Search Dental Tribune

In the realm of paediatric orthodontic treatment, the integration of aligners alongside myofunctional devices has emerged as a compelling approach. (Image: zlikovec/Shutterstock; All clinical images: Simona Bussu)

Fri. 26. April 2024

save

In recent years, orthodontists have been treating patients of increasingly younger age.1 This is due to increased attention by paediatricians, greater awareness by parents and requests for assistance from speech therapists. We routinely find ourselves performing orthodontic examinations of children as young as 3.

Our collaboration with speech therapists is yet to be well defined, but great efforts are being made in this regard.2 Often, we receive requests for expansion of the palate because it is not wide enough to accommodate the tongue, bite closure is impeded because of incorrect lingual posture and swallowing is difficult. Especially jaw alignment, closure of excessive overjet (often due to poor oral habits) and intervention for reverse overjet are required. 3

Recently, sleep medicine has made orthodontists more aware of the importance of having an adequate lingual frenulum, both because a short frenulum is now considered a risk factor for the onset of obstructive sleep apnoea and because this is closely correlated with contraction of the maxillary inter-canine diameter.4 Dysfunctional swallowing and all forms of orofacial muscle dysfunction are now considered causative factors of malocclusion at an early age.5 At the same time, malocclusion, that is, the reduction of upper diameters, inversion of the posterior or anterior bite, open bite or closed bite, is considered to be the cause of inadequate mandibular and lingual movements that often result in phonological disorders,6, 7 which at early age are not self-resolving. Indeed late-talkers remain stigmatised well into adulthood. 8, 9

All this has led a group of us at the Consorzio Universitario Humanitas, a consortium of educational institutions, to try to define a diagnostic protocol to be shared by speech therapists and orthodontists10 and a decision making scale11 for early orthodontic and logopaedic intervention. These two tools are now being studied and endorsed as part of European paediatric deglutology projects.

Orthodontic diagnosis and treatment thus have to involve new dynamic and functional considerations as well as address the arising therapeutic challenges using the most effective and tolerable instruments from an early age. The challenge is to identify devices that not only correct form but also enable function. The use of paediatric aligners is now a reality that has attracted great attention from clinicians in recent years.12–17 In this article, we would like to illustrate a case report describing the potential of an innovative treatment which combines aligners, Nuvola Junior (Nuvola World), with the simultaneous use of a myofunctional device, Intercept (Nuvola World).11

Materials and methods

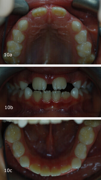
The 8-year-old male patient presented with a diastema between teeth #11 and 21 and non-eruption of teeth #12 and 22 (Fig. 1). The patient underwent a thorough orthodontic examination, including intra-oral photographs, extra-oral photographs, cephalometric radiography of the skull with cephalometric tracing, dental panoramic tomograms, impressions by intra-oral scanning, and functional and phonetic tests. Intra-oral examination (Fig. 2) and pattern analysis showed a Class I molar and canine relationship and contraction of the maxillary arch, displaced pre-contact between teeth #63 and 73, a 3.7 mm diastema between teeth #11 and 21, a mandibular midline deviation to the left, a maxillary midline to the right, and an open bite (−1.5 mm).

During the examination, the Payne test for fluorescein analysis of the lingual support on the palate was not performed because the large spacing between teeth would have affected it. However, the lingual frenulum18 was evaluated by calculating the tongue range of motion ratio for the tip of the tongue19 and with the tongue held in suction against the palate,20 obtaining a Grade 1 for both indices and thus excluding that the low tongue position was caused by a short frenulum. This evaluation is essential in all orthodontic patients, particularly paediatric patients.

Functional analysis showed oronasal breathing, a low tongue posture according to Artese et al. with anterior thrust,21 and consistently leftward-deviating mandibular movements, even in phonetic tests. In these tests, anterior lisp and gliding were present, in addition to lateralisation to the left for articulation.

The dental panoramic tomograms showed early mixed dentition and Nolla indices of permanent canines and premolars of between 6 and 7 (Fig. 3).22 This was an optimal indication for aligners because excellent stability of the posterior sectors was guaranteed, which we believe is essential for achieving effective dentoalveolar movements even in the case of arch expansion and good support to align the anterior sectors of the arches.

