Search Dental Tribune

Treatment of internal root resorption varies from root canal therapy to surgical intervention. (Image: Anna Jurkovska/Shutterstock; clinical images: Bartłomiej Karaś)

Wed. 24. July 2024

save

Internal root resorption (IRR) is the loss of dental hard tissue due to odontoclastic activity. In most cases, it is asymptomatic, and the aetiology is unclear. IRR is often an incidental finding on radiographs of adjacent teeth or during regular check-up appointments. A CBCT scan is highly recommended for the diagnosis and treatment planning.

There are two types of IRR: inflammatory and replacement. The first usually has a round and regular shape, and the second type may be misdiagnosed as external cervical resorption owing to the similar shape. The most important part of treatment is the elimination of the vital apical pulp tissue sustaining the IRR. If the IRR has not perforated the root wall, only root canal treatment should be performed; however, the presence of root wall perforations in some cases may also require a surgical approach.

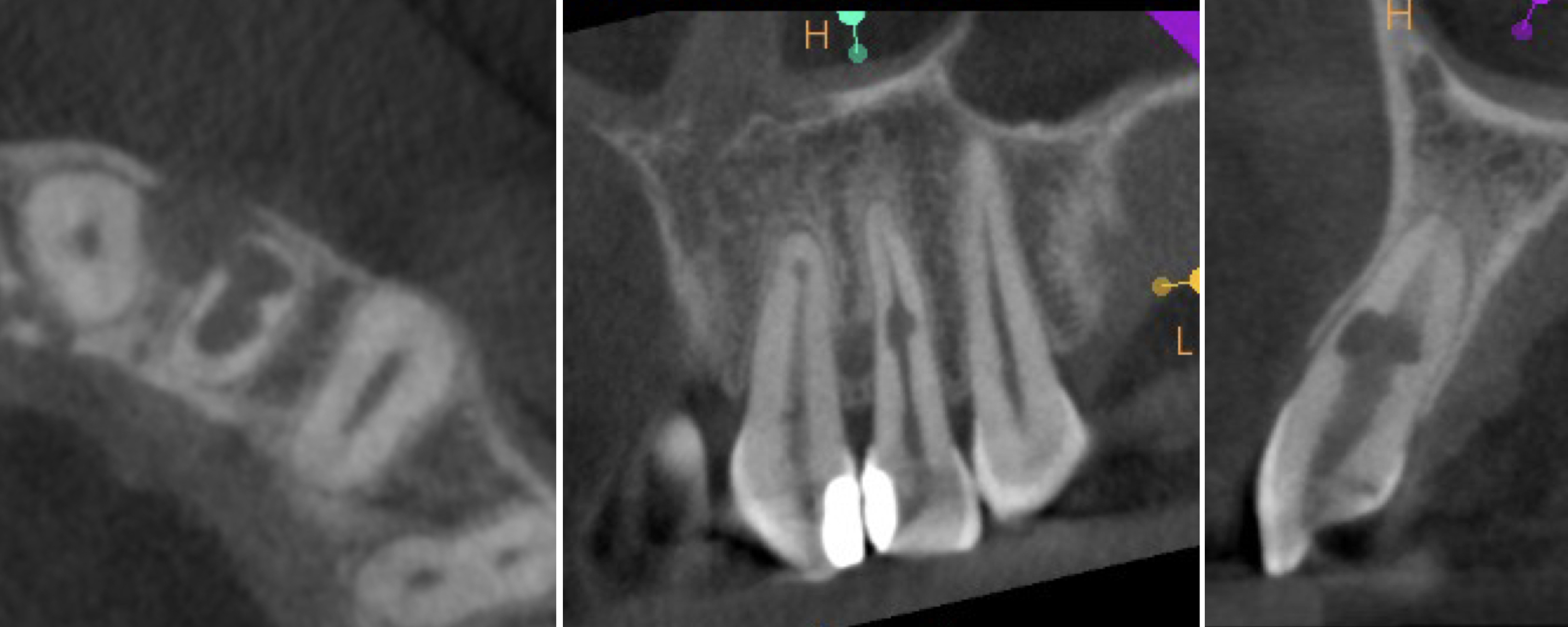
Case 1—Figs. 1a–c: CBCT scan taken before the treatment. Axial plane showing the root wall perforation (a). Coronal plane showing the lesion (b). Sagittal plane showing the perforation of the cortical bone (c).

