Search Dental Tribune

Dentsply Sirona – SIDEXIS 4

save

Radiography software that sets the standard

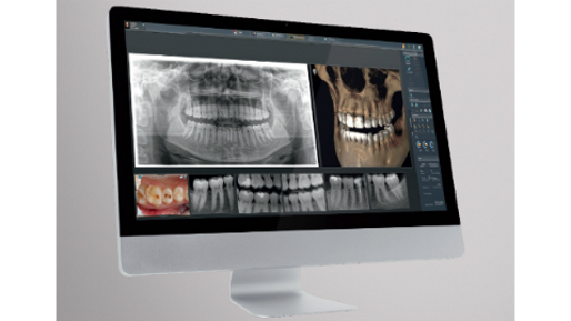
The images generated by this method can be optimally processed using the new SIDEXIS 4 radiography software. The program is characterized by its unrivaled workflow-oriented user interface and very easy handling. From the user interface, dentists can access all pertinent patient image data. Dentists thus have a full overview of the patient's treatment history. They can make cross references within the software, for example, compare intraoral and 3D images. A large number of interfaces enable SIDEXIS 4 to be connected to other systems, such as practice administration or the TENEO treatment center. The software suite can also be extended with plug-ins and applications to enable perfect coordination with integrated digital workflows, for simultaneous surgical and prosthetic planning of implants or to analyze the airways in patients with obstructive sleep apnea using SICAT Air.

Highlights:

Seamless 2D/3D

Ideal for a comprehensive diagnosis. In the light box you can compare 2D and 3D images, camera shots, and face scan data side by side.

Modern, intuitive design

The innovative "timeline" function provides an overview of all the data assigned to a specific patient in a miniaturized preview organized by image date and type. The timeline gives you a quick overview of the patient's entire history. This allows you to add an intuitive time dimension to your diagnostic options.

Integrated workflows

SIDEXIS 4 is much more than just X-ray software. With it as a basis, you are set up to use the integrated solutions from Sirona, which give you many options for implantology, functional diagnostics, and the therapy of obstructive sleep apnea, for example.

advertisement
advertisement