Fig. 1: Digital model imported into exocad dental software; the red lines illustrate the dental midline and occlusal plane estimated from tooth position without reference points.
Fig. 2: Patient holding the Kois Dento-Facial Analyzer System; the middle rod corresponds to the facial midline and the Fox plane is parallel to the interpupillary line.
Fig. 3: Index tray with bite registration material.
Fig. 4: Occlusal stand with index tray and dental model mounted.
Fig. 5: 3D facial scan showing the same mesh with and without colour. The quality of the mesh without colour can be appreciated and is not a good representation
of the patient anatomy for registration purposes.
Fig. 6: Maxillary and mandibular models aligned in occlusion.
7: Maxillary and mandibular models
aligned displaying the bite record.
Fig. 8: Scanned model and index tray bite record showing the corresponding facial midline determined by the middle notch of the index tray and the occlusal
plane determined by the base of the index tray.
Fig. 9: Frontal view of the model orientation based on the horizontal plane of the virtual articulator.
Fig. 10: Lateral view of the model orientation based on the
vertical plane of the virtual articulator.
Fig. 11: Model orientation in the virtual articulator using the distance from the centre of rotation of the condyles to the central incisors as the distance for proper mounting.
Fig. 12: Preoperative smile photograph.
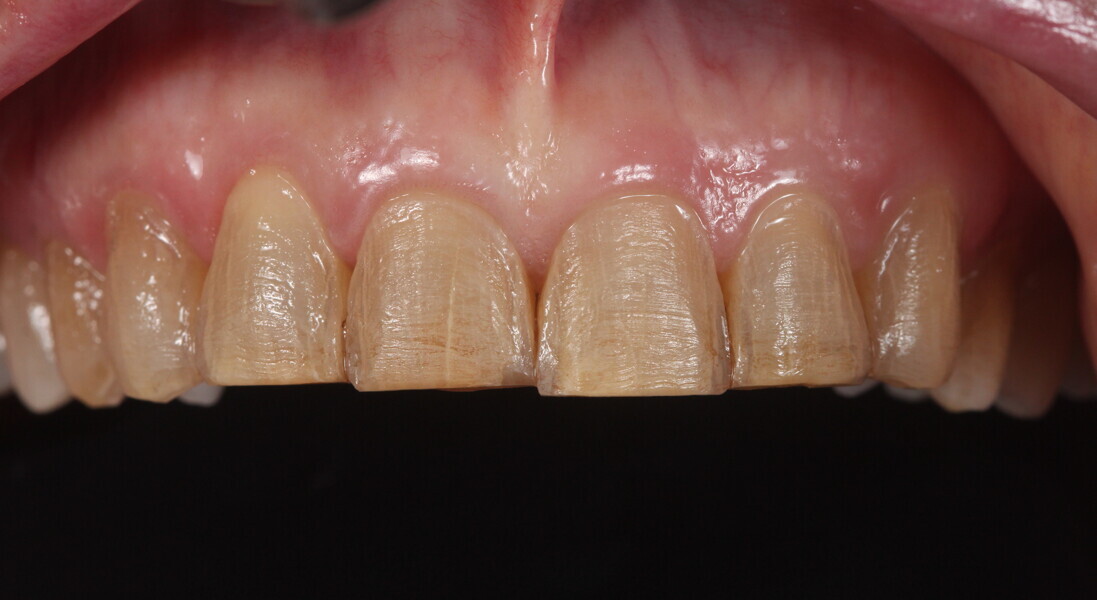
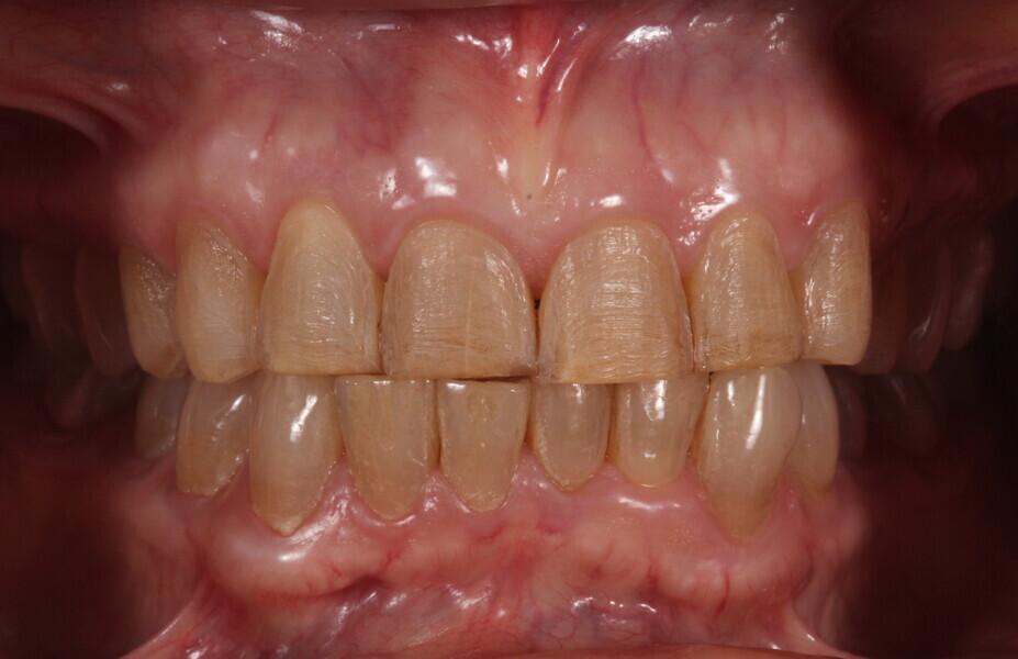
Fig. 13: Preoperative intra-oral photograph.
Fig. 14: 3D smile design simulation.
Fig. 15: Virtual articulator.
Fig. 16: Putty jig made on the printed model for the mock-up.
Fig. 17: Mock-up
used as reductions guide for tooth preparation.
Fig. 18: Intra-oral photograph of conservative veneer preparations.
Fig. 19: Intra-oral photograph of conservative veneer preparations.
Fig. 20: Milled IPS Empress CAD veneer blocks.
Fig. 21: Milled IPS Empress
CAD veneers.
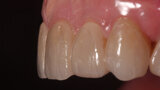
Fig. 22: Bonded veneers, lateral view.
Fig. 23: Bonded veneers, occlusal view.
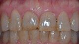
Fig. 24: Postoperative frontal smile.
Fig. 25: Postoperative lateral smile.