Search Dental Tribune

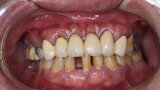
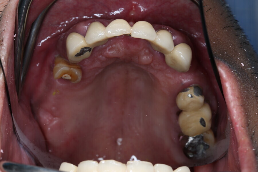
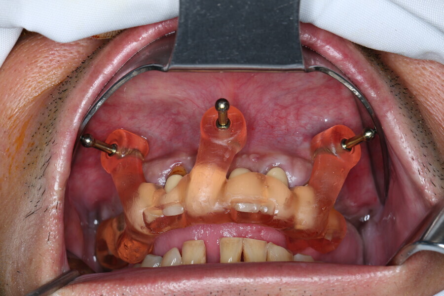
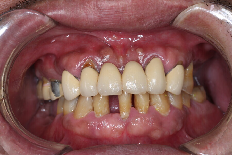
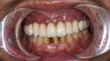
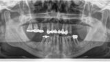
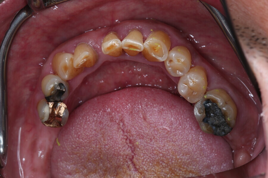
Compromised maxillary dentition treated with Straumann Pro Arch and a digital workflow

advertisement