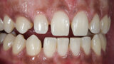
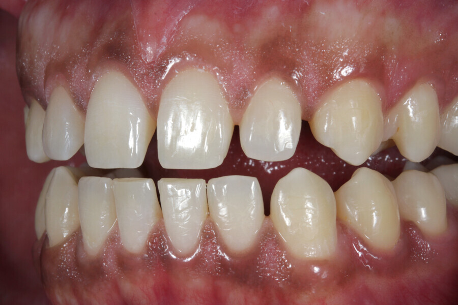
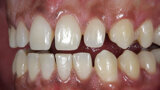
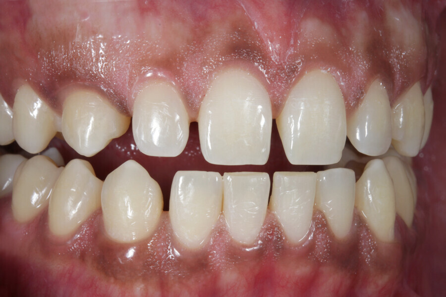
Fig. 1: Initial situation with diastemas in the upper and lower jaws.
Fig. 2: Initial situation with diastemas in the upper and lower jaws.
Fig. 3: Initial situation with diastemas in the upper and lower jaws.
Fig. 4: Initial situation on smiling.
Fig. 5: Initial situation on smiling.
Fig. 6: Initial situation on smiling.
Fig. 7: Initial situation on smiling, lateral and frontal views.
Fig. 8: Initial situation on smiling, lateral and frontal views.
Fig. 9: Initial situation on smiling, lateral and frontal views.
Fig. 10: Digital smile system glasses and digital dental library selected by the software for the smile planning.
Fig. 11: Digital smile system glasses and digital dental library selected by the software for the smile planning.
Fig. 12: Digital smile system glasses and digital dental library selected by the software for the smile planning.
Fig. 13: Intra-oral and extra-oral final digital result.
Fig. 14: Intra-oral and extra-oral final digital result.
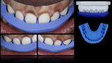
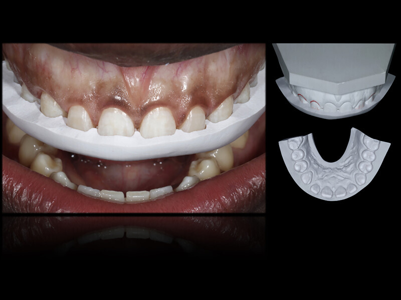
Fig. 15: Maxillary and mandibular impressions for the diagnostic models.
Fig. 16: Maxillary and mandibular impressions for the diagnostic models.
Fig. 17: Facial analysis for planning the individual tooth shape.
Fig. 18: Segmentation of the tooth and full segments divided into half segments.
Fig. 19: Plaster model of the pre-op maxillary situation.
Fig. 20: Facial transition
lines.
Fig. 21: First wax-up unit, lateral view.
Fig. 22: First wax-up unit, lateral view.
Fig. 23: Central lobe and incisal cones.
Fig. 24: Wax-up of the entire facial area, frontal and lateral views.
Fig. 25: Wax-up of the entire facial area, frontal and lateral views.
Fig. 26: Wax-up of the entire facial area, frontal and lateral views.
Fig. 27: Lingual view of the waxed up incisal edge.
Fig. 28: Final wax-up and texture.
Fig. 29: Final wax-up of all units.
Fig. 30: Final wax-up of all units.
Fig. 31: Final wax-up of all units.
Fig. 32: Comparison of the pre-op
situation and final wax-up.
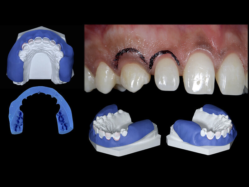
Fig. 33: Silicone index for the mock-up in double material.
Fig. 34: Sectioned silicone key on the plaster model for laboratory
reduction.
Fig. 35: Sectioned silicone key on the plaster model for laboratory
reduction.
Fig. 36: Sectioned silicone key on the plaster model for laboratory
reduction.
Fig. 37: Sectioned silicone key on the plaster model for laboratory
reduction.
Fig. 38: Sectioned silicone key on the plaster model for laboratory
reduction.
Fig. 39: Calibrated reduction completed by the laboratory and red marked areas.
Fig. 40: Calibrated reduction completed by the laboratory and red marked areas.
Fig. 41: Silicone index of the preparation for clinician control.
Fig. 42: Surgical silicone index for crown lengthening and cervical contours marked with a red pencil.
Fig. 43: Surgical silicone index for crown lengthening and cervical contours marked with a red pencil.
