Through the use of laser-assisted irrigation, endodontists can more accurately and effectively clean infected teeth, which helps improve the success of root canal therapy. (Image: Unai Huizi Photography/Shutterstock)
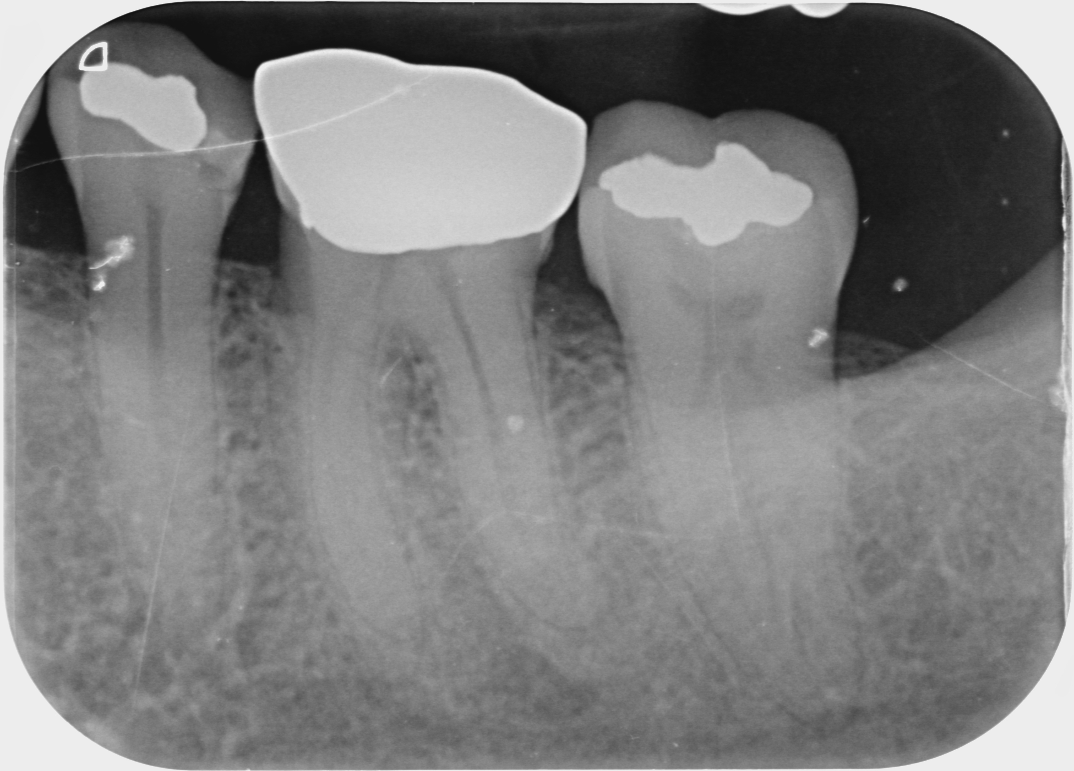
A 72-year-old patient presented to our clinic for whom crown treatment of tooth #37 was planned owing to the patient complaining of recent pain on biting without lingering symptoms. However, the procedure was delayed owing to COVID-19 lockdown orders, and when the patient returned for treatment, he reported that symptoms had escalated to constant aching during the day and night, subsiding after a week. On examination, tooth #37 was tender to percussion and not responsive to cold testing and showed an associated periapical radiolucency on the radiograph (Fig. 1).
Fig. 1. (All images: Dr Brenda Loh)
The patient’s heavy bruxing habits had led to the formation of fractures in the enamel and dentine. Further propagation of the fractures had led to pulpal irritation and bacterial ingress, which caused irreversible pulpitis and ultimately pulp death. The diagnosis was pulp necrosis and symptomatic periapical periodontitis.
Treatment plan
Immediately after diagnosis, an access cavity was created within tooth #37 in order to extirpate the pulp and gain clarity as to whether the fractures had extended beyond the crown of the tooth and thereby made the tooth non-viable. Examination of the pulp chamber after access revealed that there were no fractures extending to the root. Given the patient’s age and history of bruxism, it was expected that the root canals could be narrowed or blocked by both secondary and tertiary dentine. Three canal orifices were located, but only two canals could be negotiated with endodontic files. The pulp chamber and accessible canals were irrigated with sodium hypochlorite (NaClO) to extirpate the pulp and medicated with calcium hydroxide paste, and a temporary filling was immediately placed. Laser-assisted irrigation was not used at this time, as it was an unexpected deviation from the planned procedure (which was initially for crown preparation). After in-depth discussion with the patient about the treatment options to follow, it was decided that he would return the following week for root canal therapy and a crown for final restoration.
Table 1: Laser parameters.
