In its vast complexity, colour science embraces physics, mathematics, geometry, measurement, perception, chemistry, optics, art and human psychology, among many others. In a nutshell, colour is psychophysics. Misinterpreted colour science concepts and their incorrect application are often found in the dental literature. It is often difficult to explain complex colour science concepts relevant to the dental field using easily understandable words. In the following pages, we will try to translate some of these concepts to more easily understandable language.
Dental shade determination is very important and requires extreme precision in measurement, computing and execution; in other words, the definitive restoration has to be perfect to the eye of the clinician, technician and patient. This task can be done digitally or analogically.
Shade determination by eye is, for obvious reasons, the most commonly used shade taking method among clinicians. Despite this, the scientific community seems not to appreciate it, owing to its lack of objectivity, as several factors can affect the way we perceive dental shade. However, it has the advantage of being the ultimate means of judging dental shade regardless of the shade determination method used, since what matters the most is the appearance of the definitive restoration in place.
Despite being available for more than 30 years, digital shade determination methods only became popular when their measurements found application in clinical and laboratory situations. Without digital shade determination having a true benefit in clinical outcome, dentists and technicians have tended to rely on shade determination by eye.
Dental shade guides
For a very long time, stock shade guides have been the first resource for dental shade determination, and for several reasons, there has always been an excuse to improve them or a hack to make them more reliable. The VITA classical A1–D4 shade guide (VITA Zahnfabrik) has always been the default whenever other methods have not worked. VITA shade matching has always been linked to artistic skills and a deep knowledge of the materials and their specific instruments, such as shade guides.
Common do-it-yourself (DIY) strategies have been proposed throughout the years, in order to optimise the use of stock shade guides. For example, adding an increment of pink composite gives the shade guide a more realistic context, making the sample look more like a real tooth emerging from the gingiva (Fig. 1). Although this does not solve the core issue of stock shade guides, it slightly helps focus attention on the full tooth. However, this hack has had limited success. Commercial pink shade guide holders of various brands have been proposed to this end, but they are easily fabricated by any clinician with acrylic resin.
Another DIY method aiming to optimise stock shade guides and increase shade matching precision is trimming of the cervical and incisal portions (Fig. 2), leaving only the area where the shade is more even throughout the surface. This eliminates all distractions in shade matching, as for many people, the translucent mass in the incisal area and the opaquer cervical area are distracting rather than helpful. This area trimming makes the shade samples look more like they are of solid shades. This hack not only has had limited success but also gives rise to other problems, one of which is that the useful area of shade reference, which is the centre of the shade guide, is significantly decreased.
Fig. 1: VITA classical A1–D4 shade guide with the pink additions to improve its contextuality and increase its efficiency in shade matching.
Fig. 2: VITA classical A1–D4 shade guide with the cervical and incisal portions trimmed.
Fig. 3: Two-layer personalised shade guide. This makes composite layering more predictable, but has limitations and some problems.
Personalised shade guides are easy to self-manufacture using the same materials as those used for the actual intra-oral restoration. These have been proposed as the ultimate solution, but have several problems. The first problem is not related to the shade guide itself but to the end user. Self-fabricating several samples is time-consuming for most users, especially if one considers the high number of sample combinations required for a functional sample set, explaining the success of standard shade guides such as the VITA shade guide, which require little to no handling before use. Making a perfect personalised shade guide (bubble-free, of adequate thickness and of uncontaminated composite) requires skill and experience, regardless of the personalised shade guide system used, to obtain perfect shade correspondence with the stock shade guide and to avoid discrepancies with the definitive restoration (Fig. 3). The personalised shade guide tends to be of different thickness compared with that of the actual restoration, changing the real shade and perceived shade greatly, and thus obtaining poor shade matching for both ceramic and composite restorations (Fig. 4). Furthermore, personalised shade guides lack context, since there is no gingiva or neighbouring teeth, changing the optical appearance.
Fig. 4: Thickness of the personalised shade guide compared with ideal thickness in an intra-oral restoration. The thickness is not matched optimally.
Why switch to digital colorimetry?
It is impossible to precisely transfer complete information about shade using words because the perception of even a very specific shade differs between people. Digital colorimetry has many advantages compared with the visual method:
clear and objective language;
context of neighbouring structures;
very high repeatability;
simplicity in obtaining measurements; and
ease of standardisation.
