Fig. 1: Different n!ce milling blanks.
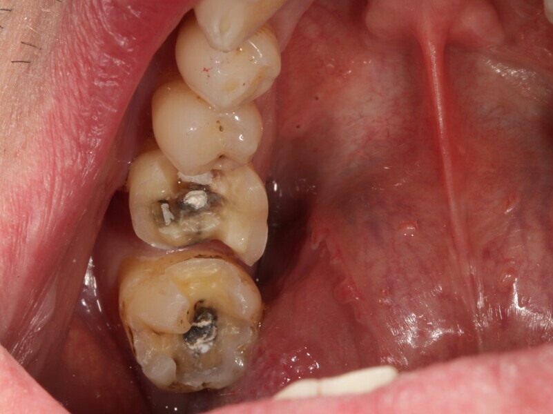
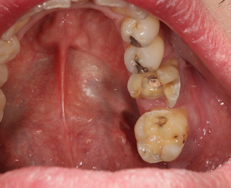
Fig. 2a: The patient desired replacement of the large-surface amalgam fillings in the upper (a) and lower jaw (b) with full-ceramic restorations.
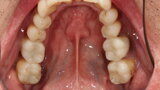
Fig. 2b: The patient desired replacement of the large-surface amalgam fillings in the upper (a) and lower jaw (b) with full-ceramic restorations.
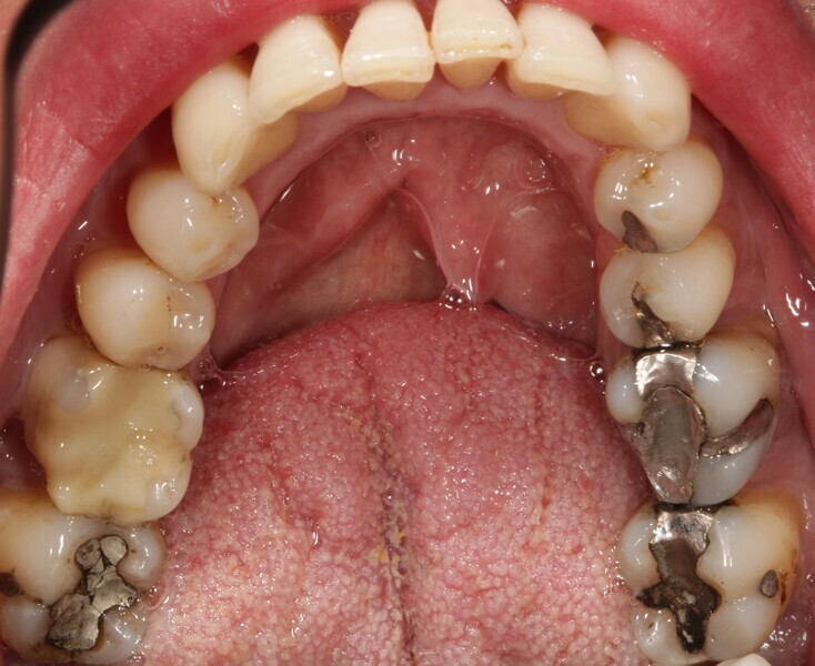
Fig. 3a: The
prepared teeth are readied for intraoral digitalisation (intraoral scanning).
Fig. 3b: The
prepared teeth are readied for intraoral digitalisation (intraoral scanning).
Fig. 3c: The
prepared teeth are readied for intraoral digitalisation (intraoral scanning).
Fig. 4a: Illustrative image of the CAD construction in the posterior segment of the maxilla.
Fig. 4b: Illustrative image of the CAD construction in the posterior segment of the maxilla.
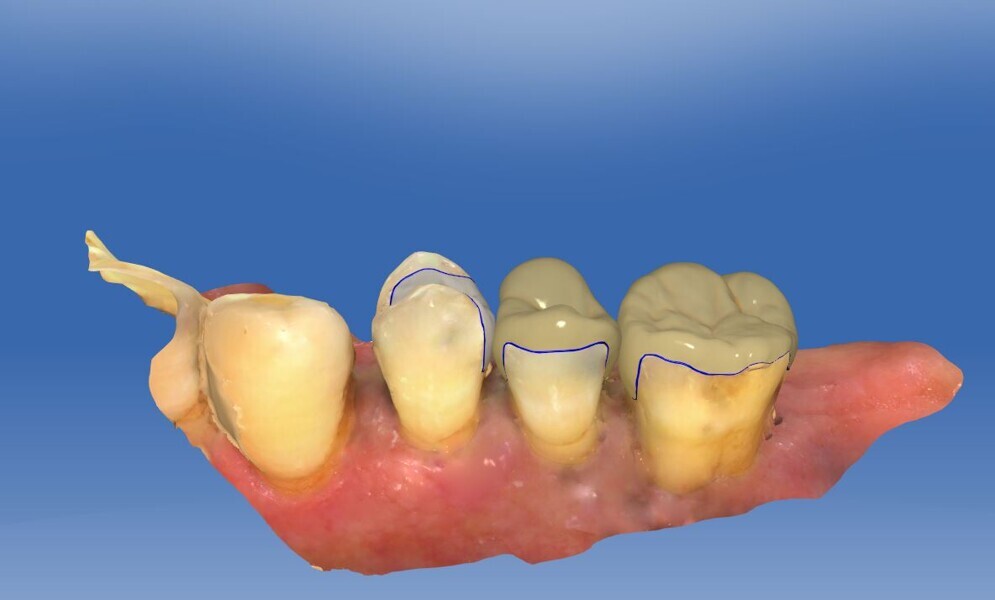
Fig. 5a: CAD construction in the mandible.
Fig. 5b: CAD construction in the mandible.
Fig. 6: Milling of a n!ce restoration.
Fig. 7: Polishing of a n!ce restoration.
Fig. 8: The teeth are conditioned for adhesive bonding of the glass-ceramic restorations.
Fig. 9: Restorations inserted in the mandible.
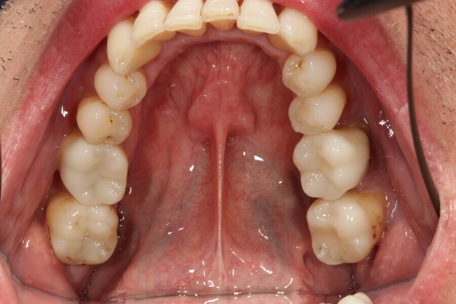
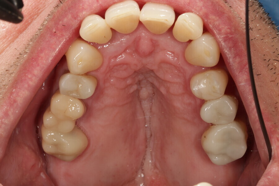
Fig. 10a: Occlusal view after the treatment: glass-ceramic crowns (a), composite fillings and a bridge of lithium disilicate (b).
Fig. 10b: Occlusal view after the treatment: glass-ceramic crowns (a), composite fillings and a bridge of lithium disilicate (b).