Search Dental Tribune

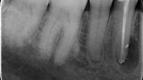
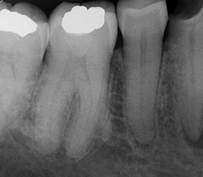
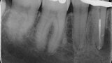
Shaping a Type V mandibular premolar with VDW.ROTATE

advertisement