Case 1—Figs. 1a–c: CBCT scan taken before the treatment. Axial plane showing the root wall perforation (a). Coronal plane showing the lesion (b). Sagittal plane showing the perforation of the cortical bone (c).

Case 1

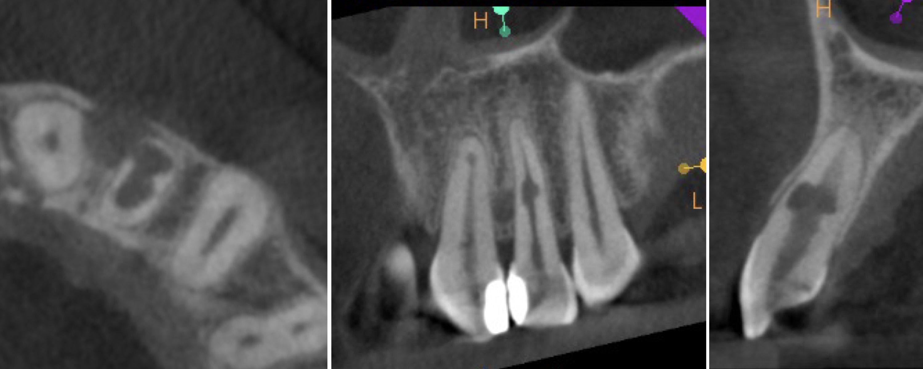
A 40-year-old female patient was referred to the endodontic office because of an incidental finding of IRR in the maxillary left lateral incisor on a panoramic radiograph. A CBCT scan was taken to assess the extent of the resorption, devise a treatment plan and determine the prognosis (Figs. 1a–c). The resorption cavity was located in the middle of the root and had perforated the mesial wall of the root. The rather round and regular shape of the resorption indicated the inflammatory type. The osteolytic focus suggested a lesion was present next to the perforation area (Fig. 2). Owing to the size of the wall perforation and the presence of the lesion, the treatment plan involved a single-session root canal treatment as well as a surgical approach.

After performing local anaesthesia, the access cavity was created. The pulp chamber was reshaped with an ultrasonic diamond-coated tip. The pulp chamber was cleaned with sodium hypochlorite, and the pulp tissue was partially removed from the root canal. An incision was made from the frenulum, through the gingival sulcus from the maxillary first incisor to the maxillary canine. After raising a flap, the granulation tissue was removed from the resorption cavity with a small excavator.

The root canal shaping protocol was performed with conventional chemomechanical preparation. The shaping sequence was guided by initial negotiation using passive hand files, followed by preparation with rotary files and irrigation using sodium hypochlorite, activated with manual needle agitation. After the root canal shaping procedure, the following irrigation protocol was performed: 3 minutes of alternating irrigation and ultrasonic agitation of 5.25% sodium hypochlorite, smear layer removal with double alternating irrigation with EDTA 17% and sodium hypochlorite, and 5 minutes of alternating irrigation and ultrasonic agitation of sodium hypochlorite. During all the instrumentation and irrigation procedures, the suction was placed next to the resorption cavity to avoid irritation of the bone and surrounding tissue.

The obturation of choice was warm vertical compaction of gutta-percha and sealing with the bioceramic sealer CeraSeal (Meta-Biomed; Fig. 3). The resorption cavity was filled with Biodentine (Septodont; Figs. 4a & b), and the coronal part of the root canal was filled with warm gutta-percha. The flap was repositioned and sutured, and the tooth was restored with composite resin.

