Search Dental Tribune

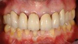
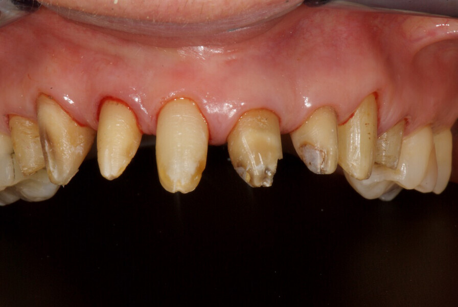
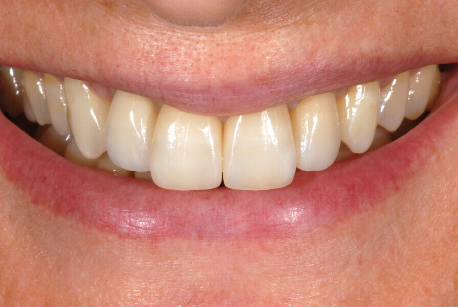
New paradigm in aesthetic restoration

advertisement
advertisement