In my clinical practice, I prevent patients from rolling and rotating their heads using a cephalostat while allowing pitching: only after they have positioned themselves comfortably, do I place the post on the nasion, without exerting pressure. In this way, the patient will assume his or her habitual posture, and this too will be investigated by us. The cephalometric radiograph showed very important dysfunctional aspects (Fig. 4). Antero-rotation of the head and cervical hyper-lordosis were evident. Tracing of the tongue23 showed a very low position of the anterior part, as was found clinically. Cephalometric analysis was performed using the OrisCeph Rx1 CE program (Version 7.70; Elite Computer Italia). The patient showed a Class I skeletal pattern with antero-rotation of the maxillary plane, proclination of the mandibular incisors and increased anterior lower face height.

Fig. 5: Nuvola Pro maxillary aligner. Lingual pins indicated by the arrows.

Fig. 5: Nuvola Pro maxillary aligner. Lingual pins indicated by the arrows.

Fig. 6: Patient raising the tongue to touch the lingual stimuli (the eruption guides for teeth #12 and 22 can be observed, coloured as the patient wished).

Fig. 6: Patient raising the tongue to touch the lingual stimuli (the eruption guides for teeth #12 and 22 can be observed, coloured as the patient wished).

Fig. 7: Nuvola Intercept device.

Fig. 7: Nuvola Intercept device.

Thus, the therapeutic goals were both dental (alignment of the arches with closure of the inter-incisal diastema, eruption of teeth #12 and 22, maxillary expansion to eliminate pre-contraction and allow mandibular midline recentring), skeletal (improvement of the maxillary plane orientation and of the bimaxillary protrusion) and functional (correction of the lingual posture).

We decided to treat the patient with Nuvola Junior. Movement was to be achieved with 20 pairs of aligners initially, leaving eruption guides for teeth #12 and 22. The maxillary aligners used in the treatment have lingual pins (patented for the Nuvola OP system protocol) (Fig. 5) that prompt raising of the tongue tip towards the incisive papilla (Fig. 6). After the planned 20 pairs of aligners, eight finishing pairs were made especially to align teeth #12 and 22. The aligners were worn all night and for 2 hours during the day and changed every 14 days.

For 30 minutes per day, the patient was required to wear the Intercept myofunctional device24–27 along with the aligners. In addition to the features common to the most popular trainers (lingual ramp, vestibular shields and occlusal support plane), the device has innovative horizontal proprioception lines (Fig. 7), two on the lower flange and two on the upper. This device is used to train the patient on correct lip posture; normally, altered lingual posture also corresponds to altered lip posture and strength.

Results

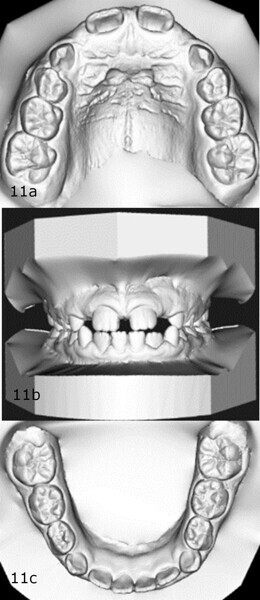
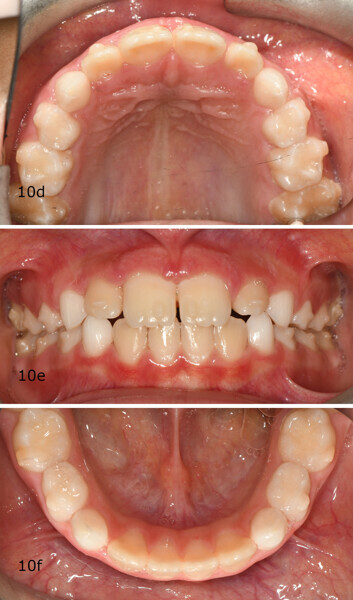
After 18 months of therapy, a case reassessment was carried out to verify that the goals had all been achieved (Fig. 8). Comparison of extra-oral photographs at the start of treatment (T0) and end of treatment (T1; Fig. 9) showed that excellent balance of the patient’s face had been achieved with a regular, symmetrical smile. Comparison of the intra-oral photographs (Fig. 10) and models (Fig. 11) also showed wider and more harmonious arch forms, closure of the anterior diastema, closure of the open bite and recentring of the mandibular midline. Excellent gingival trophism had also appeared.

