Search Dental Tribune

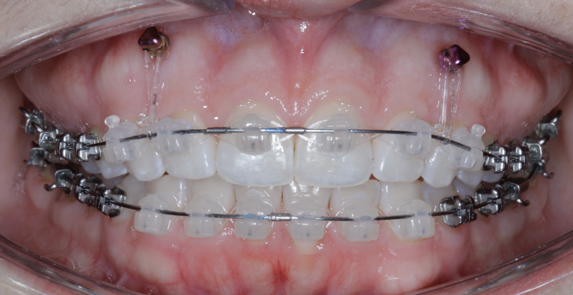
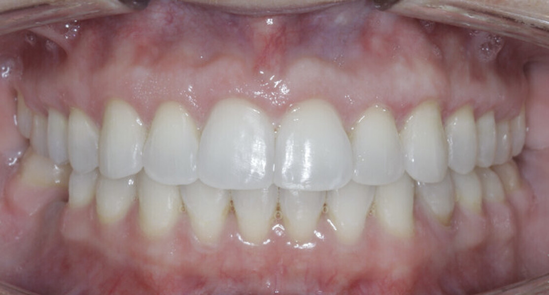
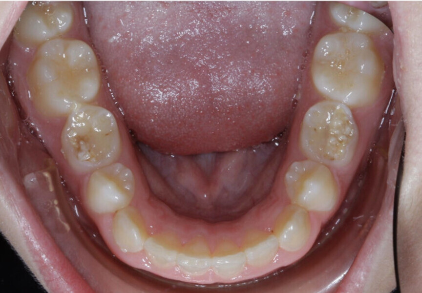
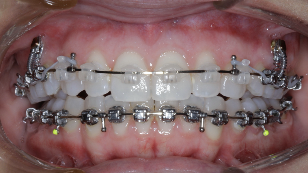
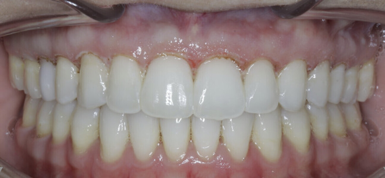
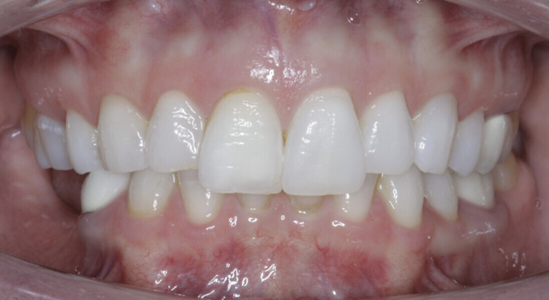
