Search Dental Tribune

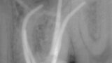
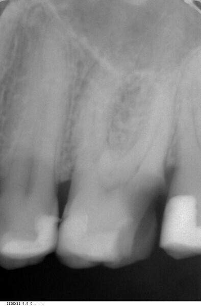
Endodontic follow-up in strongly curved root canals

advertisement