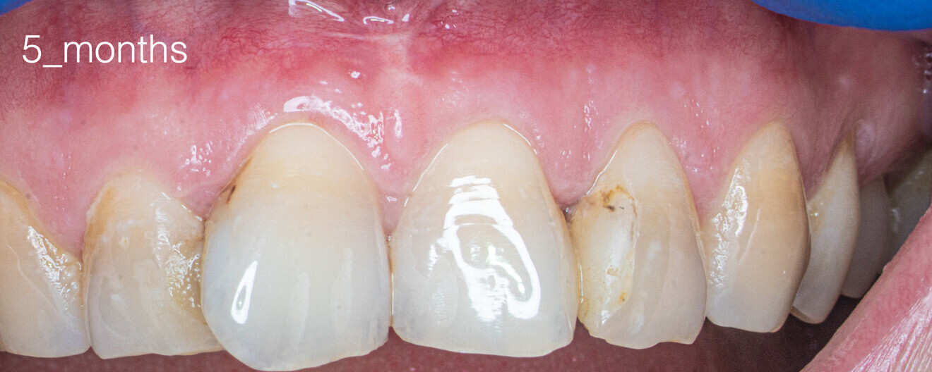
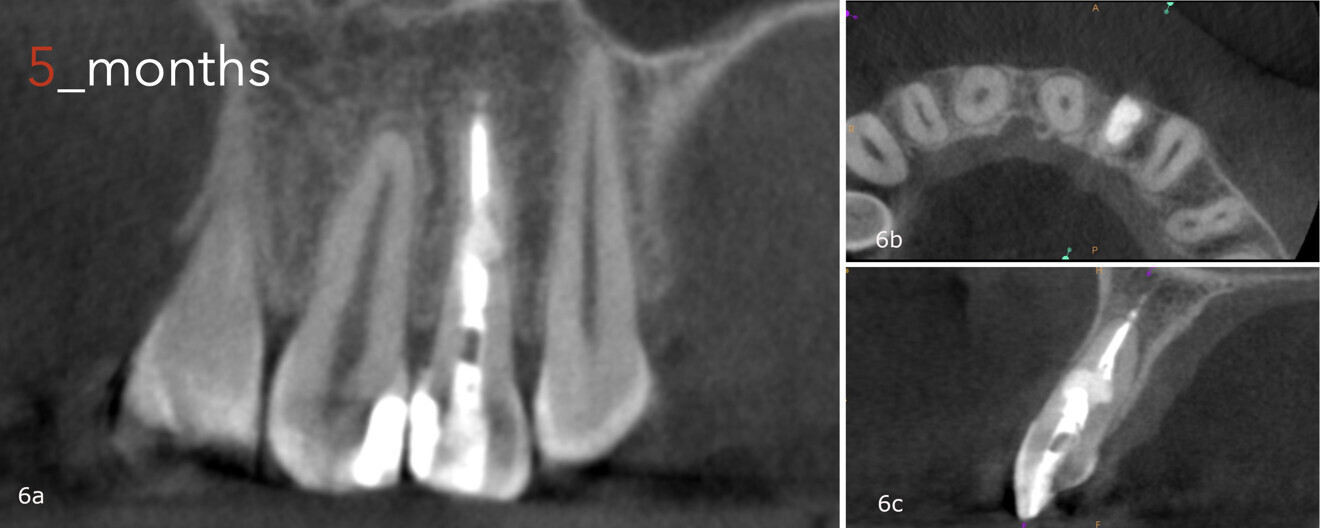
Recall appointments were performed after five and six months (Fig. 5). The bone healing was complete after five months (Figs. 6a-c), and after 30 months, there were no signs of the bone defect, fracture or any other abnormalities (Figs. 7a & b).

Fig. 2: Clinical situation before the treatment.

Fig. 2: Clinical situation before the treatment.

