Fig. 1: Panoramic radiograph of the initial dental status.
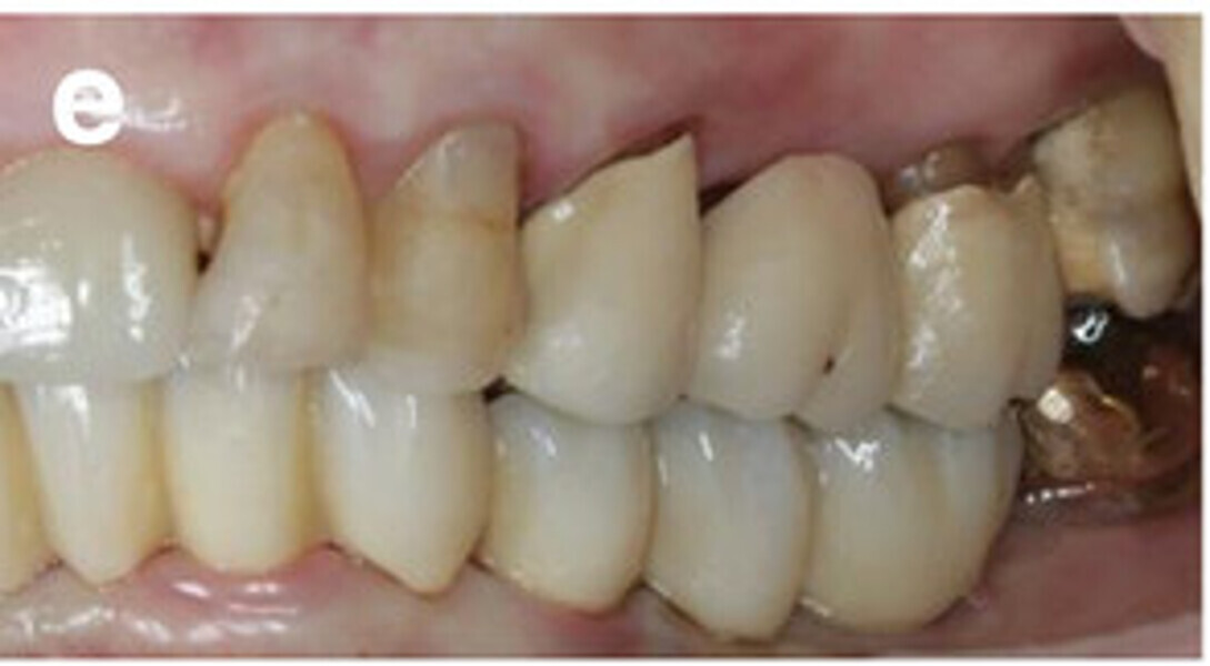
Figs. 2a & b: Initial dental status: right side (a) and left side (b).
Fig. 3a: Frontal (a) and occlusal view (b) of the study models after extraction of teeth #41, 31 and 32.
Fig. 3b: Frontal (a) and occlusal view (b) of the study models after extraction of teeth #41, 31 and 32.
Fig. 4: Screenshot of the virtual implant planning for positions #36, 35, 33, 42 and 46, showing occlusal, sectional and panoramic views.
Fig. 5a: CAD/
CAM-fabricated surgical guides: tooth- and mucosa- supported (a) and implant- and mucosa-supported (b).
Fig. 5b: CAD/
CAM-fabricated surgical guides: tooth- and mucosa- supported (a) and implant- and mucosa-supported (b).
Fig. 6a: Occlusal view showing CAD of the provisional FDP framework (a) and close-up views from the interface between the CAD framework and the prefabricated titanium abutments (b & c).
Fig. 6b: Occlusal view showing CAD of the provisional FDP framework (a) and close-up views from the interface between the CAD framework and the prefabricated titanium abutments (b & c).
Fig. 6c: Occlusal view showing CAD of the provisional FDP framework (a) and close-up views from the interface between the CAD framework and the prefabricated titanium abutments (b & c).