The L*a*b* colour space overcomes language barriers, enabling anyone to easily communicate shade and shade differences (Fig. 5). The L* axis runs from light to dark, 100 being white and 0 black. The a* axis runs from red to green, a positive value indicating red and a negative value green. The b* axis runs from yellow to blue, a positive value indicating yellow and a negative value blue.
Fig. 5: The L*a*b* colour space. L = light–dark, a- = green; a+ = red; b- = blue; b+ = yellow. L = light–dark and L* C* h* color space where L = light–dark, C = chroma, H = hue expressed in degrees.
Fig. 6: Graphic representation. (albeit highly inaccurate) for didactical purposes, of the colour mixture of the L*a *b* dimensions to obtain a dental shade (i.e. A3).
Fig. 7: Matching the reference shade against the sample shade.
Fig. 8: When graphically located in the full L*a*b* colour space, the dental colour space looks like a small irregular-shaped bean.
When graphically located in the full L*a*b* colour space, the human dental colour space looks like a small irregular-shaped bean (Figs. 6–8). This sub-space is extremely important for our profession. It is mainly located in the yellow–red and bright area and is very low on chromaticity, touching the neutral axis in almost all of its spectrum. This space is composed of very light beige pastel colours.
Rizzi et al. outlined the human dental colour sub-space.1They found that the best colour difference formula that behaves the most isotropically and uniformly along all axes of this sub-space was the formula ΔE94.1 For digital colorimetry, knowing the content and boundaries of the dental colour space precisely makes the design of the machinery, calculations of layering and ceramic mixing, calibration of the shade measuring devices and hardware specifications more specific.
OPTISHADE StyleItaliano
Fig. 9: The OPTISHADE StyleItaliano dental colorimeter provides accurate and precise shade measurements. The external camera attaches to Apple devices.
Nowadays, it is easy to determine dental shade in a few seconds with a very compact and portable device, OPTISHADE StyleItaliano (Smile Line), and in an incredibly easy way that is not dependent on the clinician’s skills. Learning how to use the device is easy and can be done by the dentist, the assistant or the technician, simplifying the work of every member of the team.
The OPTISHADE StyleItaliano colorimeter was launched in 2021 specifically for dental application. It works with Apple devices via an app and can be disinfected (Fig. 9). Its high precision (ΔE94: 0.2–0.4) and accuracy in shade measurement in the L*a*b* and L*C*h colour spaces allow for real-time cross-checking of data with several preloaded shade guides, such as the VITA classical A1–D4 shade guide and VITA Toothguide 3D-MASTER.
In an era in which communication is crucial, this device exploits the complete sharing capability of modern mobile devices. In a matter of seconds, it is possible to measure the shade of a tooth and communicate the shade measurement to others, all with the safety and stability of the Apple platforms.
Shade matching by replicating the same scenario
When we have an accurate and reliable method for shade matching, we should obtain the same numerical values when measuring the same subject. Our task consists of repeating the same scenario for every measurement; in other words, shade should be measured using a device that has minimal discrepancy in its measurements (intra-device precision) and minimal discrepancy compared with other devices of its kind (inter-device precision), with the same background and centring and positioning, with the teeth clean and hydrated, and with no external light contamination.
Fig. 10: Scene reproduction in practical application.
With these simple parameters, it is possible to reproduce the scene accurately and obtain a reliable shade measurement (Fig. 10). The user should be able to easily recreate the same scene. When measurements are taken from the same subject, the resulting values must fall under a 0.4 ΔE94 threshold. If measurements with higher values are obtained, it is necessary to analyse what may have gone wrong in the standardisation process, such as the tooth background, device positioning, tooth cleaning or tooth hydration level (Figs. 11a–f).
Fig. 11a: Same tooth, same surface (clean), same time frame, same positioning, same device, same background. Shade difference: 0.12. Reliable measurement.
Fig. 11b: Same tooth, same surface (clean), *different time frame, same positioning, same device, same background. Shade difference: 0.29. Reliable measurement. The asterisk indicates the parameter critical to the reliability of the measurement.
Fig. 11c: Same tooth, same surface (clean), *different time frame, same positioning, *different device, same background. Shade difference: 0.31. Reliable measurement. The asterisks indicate the parameters critical to the reliability of the measurement.
Fig. 11d: Same tooth, same surface (clean), same time frame, same positioning, same device, *different background. Shade difference: 1.89. Unreliable measurement. The asterisk indicates the parameter critical to the reliability of the measurement.
