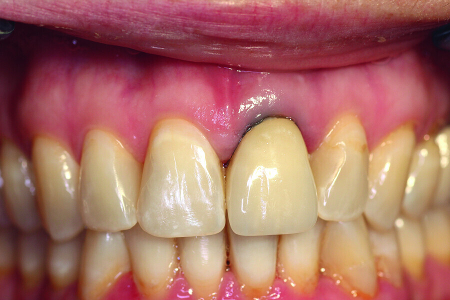
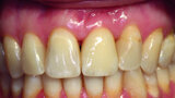
Fig. 1: Initial clinical situation.
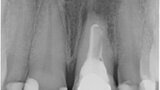
Fig. 2: Initial radiographic examination.
Fig. 3: After the extraction, the apical granulation tissue was excochleated.
Fig. 4: The implant site was uncovered after five months.
Fig. 5a: A two-piece ceramic implant was inserted.
Fig. 5b: A two-piece ceramic implant was inserted.
Fig. 6a: Transversal bone augmentation was performed.
Fig. 6b: Transversal bone augmentation was performed.
Fig. 7: Implant exposure after another four months.
Fig. 8a: A PEEK abutment as the base for the long-term temporary restoration.
Fig. 8b: A PEEK abutment as the base for the long-term temporary restoration.
Fig. 9a: The definitive zirconia crown was fixed to the customised abutment made of alumina-toughened zirconia.
Fig. 9b: The definitive zirconia crown was fixed to the customised abutment made of alumina-toughened zirconia.
Fig. 10a: The definitive zirconia crown was fixed to the customised abutment made of alumina-toughened zirconia.
Fig. 10b: The definitive zirconia crown was fixed to the customised abutment made of alumina-toughened zirconia.
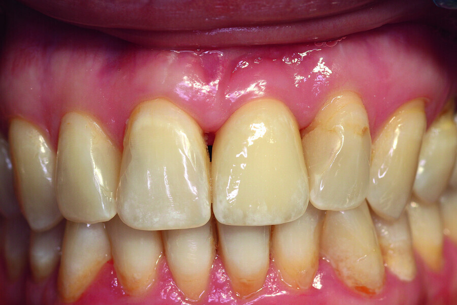
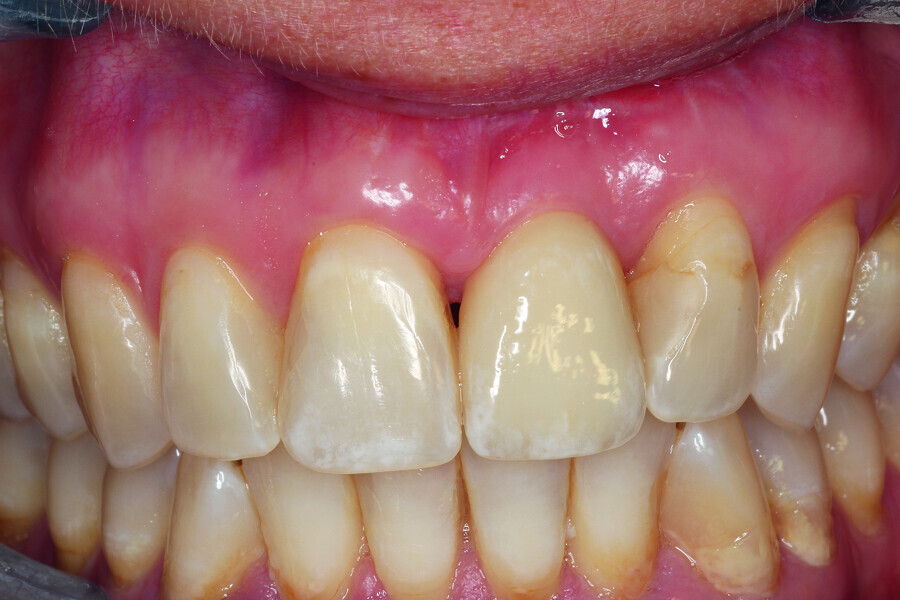
Fig. 11: The final result.
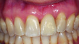
Fig. 12a: Clinical situation at the examinations after a) six and b) 12 months.
Fig. 12b: Clinical situation at the examinations after a) six and b) 12 months.
Fig. 13a: Bone resorption was detected after six months and bone gain after 12 months. The yellow line represents the actual implant length (13.6mm). The red lines indicate the mesial and distal distances from the top of the implant to the first bone contact.
Fig. 13b: Bone resorption was detected after six months and bone gain after 12 months. The yellow line represents the actual implant length (13.6mm). The red lines indicate the mesial and distal distances from the top of the implant to the first bone contact.
Fig. 13c: Bone resorption was detected after six months and bone gain after 12 months. The yellow line represents the actual implant length (13.6mm). The red lines indicate the mesial and distal distances from the top of the implant to the first bone contact.