Fig. 1: Situation before treatment, which led to the decision to extract tooth #11.
Fig. 2: CBCT scan: the root of the tooth was visibly fractured, and there was clear external resorption of the root from the vestibular side.
Fig. 3: Buccal scan: information on the positioning of the maxilla relative to the mandible. This is absolutely necessary for designing a crown.
Fig. 4: Designing the guide in the Simplant software based on the planned implant position.
Fig. 5: Overlaying the CBCT and CEREC intra-oral scans, as well
as the planned implant position, in the Simplant software.
Fig. 6: Planning the shape and size of the future CAD/CAM full ceramic crown in cut-back technique in the inLab software (Dentsply Sirona) based on the Atlantis Core File received.
Fig. 7: Full ceramic crown milled in the CEREC CAD/CAM system before sintering. As can be seen in the image, the Atlantis abutment and
the crown would fit perfectly together.
Fig. 8: The completed screw-retained IPS e.max crown ready to be cemented extra-orally with the Atlantis abutment (titanium nitride abutment surface).
Fig. 9: Visible granulation tissue at the resorption and fracture area of tooth #11.
Fig. 10: Removal of the granulation tissue with an Er:YAG laser.
Fig. 11: Clean socket after atraumatic extraction of tooth #11.
Fig. 12: Tooth-supported Simplant Guide.
Fig. 13: The guide fitted flawlessly on the patient’s teeth.
Fig. 14: A sequence of implant drills with specific guide sleeves were used.
Fig. 15: Placement of the Ankylos implant using the Simplant Guide.
Fig. 16: Sub-crestal placement of the Ankylos implant. Attachment of the screw-retained
IPS e.max crown on to the Atlantis abutment (non-functional restoration).
Fig. 17: A follow-up CBCT scan demonstrated the perfectly executed positioning of the implant as it had been planned.
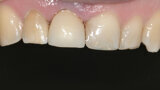
Fig. 18: There was perfect adaptation of the soft tissue around the implant restoration. In addition, a ceramic crown
was placed on tooth #12 (after root canal therapy) and ceramic veneers on teeth #21 and 22. Three years follow up shows stability of soft and hard tissue.