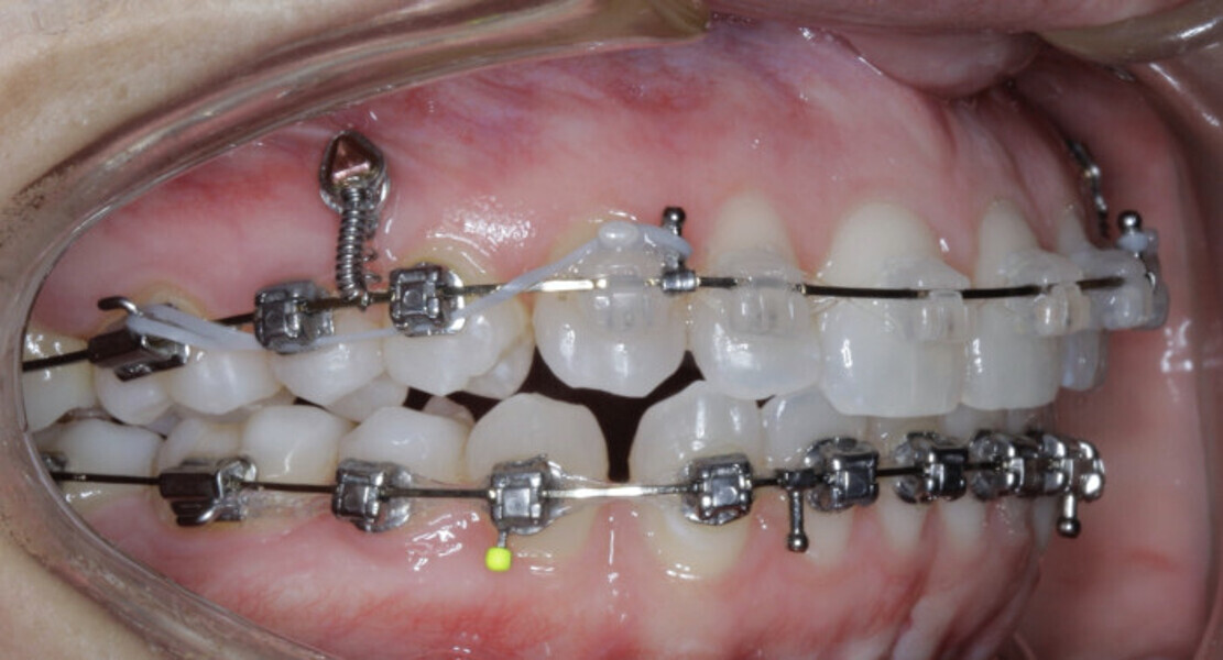
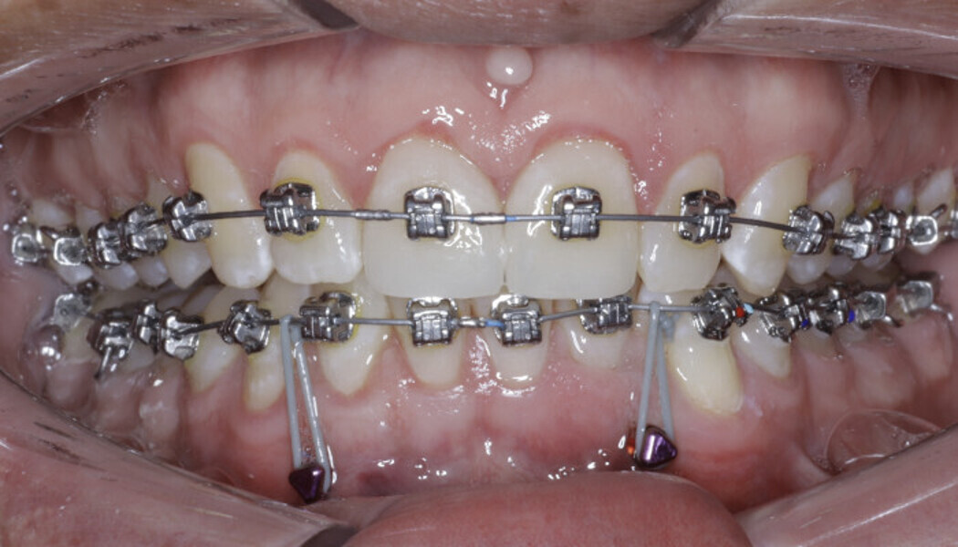
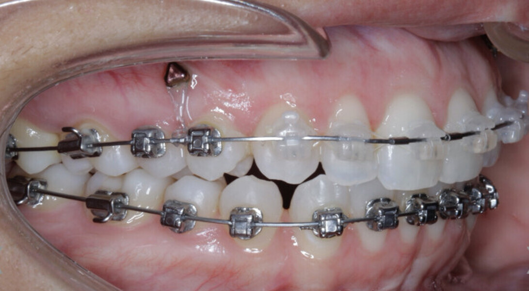
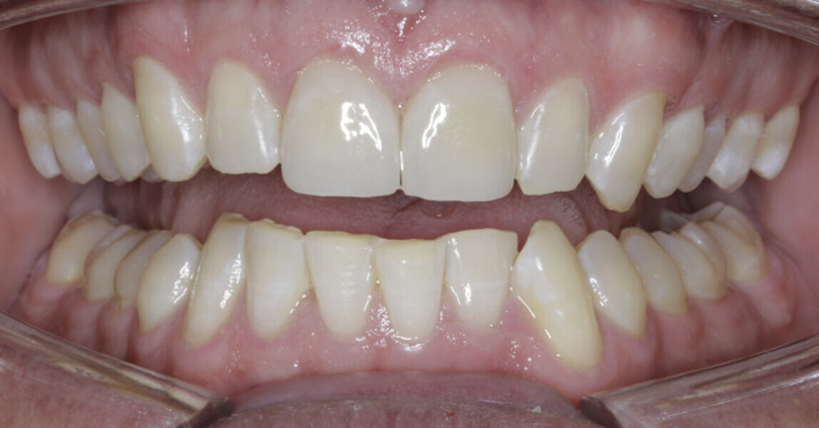
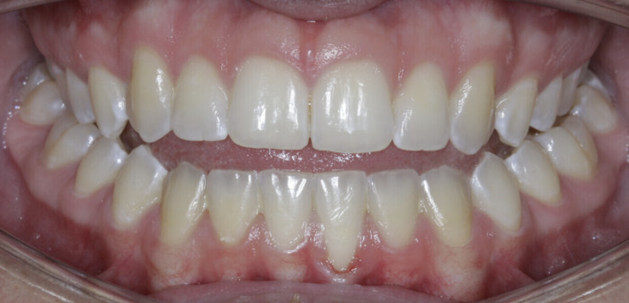
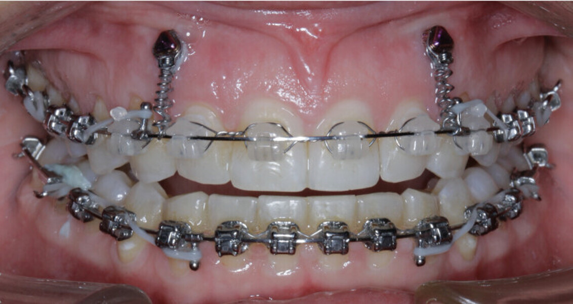