Fig. 7a: CAD/CAM model with the prefabricated titanium abutments (a), CAD/CAM cobalt–chromium framework (b) and composite veneered provisional FDP (c & d) before bonding to the abutments.
Fig. 7b: CAD/CAM model with the prefabricated titanium abutments (a), CAD/CAM cobalt–chromium framework (b) and composite veneered provisional FDP (c & d) before bonding to the abutments.
Fig. 7c: CAD/CAM model with the prefabricated titanium abutments (a), CAD/CAM cobalt–chromium framework (b) and composite veneered provisional FDP (c & d) before bonding to the abutments.
Fig. 7d: CAD/CAM model with the prefabricated titanium abutments (a), CAD/CAM cobalt–chromium framework (b) and composite veneered provisional FDP (c & d) before bonding to the abutments.
Fig. 8a: Close-up view of the first CAD/CAM guide in situ (tooth- and mucosa-supported) showing the perfect fit on tooth #33 (a). Occlusal view of the second CAD/CAM guide (implant- and mucosa-supported) after extraction of teeth #42 and 33 and placement of implants in positions #44 and 35 (b).
Fig. 8b: Close-up view of the first CAD/CAM guide in situ (tooth- and mucosa-supported) showing the perfect fit on tooth #33 (a). Occlusal view of the second CAD/CAM guide (implant- and mucosa-supported) after extraction of teeth #42 and 33 and placement of implants in positions #44 and 35 (b).
Fig. 9a: Occlusal views of the abutments (a) and of the immediate provisional restoration that were passively bonded in situ (b).
Fig. 9b: Occlusal views of the abutments (a) and of the immediate provisional restoration that were passively bonded in situ (b).
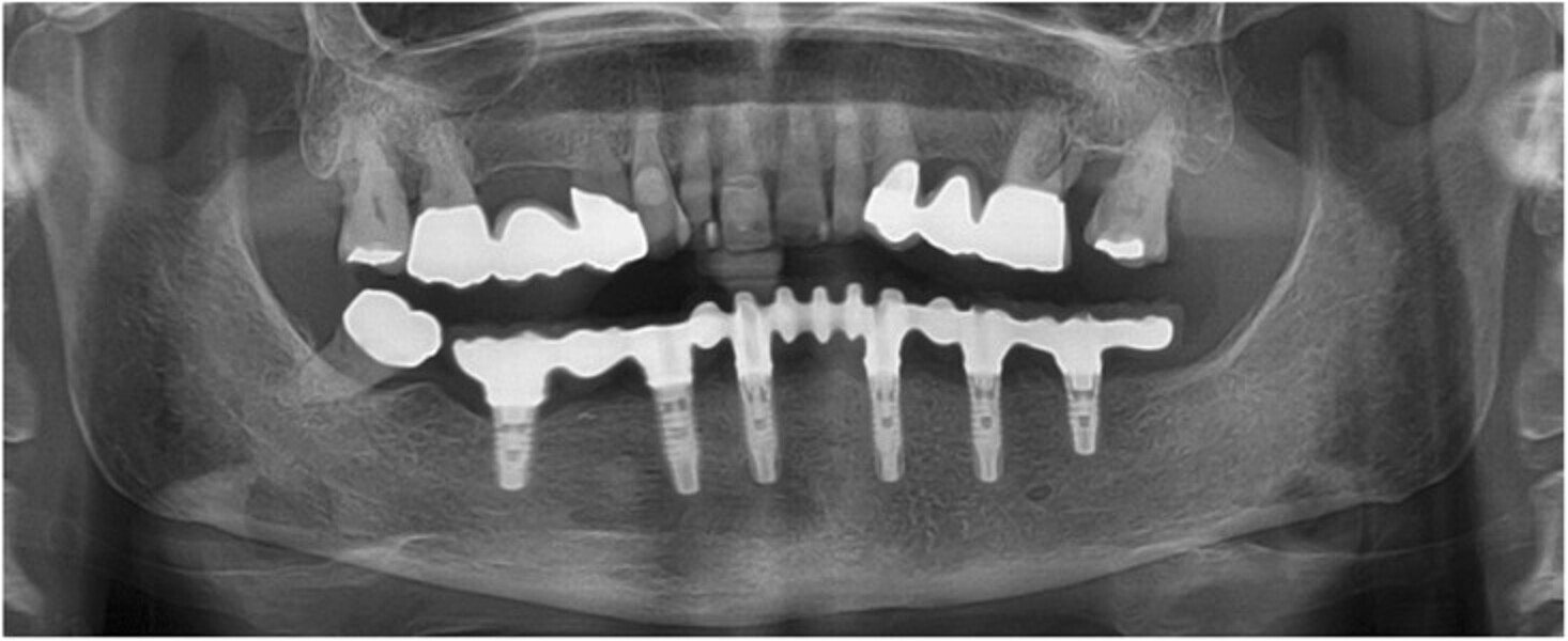
Fig. 10: Post-op panoramic radiograph.