Fig. 11e: Same tooth, same surface (clean), same time frame, same positioning, same device, *different background. Shade difference: 0.89. Unreliable measurement. The asterisk indicates the parameter critical to the reliability of the measurement.
Fig. 11f: Same tooth, *different surface (not clean), same time frame, same positioning, same device, same background. Shade difference: 2.32. Unreliable measurement. The asterisk indicates the parameter critical to the reliability of the measurement.
Digital ceramic mixing and layering predictions
Among the applications for OPTISHADE are ceramic layering and mixing predictions, composite layering recipe calculations, bleaching tracking and material quality control, to mention just a few. To make the system more versatile, OPTISHADE is compatible with an integral ceramic mixing and layering system (Matisse) in such a way that the personalisation and shade matching of the aesthetic restorations and ceramic prosthetic work reach perfection.
One of the greatest challenges in dental shade is the integration of the single-unit anterior restoration. This has been demonstrated to be very reliable when done with precise mathematical computation, particularly with ceramic mixing and layering.
For the best outcome of ceramic mixing and layering software predictions, it is essential to use a high-precision shade matching device. OPTISHADE has been demonstrated to be the best for this application. Two perfect shade measurements must be provided (Fig. 12):
Desired shade: This is the target shade. It is calculated from the nearby healthy teeth or nearby attractive restorations.
Substrate shade: This the shade of the prepared tooth to which the restoration will be cemented. Since this may modify the final shade of the restoration, it must be considered.
Fig. 12: Ceramic layering predictions. (a) Desired shade. (b) Substrate. (c) Raw restoration. (d) Restoration integrated with the substrate.
Fig. 13: Obtaining a good shade match for the integrated restoration.
With all this information, it is possible to calculate several layers of a restoration that, together with the stump, will generate a final shade. The raw restoration, that is, before integration and in-context try-in, has a different appearance from the desired shade. It is out of context and thus without the influence of the substrate. With the raw restoration, it is possible to modify the unfavourable substrate to be very similar or equal to the desired shade. The shade of the raw restoration is calculated mathematically, in order to obtain the right layers and opacities to balance the chromatic change that will occur when the restoration and substrate are integrated. The integrated restoration, that is, the restoration seated on the substrate in the mouth, whether permanently cemented or attached with a try-in agent, must have the desired shade as a final result or at least be very close to it (Fig. 13).
Single anterior crown: A clinical case
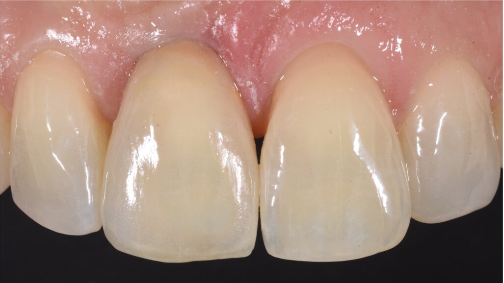
Probably the application where digital shade determination stands out and is the most useful is in the creation of single aesthetic crowns in the anterior region. In this clinical case, the crown on implant #11 had failed mechanically and aesthetically (Fig. 14a). The ideal situation for such a case is to restore it in a single try, without the technician ever seeing the patient and of course avoiding any kind of repetition. This can be achieved by providing the OPTISHADE measurements of the desired shade and the stump shade (Fig. 14b).
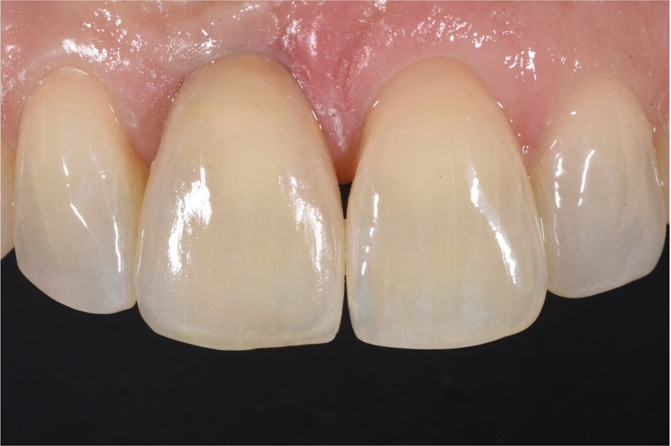
Fig. 14a: Failed anterior crown.
