Fig. 1: Retracted pre-op smile view.
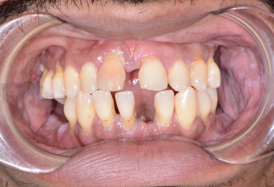
Fig. 2: Retracted pre-op frontal view.
Fig. 3: CBCT scan obtained using the CS 8100 3D.
Fig. 4: Pre-op bite registration with Futar.
Fig. 5: Immediate dentures.
Fig. 6: Physics Forceps used for extractions.
Fig. 7: Area grafted and sutured.
Fig. 8: Try-in of immediate denture.
Fig. 9: Chairside soft denture relining material.
Fig. 10: Dispensing SOFRELINER TOUGH into immediate denture.
Fig. 11: Removing mandibular teeth.
Fig. 12: Remaining ridge after tooth removal.
Fig. 13: Levelling bone using a CBCT-based guide.
Fig. 14: Positioning implant surgical guide.
Fig. 15: Seven dental implant.
Fig. 16: Overdenture attachments inserted, followed by grafting material.
Fig. 17: Overdenture housings ready for the pick-up impression.
Fig. 18: Chairside hard denture relining material TOKUYAMA REBASE II.
Fig. 19: Immediate post-op retracted view.
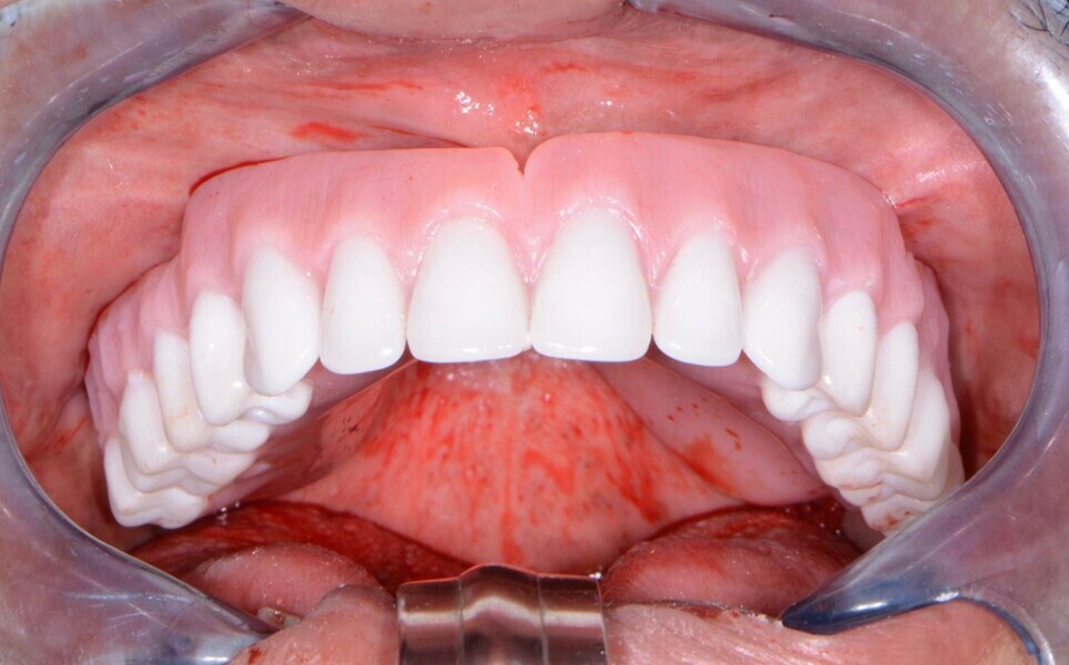
Fig. 20: Retracted post-op smile view.