Fig.1a: Pre-op radiograph taken by the referring dentist.
Fig.1b: Pre-op radiograph taken by the author in relation to tooth #46 (January 2019).
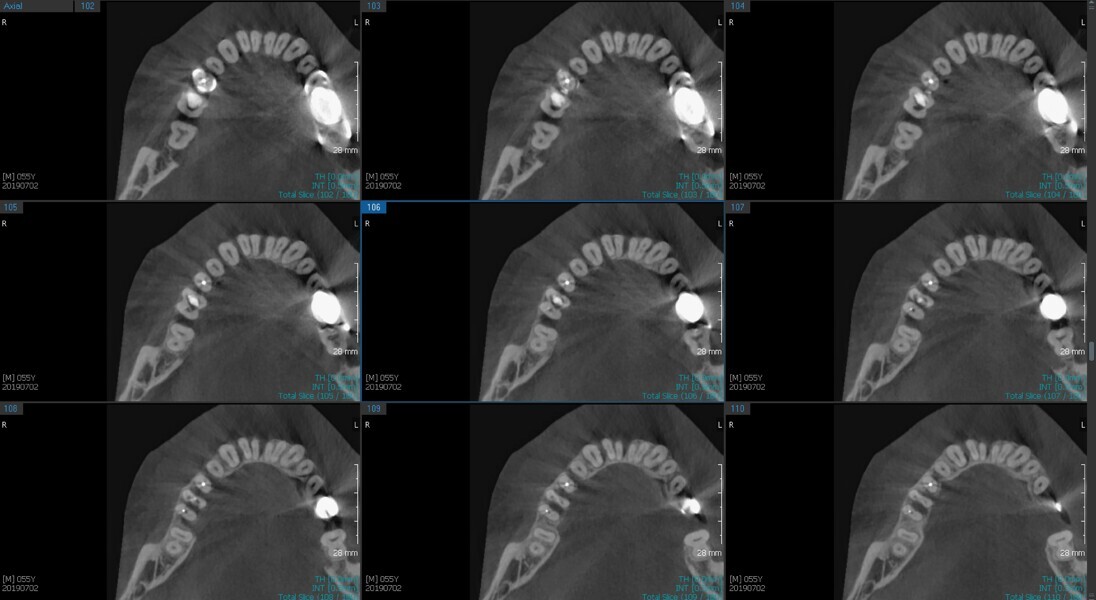
Fig.2a: Pre-op CBCT images of tooth #46: No obturation material in the distal and mesiobuccal canal (a); scanty obturation of the canals and breach of the floor of the pulp chamber, no obturation beyond a few millimetres down the orifice (b & c); radiolucency in the furcation area and periapical region of both roots (d -g).
Fig.2b: Pre-op CBCT images of tooth #46: No obturation material in the distal and mesiobuccal canal (a); scanty obturation of the canals and breach of the floor of the pulp chamber, no obturation beyond a few millimetres down the orifice (b & c); radiolucency in the furcation area and periapical region of both roots (d -g).
Fig.2c: Pre-op CBCT images of tooth #46: No obturation material in the distal and mesiobuccal canal (a); scanty obturation of the canals and breach of the floor of the pulp chamber, no obturation beyond a few millimetres down the orifice (b & c); radiolucency in the furcation area and periapical region of both roots (d -g).
Fig.2d: Pre-op CBCT images of tooth #46: No obturation material in the distal and mesiobuccal canal (a); scanty obturation of the canals and breach of the floor of the pulp chamber, no obturation beyond a few millimetres down the orifice (b & c); radiolucency in the furcation area and periapical region of both roots (d -g).
Fig.2e: Pre-op CBCT images of tooth #46: No obturation material in the distal and mesiobuccal canal (a); scanty obturation of the canals and breach of the floor of the pulp chamber, no obturation beyond a few millimetres down the orifice (b & c); radiolucency in the furcation area and periapical region of both roots (d -g).
Fig.2f: Pre-op CBCT images of tooth #46: No obturation material in the distal and mesiobuccal canal (a); scanty obturation of the canals and breach of the floor of the pulp chamber, no obturation beyond a few millimetres down the orifice (b & c); radiolucency in the furcation area and periapical region of both roots (d -g).
Fig.2g: Pre-op CBCT images of tooth #46: No obturation material in the distal and mesiobuccal canal (a); scanty obturation of the canals and breach of the floor of the pulp chamber, no obturation beyond a few millimetres down the orifice (b & c); radiolucency in the furcation area and periapical region of both roots (d -g).
Fig. 3: Intra-op image of tooth #46 captured under the dental operating microscope at 16× magnification.
Fig. 4: Intra-op image of tooth #46 captured under the dental operating microscope at 16× magnification showing the clean perforation defect prior to its sealing with MTA and PRF.
Fig. 5: Intra-op image of tooth #46 under the dental operating microscope at 16× magnification showing the sealed pulpal floor perforation with MTA and the obturated mesial canals with room for orifice plugs for the core material.
Fig. 6a: Post-op CBCT images of tooth #46 showing adequately obturated canals at all levels to the working length and sealing of the furcation defect.
Fig. 6b: Post-op CBCT images of tooth #46 showing adequately obturated canals at all levels to the working length and sealing of the furcation defect.
Fig. 6c: Post-op CBCT images of tooth #46 showing adequately obturated canals at all levels to the working length and sealing of the furcation defect.
Fig. 6d: Post-op CBCT images of tooth #46 showing adequately obturated canals at all levels to the working length and sealing of the furcation defect.
Fig. 6e: Post-op CBCT images of tooth #46 showing adequately obturated canals at all levels to the working length and sealing of the furcation defect.
Fig. 6f: Post-op CBCT images of tooth #46 showing adequately obturated canals at all levels to the working length and sealing of the furcation defect.
Fig. 6g: Post-op CBCT images of tooth #46 showing adequately obturated canals at all levels to the working length and sealing of the furcation defect.
Fig.7a: Six-month follow-up (August 2019).
Fig. 7b: Fourteen-month follow-up (May 2020).