demonstrates that the concept of “pausative” dentistry can be aesthetic, functional and affordable. If this patient’s teeth had been left untreated from 2004, how would they have looked 17 years later? The mandibular crowding would likely have worsened.2 The bite would probably have deepened, causing more surface loss, as there were already signs of dentine exposure. The already reduced posterior guidance would likely have worsened and more posterior teeth may have failed.

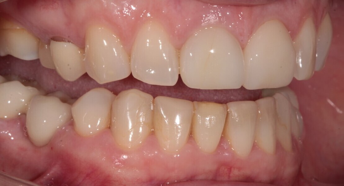
The “pausative” approach with alignment and direct edge bonding according to the Dahl principle can help to minimise the amount of damage in long-term cases (Fig. 16). It can help prevent further tooth surface loss and tooth positional changes and hold the occlusion in a much better position over time.

For me, interceptive care should be a goal of dentistry. Perhaps we should all be thinking more about intercepting and preventing obvious issues becoming predictable problems later on. With this approach, the goal could really be lifetime care.

Fig. 13: 2021—the two maxillary central incisor restorations replaced with a lithium disilicate crown and veneer.

Fig. 13: 2021—the two maxillary central incisor restorations replaced with a lithium disilicate crown and veneer.

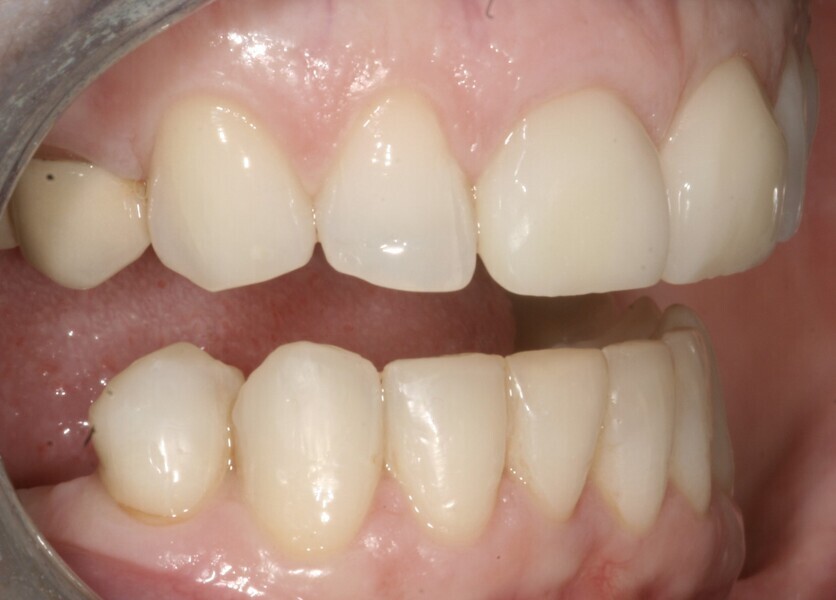
Fig. 14: 2021—the repaired mandibular central incisal edge still intact.

Fig. 14: 2021—the repaired mandibular central incisal edge still intact.

Fig. 15: 2021—the maxillary palatal platforms created with Venus Diamond still functional.

Fig. 15: 2021—the maxillary palatal platforms created with Venus Diamond still functional.

Fig. 16: 2021—the patient’s teeth 17 years later thanks to interceptive treatment with alignment and direct edge bonding according to the Dahl principle to minimise the amount of damage.

Fig. 16: 2021—the patient’s teeth 17 years later thanks to interceptive treatment with alignment and direct edge bonding according to the Dahl principle to minimise the amount of damage.

Editorial note:

This article was published in aligners—international magazine of aligner orthodontics vol. 1, issue 2/2022. Please follow the link to view the list of references.

To post a reply please login or register
advertisement
advertisement