Laser treatment protocol
Laser-assisted irrigation with Er:YAG using SWEEPS (shock wave-enhanced emission photoacoustic streaming) mode, integrated in the LightWalker AT S laser system (Fotona), was selected owing to its ability to produce photoacoustic effects, that is, causing shock waves to stream the irrigant to the full extent of all canals, along with any accessory canals, and allowing for the chemical action of the chemicals to clean the debris, dissolving the blockages in the canals and the smear layer (with 17% EDTA) and pulp remnants and biofilm (with 4% NaClO). The AutoSWEEPS dual-pulse mode was chosen for the first phase, as it gives a range of a 200–650 µs delay between one pulse and the next, producing much turbulence of the EDTA within the canals and enabling it to dissolve the dentinal blockage. This dual-pulse mode is superior to using single-pulse modes (e.g. USP [ultra-short pulse] or SSP [super-short pulse]) because it is shown to produce greater pressure on the root canal walls, thereby allowing for better penetration of the irrigant throughout the root canal system. This step was used for multiple cycles in order to achieve access to the apical part of the canals; that is, until the endodontic file was able to reach the apex. Once apical length had been reached, rotary nickel–titanium files (17/0.04, 20/0.06 and 25/0.06 DCTaper files, SS White Dental) were used to shape the canals to a 21 mm length.
The final irrigation step was two cycles of irrigation with 3 ml of 17% EDTA using AutoSWEEPS performed for 30 seconds. A resting time of 30 seconds was allowed after each irrigation cycle so that the chemical could work within the tooth. Ozonated water (4 ppm) was used with AutoSWEEPS for 30 seconds to neutralise the EDTA so that it would not interact with the NaClO to follow, again with a 30-second resting time. USP mode was used with three cycles of 4% NaClO, pushing the NaClO to the apex and accessory canals where disinfection could occur in the spaces where the preceding EDTA had already opened up the spaces. Note that 4% NaClO is the highest available concentration in Australia, so this was chosen over lower concentrations for its greatest efficacy in chemical disinfection (Table 1).
Fig. 2.
Fig. 3.
Observations during the treatment
The patient was comfortable during the procedure, as he had received local anaesthesia. After removal of the temporary filling and re-entering of the canal, irrigation with 17% EDTA for 30 seconds using AutoSWEEPS caused a great deal of the calcium hydroxide medicament to exit the canal along with the irrigant. The dental assistant controlled the syringe of the irrigant, first filling the pulp chamber with the irrigant and then providing continuous flow. The dentist placed the optical fibre tip into the pool of liquid, submerging the tip to approximately 4 mm and taking care not to insert it directly into any canals. Excess or overflow of irrigant was evacuated with the suction positioned nearby but not so close that the irrigant would be removed from the chamber directly. The tip was not deliberately angled in any specific direction, although some light movement within the pool of irrigant was made to allow visualisation of the liquid overflowing.
During a 30-second resting phase, the irrigant within the pulp chamber appeared to become cloudy. Number 10 files were placed in all the three canals until resistance was met, and all were restricted from passing 18 mm. A working length radiograph was taken (Fig. 2), and it showed that the files in the mesial canals had reached a point of constriction or obstruction which would not allow further access towards the apex. After a further five cycles of laser-assisted irrigation with 17% EDTA with a 30-second resting time and recapitulation with #10 and 15 files, the instruments were able to reach the apex at 22 mm in the distal canal and 21 mm in the mesiobuccal and mesiolingual canals (Fig. 3). This showed that the irrigant had successfully penetrated the canal system and dissolved the blockage that had prevented initial access to the apical segment. After the canals had been prepared with rotary files, the final irrigation protocol was done, initially allowing more cloudy liquid to float to the surface. At the completion of laser-assisted irrigation, the canals were dried with paper points, and no bleeding was observed.
Fig. 4.
Fig. 5.
Fig. 6.
Observations after treatment
The immediate postoperative radiograph showed that the ceramic sealer cement had been able to penetrate and fill the lateral canals at the apex (Fig. 4), which was a good indication that cleaning had extended to the intricate canal extensions at the apical section of the tooth. Additionally, as the amount of initial periapical bone loss was minimal, no fractures were detected beyond the crown of the tooth, and cuspal protection with a crown was arranged for the same day. It was expected that the tooth would resolve without any adverse symptoms and remain comfortable for the long term. The patient reported no pain or swelling after the completion of endodontic treatment in the two days after the procedure. He returned again for routine dental care two months later (Fig. 5) and reported no symptoms since the completion of endodontic treatment. While the adjacent tooth subsequently required endodontic treatment the following year, tooth #37 continued to be comfortable for the patient, and there had been no recurrence of symptoms at the one-year follow-up (Fig. 6).
Conclusion
Er:YAG laser-assisted root canal irrigation, especially using SWEEPS mode, has proved to be a successful technique, allowing for the chemical action of the irrigant solutions (EDTA and NaClO) to clean the debris, dissolving the blockages in the canals and the smear layer, as well as to remove pulp remnants and biofilm, throughout the full extent of the root canal system.
Laser is becoming essential for every modern dental practice. Moreover, from an educational standpoint, there are many benefits in terms of the personal and...
Lasers were introduced to dentistry in 1965 by Leon Goldman. The first application was a failure because of excessive thermal damage. We can only wonder ...
Education
Live webinar Wed. 29 April 2026 7:00 pm EST (New York)
To post a reply please login or register