Fig. 3: Root canal obturation. Gutta-percha cone and sealer are visible.

Fig. 3: Root canal obturation. Gutta-percha cone and sealer are visible.

Figs. 4a & b: Biodentine filling the resorption cavity. Clinical (a) and radiographic view (b).

Figs. 4a & b: Biodentine filling the resorption cavity. Clinical (a) and radiographic view (b).

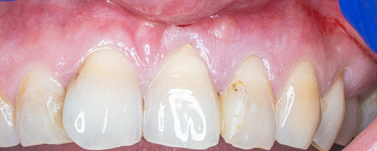
Fig. 5: Clinical situation after five months. No visible signs of inflammation.

Fig. 5: Clinical situation after five months. No visible signs of inflammation.

Figs. 6a–c: CBCT scan taken five months after the treatment, showing the healed lesion.

Figs. 6a–c: CBCT scan taken five months after the treatment, showing the healed lesion.

Figs. 7a & b: CBCT scan taken 30 months after the treatment, showing the healed lesion.

Figs. 7a & b: CBCT scan taken 30 months after the treatment, showing the healed lesion.

Case 2

A 28-year-old patient was referred to the endodontic office after diagnosis of inflammatory IRR in the maxillary right central incisor on a periapical radiograph. A CBCT scan was taken to determine the prognosis and to plan the treatment (Figs. 8a-e). The 3D image revealed perforation of the labial wall of the root and destruction of the bundle bone surrounding the resorption cavity.

Fig. 8c: Radiograph (a) and CBCT scan (b–e) taken before the treatment, showing the root perforation and perforation of the cortical bone.

Fig. 8c: Radiograph (a) and CBCT scan (b–e) taken before the treatment, showing the root perforation and perforation of the cortical bone.

Figs. 9a & b: Clinical situation before the procedure (a) and after raising of the flap and perforation of the cortical bone (b).

Figs. 9a & b: Clinical situation before the procedure (a) and after raising of the flap and perforation of the cortical bone (b).

Figs. 10a–d: Removal of the granulation tissue step by step.

Figs. 10a–d: Removal of the granulation tissue step by step.

Figs. 11a & b: Irrigation of the root canal.

Figs. 11a & b: Irrigation of the root canal.

Figs. 12a & b: Obturation of the root canal.

Figs. 12a & b: Obturation of the root canal.

Figs. 13a–c: Application of the biomaterial in the resorption cavity and placement of collagen sponge on top.

Figs. 13a–c: Application of the biomaterial in the resorption cavity and placement of collagen sponge on top.

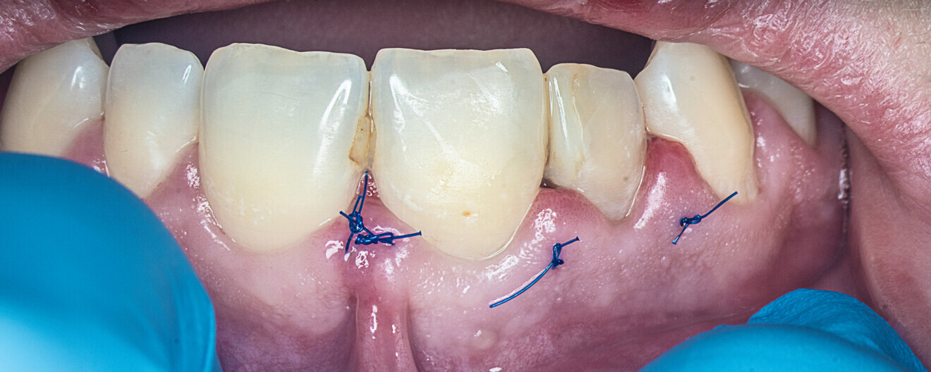
Figs. 14a & b: Radiograph taken after obturation (a). Clinical situation after suturing (b).

Figs. 14a & b: Radiograph taken after obturation (a). Clinical situation after suturing (b).