Fig. 11: Frontal view showing the screw-retained posts at impression taking 24 weeks after implant placement.
Fig. 12a: Occlusal view showing CAD of the final FDP (a) and detailed screenshot of the interface geometry (b).
Fig. 12b: Occlusal view showing CAD of the final FDP (a) and detailed screenshot of the interface geometry (b).
Fig. 13a: CAD/CAM-fabricated one-piece cobalt–chromium framework before (a & b) and after veneering with composite (SR Nexco Paste, Ivoclar Vivadent), that is the final FDP (c & d).
Fig. 13b: CAD/CAM-fabricated one-piece cobalt–chromium framework before (a & b) and after veneering with composite (SR Nexco Paste, Ivoclar Vivadent), that is the final FDP (c & d).
Fig. 13c: CAD/CAM-fabricated one-piece cobalt–chromium framework before (a & b) and after veneering with composite (SR Nexco Paste, Ivoclar Vivadent), that is the final FDP (c & d).
Fig. 13d: CAD/CAM-fabricated one-piece cobalt–chromium framework before (a & b) and after veneering with composite (SR Nexco Paste, Ivoclar Vivadent), that is the final FDP (c & d).
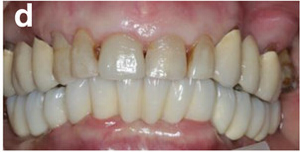
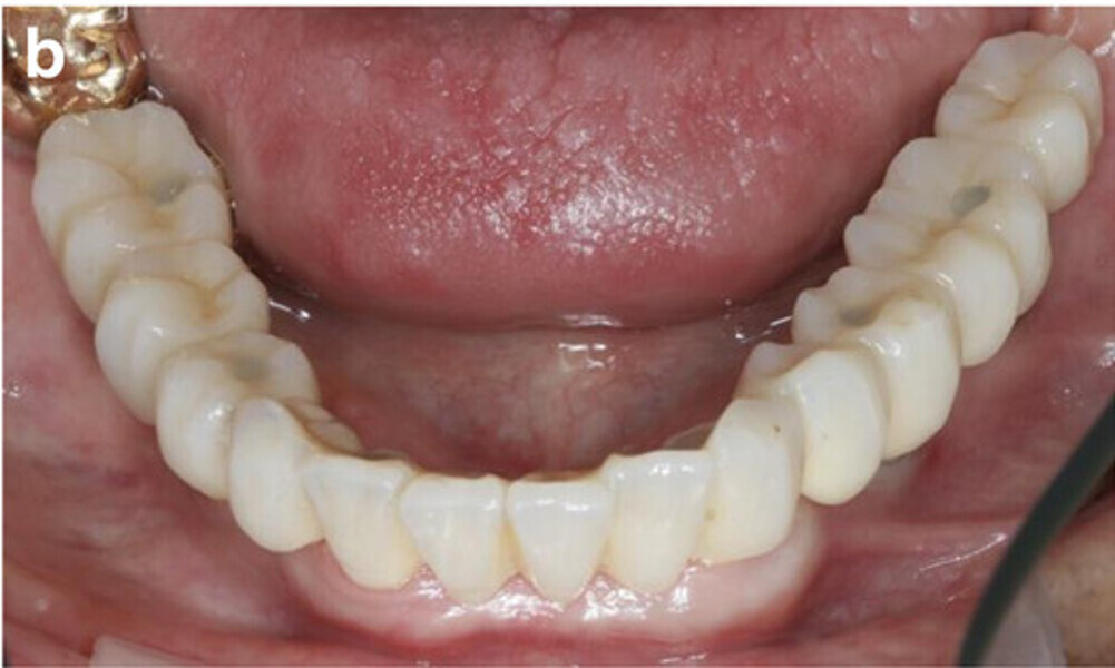