Analysis of the models in Autodesk Netfabb software (Fig. 12) showed regularisation of the arches and an increase in the maxillary inter-canine diameter of 2.61 mm and in the maxillary intermolar diameter of 2.29 mm. The superimposition of the arches at T0 and T1 (Fig. 13), performed using OnyxCeph3 (Image Instruments), was very significant and showed the shift from the initial arch shape and size to a wider shape posteriorly but with significant control of the maxillary incisor area.

Fig. 13: OnyxCeph3 superimposition. Blue = initial arch shape and size.

Fig. 13: OnyxCeph3 superimposition. Blue = initial arch shape and size.

In the control cephalometric radiograph, the lingual position had completely regularised, the body and tip being in contact with the hard palate, creating an average overbite (Fig. 14). The cervical hyper-lordosis was moving towards correction and the skull posture was less forward.

Functional cephalometric analysis showed clear improvements too (Fig. 15; Table 1). The maxillary plane, which indicates the orientation of the maxilla, had undergone regularisation in both the angle with the skull base (SN line; going from a value of 7.7° at T0 to one of 11.2° at T1) and the angle with the Frankfort plane (going from a value of −2.9° at T0 to one of 0° at T1). The inter-incisal angle had increased, indicating an improvement in the inter-incisal ratios. The excessively divergent angle between the maxillary plane and the mandibular plane had decreased, and the facial divergence regarding both the mandibular angle and the face height index showed remarkable normalisation. Of note, was the reduction in proclination of the mandibular incisors, which went from a mandibular incisor to mandibular plane angle of 96.8° to one of 92.1°.

In agreement with Yoon et al.,4 in the radiographs at T0 and T1, we also calculated the length of the soft palate because its increase in size, as far as we know, is considered a risk factor for the development of obstructive sleep apnoea, and its reduction is part of the therapeutic goals of myofunctional therapy for the treatment of obstructive sleep apnoea.28, 29 The P–PNS value had decreased from T0 (30.0 mm) to T1 (29.4 mm). Also in agreement with Yoon et al.,4 we also calculated the length of the perpendicular from the hyoid bone to the mandibular plane. An increase indicates a low tongue posture. This line had fallen from T0 (16.3 mm) to T1 (11.9 mm), giving further confirmation of improved lingual posture.

Table 1: Functional cephalometric analysis.

Table 1: Functional cephalometric analysis.

Discussion

After treatment, all objective assessment and instrumental values had moved towards improvement and correction. The orthodontic forces exerted by the aligners had succeeded in recontouring the arches, closing the diastema and creating expansion where necessary. The lingual pins and the Intercept device worked on the posture of the lips and tongue, helping the dental and skeletal movements.30

Comparison of the cephalometric radiographs, with evidence of the new lingual posture (Fig. 16), indicated a balance between the orofacial forces30 that allowed a new growth pattern that was less vertical than the previous one. Long-term follow-up of the patient will tell us whether this pattern will be maintained.

Conclusion

Nuvola Junior appears to be a valuable tool for orthodontic treatment at an early age. Young patients use their devices for a few hours during the day, are not bothered by palatal or vestibular encumbrances, and can safely perform adequate oral hygiene. Systematic and longterm studies are necessary to confirm that this innovative tool is able to combine restoration of form with restoration of function. Indeed, in order to maintain orthodontic results, it would be necessary for the three basic functions of the stomatognathic system, namely swallowing, breathing and mastication,31 to be corrected to prevent displacement forces from rendering the positive outcome of the treatment unstable.

Editorial note:

This article was published in aligners—international magazine of aligner orthodontics vol. 2, issue 2/2023. The complete list of references can be found here.

Topics:
Tags:
To post a reply please login or register
advertisement
advertisement