Fig. 44: Surgical silicone index for crown lengthening and cervical contours marked with a red pencil.
Fig. 45: Surgical silicone index for crown lengthening and cervical contours marked with a red pencil.
Fig. 46: Surgical silicone index for crown lengthening and cervical contours marked with a red pencil.
Fig. 47: Mock-up procedures and result in the mouth in order to evaluate the aesthetic relation between the face and the smile.
Fig. 48: Mock-up procedures and result in the mouth in order to evaluate the aesthetic relation between the face and the smile.
Fig. 49: Mock-up procedures and result in the mouth in order to evaluate the aesthetic relation between the face and the smile.
Fig. 50: Mock-up procedures and result in the mouth in order to evaluate the aesthetic relation between the face and the smile.
Fig. 51: Silicone index for crown lengthening and the new prosthetic marginal design marked in the cervical area with a black pen.
Fig. 52: The palatal-incisal
silicone index was used to establish the space on the incisal margin. Steps before, during and after preparation.
Fig. 53: The palatal-incisal
silicone index was used to establish the space on the incisal margin. Steps before, during and after preparation.
Fig. 54: The palatal-incisal
silicone index was used to establish the space on the incisal margin. Steps before, during and after preparation.
Fig. 55: Silicone index used to check incisal-facial reduction.
Fig. 56: Silicone index used to check facial reduction.
Fig. 57: Silicone index used to check facial reduction.
Fig. 58: Laboratory prepared silicone key adapted to the clinical calibrated preparation.
Fig. 59: Final impression.
Fig. 60: Master dies after pouring, ready to be sectioned and manually worked.
Fig. 64: Solid model
for checking contact points and positions of the veneers.
Fig. 65: Cervical contouring for the new cervical design.
Fig. 66: Cervical contouring for the new cervical design.
67: Horizontal emergence angle
and emergence profile of the veneers.
Fig. 68: Ceramic after the first firing.
Fig. 69: Disk bur being used to groove details.
Fig. 70: Tungsten bur being used for waving grooves.
Fig. 71: Restoration units
after staining.
Fig. 72: Incisal edges of units with reflected light to view incisal effects.
Fig. 73: Glazed ceramic veneers on the plaster model.
Fig. 74: Glazed ceramic veneers on the plaster model.
Fig. 75: Glazed ceramic veneers on the plaster model.
Fig. 76: Glazed ceramic veneers on the plaster model.
Fig. 77: Ceramic opalescence and incisal effects.
Fig. 78: Veneers adapted to the master dies and ready to be delivered to the dental office.
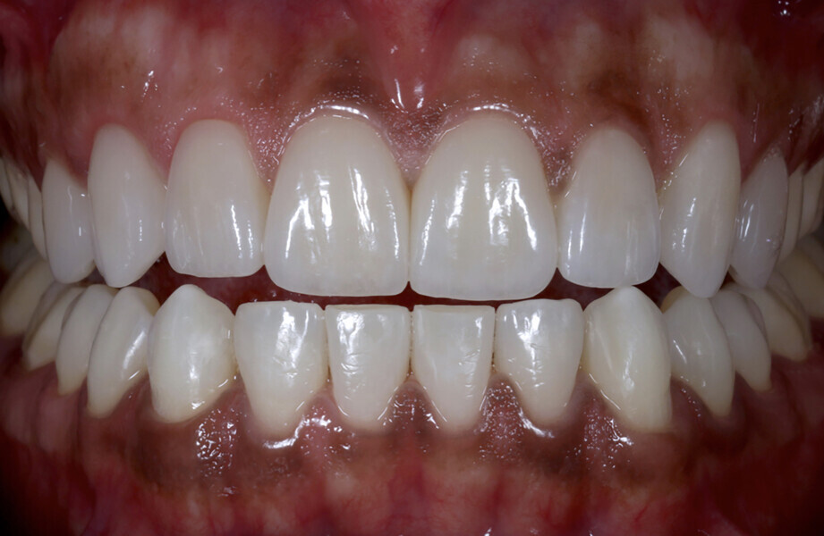
Fig. 79: Definitive restoration of the maxilla.
Fig. 80: Pre-op and post-op situations.
Fig. 81: Pre-op and post-op situations.
Fig. 82: Initial and final lingual situations.
Fig. 83: Initial and final lingual situations.
Fig. 84: Smile before and after the treatment.
Fig. 85: Smile before and after the treatment.
Figs. 86a–c: Pre-op smile and customised smile in facial harmony (a) wearing the mock-up (b) and after definitive restoration (c).