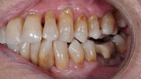
Fig. 1: Situation after multiple mandibular fractures on the left side.
Fig. 2: Clinical situation at the initial appointment in the dental practice.
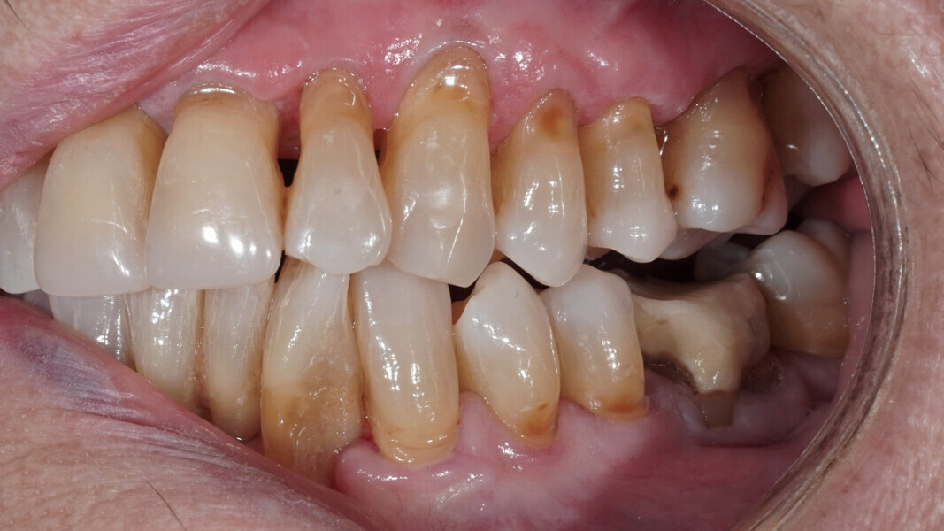
Fig. 3: Open bite in the mandibular left posterior region.
Fig. 4: Bridge design using CEREC Software.
Fig. 5: Bridge design using CEREC Software.
Fig. 6: Owing to the bright shade of the teeth in the cuspal area, the restoration was positioned high in the multilayered KATANA Zirconia Block.
Fig. 7: Surface texturing in the pre-sintered state (prior to the final sintering procedure).
Fig. 8: Bridge after a 7-hour sintering cycle.
Fig. 9: Appearance of the bridge after individualisation with CERABIEN ZR FC Paste Stain.
Fig. 10: Appearance of the bridge after two glaze firings.
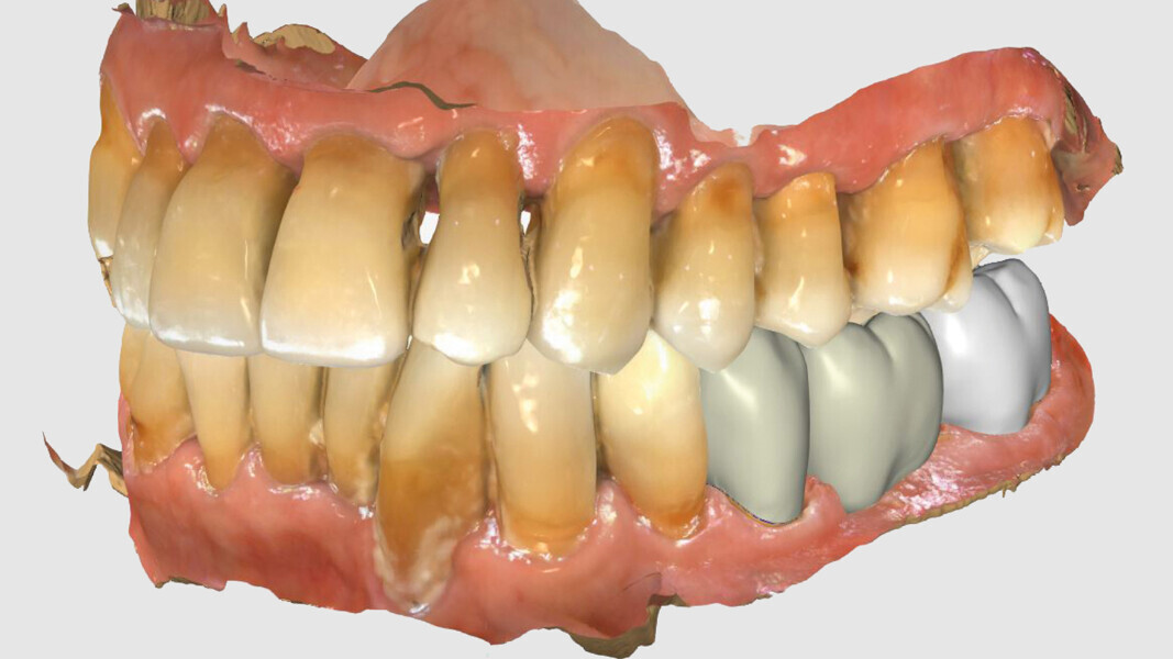
Fig. 11: Clinical situation after restoring the teeth with a lithium disilicate onlay and a zirconia bridge.
Fig. 12: Clinical situation after restoring the teeth with a lithium disilicate onlay and a zirconia bridge.
Fig. 13: Final radiograph used to check for excess cement around the bridge.