Fig. 14b: The anterior crown restored.
Fig. 15: Desired shade (neighbouring tooth).
Fig. 16: Measurement of the shade of the maxillary lateral incisor.
Fig. 17: Taking the shade of the prepared tooth into account.
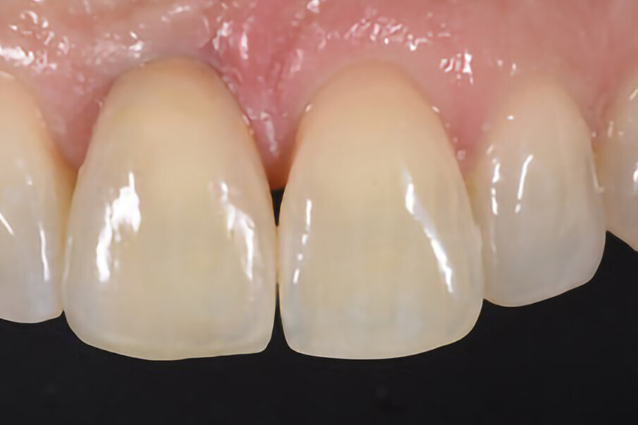
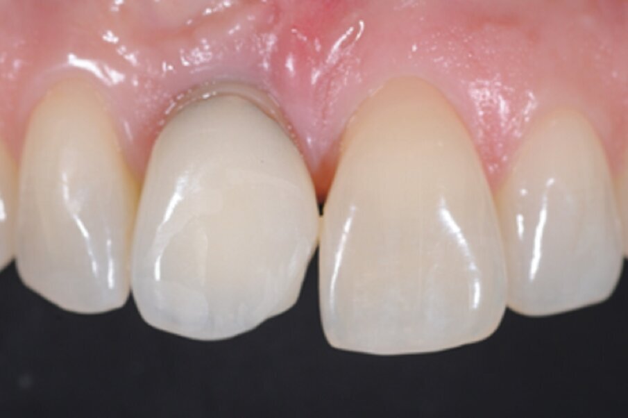
The desired shade in this case was found in the neighbouring tooth. It is important to have the measurement done with the temporary restoration seated and the tooth perfectly hydrated (Fig. 15). The shade of the maxillary lateral incisor was also measured (Fig. 16). The teeth in the same arch might look similar or even identical, but they are generally of different shades. The shade of the stump has to be taken into consideration, using an individual measurement that is included in the calculations for the restoration (Fig. 17).
Fig. 18: Shade selection of the different regions in Matisse. In red, the three regions of the desired shade (dentinal shade). In blue, the three regions of the preparation shade.
The OPTISHADE shade measurements are uploaded to Matisse, and these, along with the type of restoration, are crucial for planning a perfect raw restoration (Fig. 18). Thereafter, the ceramic is mixed according to a perfect personalised recipe provided by Matisse (Table 1). The definitive crown showed very good integration (Fig. 19). This was achieved in only one attempt.
Table 1: Ceramic mixing strategy for a perfect personalised recipe. The numbers in blue indicate the units for mixing, where a unit is the minimal amount of ceramic to be mixed. Units can be large or small as long as all the units are the same. Use of a quality ceramic portioner is recommended.
Digital shade determination removes the subjectivity of the eye. As long as the measurement is correctly taken, the colorimeter cannot be fooled like the human eye can. Communication using numbers is the most precise way to define a shade. With precise data, we can calculate ceramic mixing, layering and much more. The new technologies mentioned in this article, besides being precise, are now more user-friendly, allow easy sharing and saving of data, are more universal and do not require any hardware updates.
Style Italiano is an international community of passionate clinicians and researchers specialised in aesthetic and restorative dentistry. It was founded in ...
Education
Live webinar Sun. 3 May 2026 8:00 pm EST (New York)
MADRID, Spain: Periodontal disease in children and adolescents can be difficult to diagnose and manage due to inconsistent definitions and the limitations ...
On 3 and 4 October, dental professionals from around the world will gather in Tokyo in Japan for the sixth GC International Dental Symposium. Organised as ...
RIYADH, Saudi Arabia: Koelnmesse and dmg events have announced the launch of the annual International Dentistry Exhibition and Meeting in Saudi Arabia (IDEM...
To post a reply please login or register