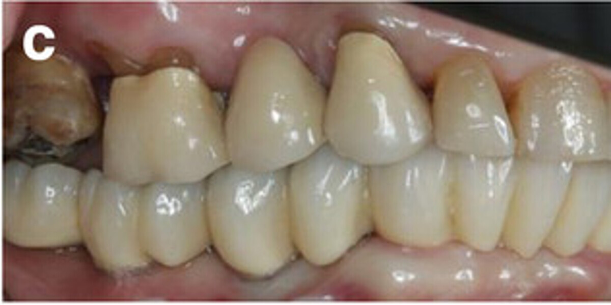
Fig. 14a: Occlusal, frontal and lateral views on the day of delivery, showing healthy peri-implant mucosal conditions (a) and the final CAD/CAM restoration in situ (b–e).
Fig. 14b: Occlusal, frontal and lateral views on the day of delivery, showing healthy peri-implant mucosal conditions (a) and the final CAD/CAM restoration in situ (b–e).
Fig. 14c: Occlusal, frontal and lateral views on the day of delivery, showing healthy peri-implant mucosal conditions (a) and the final CAD/CAM restoration in situ (b–e).
Fig. 14d: Occlusal, frontal and lateral views on the day of delivery, showing healthy peri-implant mucosal conditions (a) and the final CAD/CAM restoration in situ (b–e).
Fig. 14e: Occlusal, frontal and lateral views on the day of delivery, showing healthy peri-implant mucosal conditions (a) and the final CAD/CAM restoration in situ (b–e).
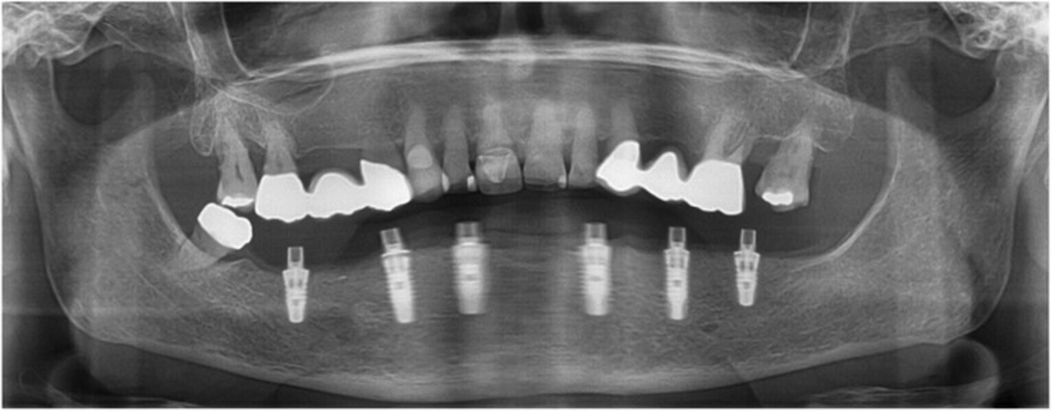
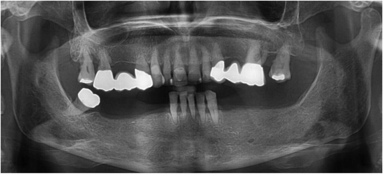
Fig. 15: Panoramic radiograph at delivery of the final CAD/CAM FDP.
Fig. 16: Panoramic radiograph at the 12-month recall appointment.