Fig. 15: Clinical situation after 14 days.

Fig. 15: Clinical situation after 14 days.

An incision was made from the maxillary left central incisor through the gingival sulcus to the right maxillary canine. After raising a flap, the granulation tissue was removed from the resorption cavity with a small excavator (Figs. 9–11). The root canal shaping protocol was performed with conventional chemomechanical preparation. The shaping sequence began with negotiation with passive hand files, followed by preparation with rotary files and irrigation using sodium hypochlorite with manual needle agitation. The irrigation protocol was performed as described in Case 1.

The obturation of choice was warm vertical compaction of gutta-percha and sealing with the AH Plus sealer (Dentsply Sirona). The resorption cavity was filled with a fast-setting mineral trioxide aggregate (Harvard Dental), the coronal part of the root canal was filled with warm gutta-percha and collagen sponge was placed (Figs. 12a & b; Figs. 13a & b). The flap was repositioned and sutured, and the tooth was restored with the GRADIA composite resin (GC; Figs. 14a & b, Fig. 15).

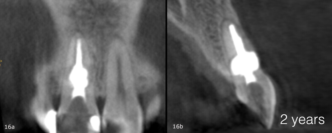
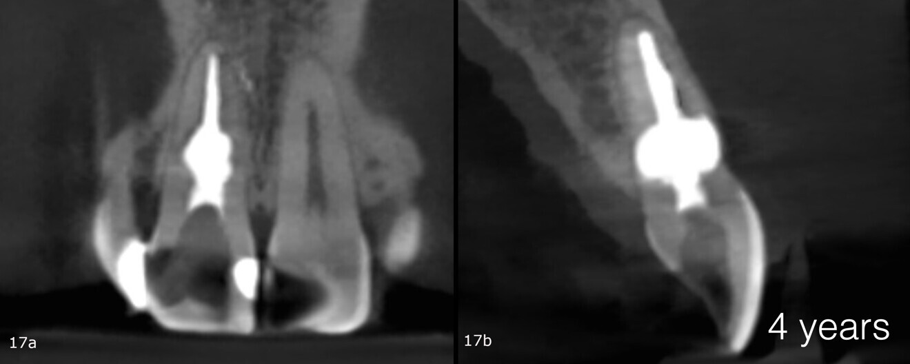
Recall appointments was performed after two (Figs. 16a & b) and four years (Figs. 17a & b). The radiographic examination showed the presence of bundle bone. The periodontal status was stable, and the tooth remained asymptomatic.

Figs. 16a & b: CBCT scan taken two years after the treatment.

Figs. 16a & b: CBCT scan taken two years after the treatment.

Figs. 17a & b: CBCT scan taken four years after the treatment.

Figs. 17a & b: CBCT scan taken four years after the treatment.

Discussion

Although the aetiology of IRR remains unclear, studies agree that removing the vital pulp from the apical area is crucial to halting the resorption. Studies also concur that once the internal resorption has been stopped, there is little likelihood that the process will revive. Thus, one of the most important prognostic factors is the restorability of the tooth. In the cases presented, the biomechanic integrity of the teeth was compromised, but the patients’ age and determination were the most important factors for treatment planning.

The two types of IRR, inflammatory and replacement, have slightly different mechanisms of progression, but both involve the activity of osteoclasts. However, from the clinical point of view, the distinction between the two types is not critical.

In order to diagnose IRR, it is recommended to take a CBCT scan. 3D diagnostics is crucial for creating the treatment plan. The shape of the area of resorption and perforation of the root wall are the most important factors for determining the treatment planning approach (Table 1). The cases presented have demonstrated that a combined endodontic and surgical approach is the most suitable option for cases of IRR that has perforated the root wall and is associated with a lesion or destruction of the surrounding bone.

Editorial note:

This article was published in roots—international magazine of endodontics vol. 20issue 1/2024.

Topics:
Tags:
To post a reply please login or register
advertisement
advertisement