Search Dental Tribune

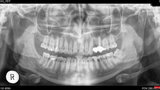
Endodontic treatment of maxillary left rst molar with complicated root canal system

advertisement