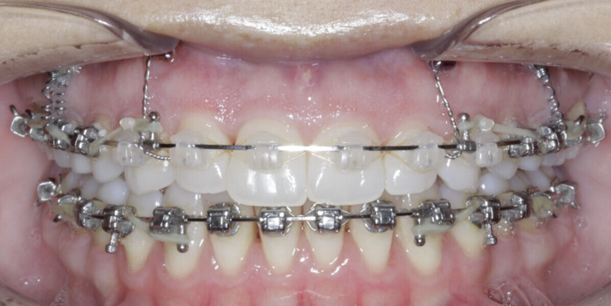
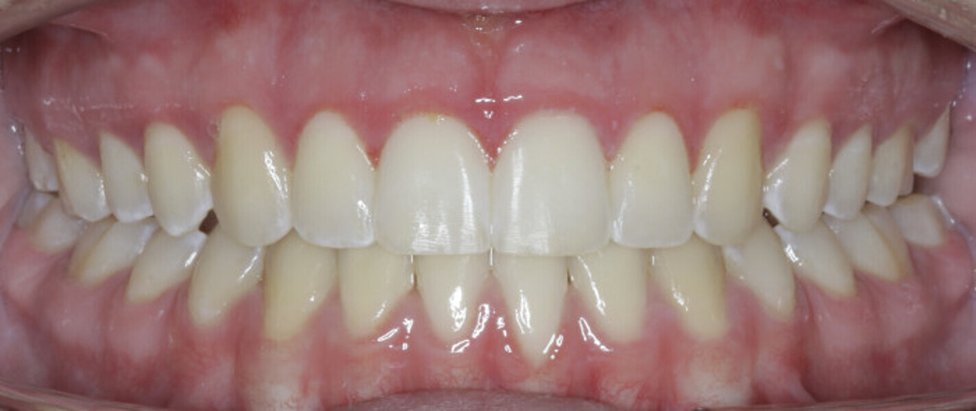
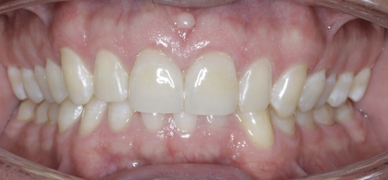
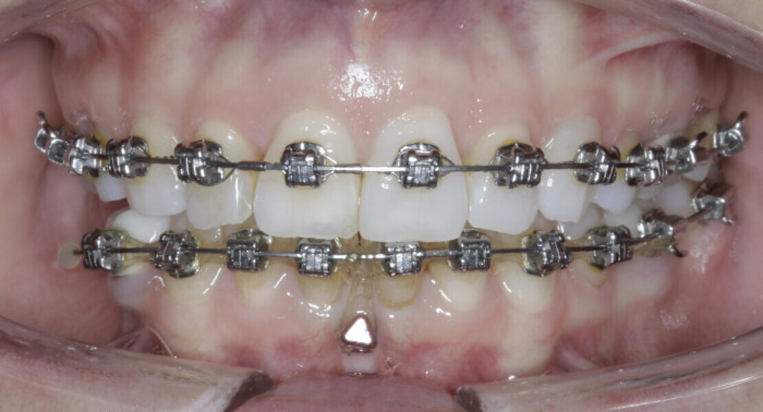
New Age orthodontics and orthopaedics with temporary anchorage devices

advertisement