Fig. 1: Initial situation, extra-oral view.
Fig. 2: Initial situation, intra-oral view.
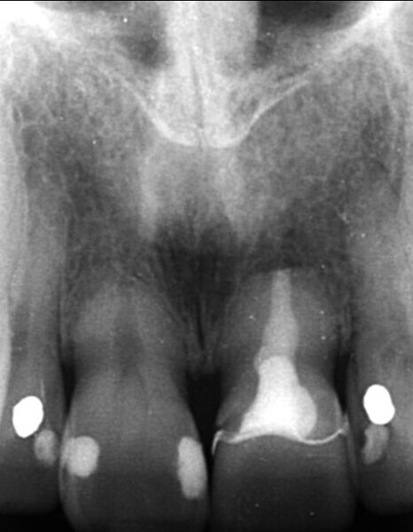
Fig. 3: Pre-op periapical radiograph.
Fig. 4: Pre-op CBCT scan.
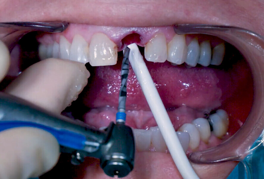
Fig. 5: Initial osteotomy with needle drill.
Fig. 12: Final implant position assessment in relation to gingival margins.
Fig. 11: Final implant position assessment.
Fig. 10: Implant placement with surgical handle.
Fig. 8: Osteotomy with Ø 3.2 mm drill.
Fig. 7: 3D confirmation with Ø 2.2 mm alignment pin.
Fig. 6: Osteotomy with Ø 2.2 mm
drill.
Fig. 13: Healing abutment to protect connection.
Fig. 14: Straumann XenoFlex being applied in labial gap.
Fig. 15: Straumann XenoFlex being applied in labial gap.
Fig. 16: Granule condensation with surgical probe.
Fig. 17: Application of collacone (botiss
biomaterials).
Fig. 18: Biomaterial application finalised.
Fig. 19: Periapical radiograph to confirm temporary abutment gingival height.
Fig. 20: Temporary crown designed in coDiagnostiX (Dental Wings).
Fig. 21: Temporary crown milled in PMMA.
Fig. 22: Fitting assessment of provisional tooth shell.
Fig. 23: Fitting assessment of provisional tooth shell.
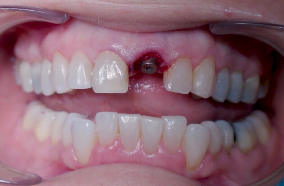
Fig. 24: Screw access open.
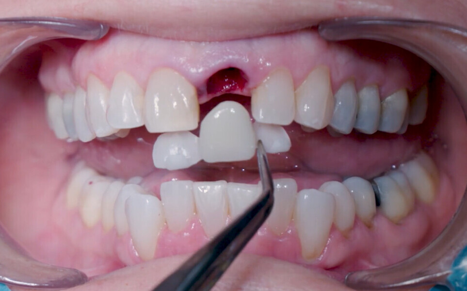
Fig. 25: Temporary provisional tooth shell in position for pick-up of the temporary abutment.
Fig. 26: Temporary provisional tooth shell after pick-up impression taking and emergence profile creation.
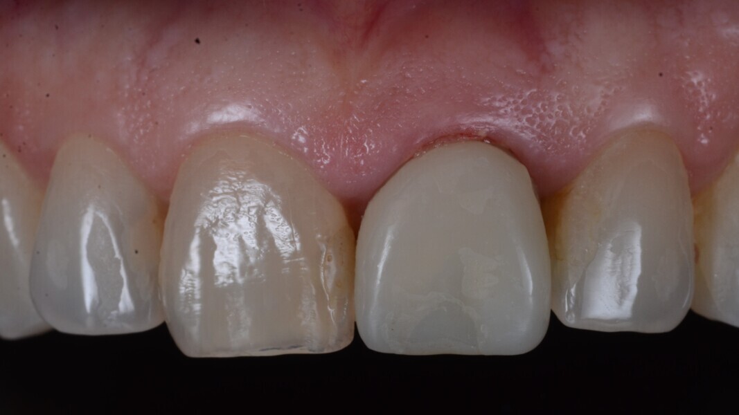
Fig. 27: Temporary crown seated and polished.
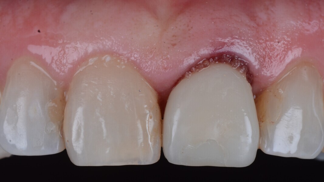
Fig. 28: Temporary crown one week post-op.
Fig. 29: Periapical radiograph one week post-op.
Fig. 30: Monolithic ceramic crown cemented to a regular base/wide base Variobase abutment.
Fig. 31: Final result while smiling.
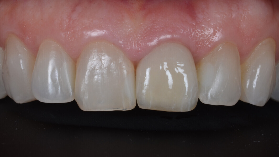
Fig. 32: Final result close up.
Fig. 33: Final result radiograph.