Search Dental Tribune

According to Dr Jack Milgate, the integration of aligner therapy into pre-restorative treatment planning represents a shift towards a more comprehensive approach to aesthetic dentistry. (Image: Krakenimages.com/AdobeStock; clinical images: Dr Jack Milgate)

Tue. 11. November 2025

save

Orthodontic treatment remains the gold standard intervention to improve alignment and functional dynamics without significant biological sacrifice or restorative burden. While conventional fixed appliances have long been the primary means of addressing malocclusion and achieving optimal tooth alignment, the advent of aligners—such as Invisalign—has significantly expanded the scope of orthodontic treatment. This advancement has particularly resonated with patients who in the past would have rejected conventional orthodontic treatment owing to concerns about appearance.

 

Aligners allow a broader segment of the population to benefit from orthodontic treatment, especially those seeking to improve the aesthetic alignment of their teeth. This shift is mirrored in the increasing popularity of cosmetic dentistry, which often combines direct and indirect restorative procedures to improve the colour, shape and size of teeth.

The intersection of orthodontics and cosmetic dentistry

While orthodontic treatment excels at tooth alignment, it does not directly address changes to the size, shape or colour of the teeth. In contrast, restorative dentistry—whether direct or indirect—focuses on enhancing these aspects, but often requires the removal of healthy tooth structure. This trade-off may not always be in the patient’s best interests, particularly when underlying orthodontic concerns are ignored.

Orthodontic treatment typically faces challenges such as time and cost, which can deter some patients. However, these limitations must be balanced against the drawbacks of subtractive restorative procedures that can compromise the longevity of the restoration and the biological health of the tooth.

Clinically, we know that increasing the volume of restorative materials can improve strength, longevity and aesthetic outcomes. However, this often requires significant biological sacrifice of both hard and soft tissue to create the restorative volumes required. Conversely, the more natural tooth structure a patient retains, the better the long-term prognosis of the individual tooth and its restoration. This is especially relevant in modern bonded ceramics, where maintaining as much enamel as possible allows for better adhesion, which in turn prolongs the lifespan of the restorations.

Pre-restorative alignment: An under-utilised strategy

Pursuing tooth alignment before restorative dentistry does not necessarily follow the strict principles of orthodontic treatment, but rather integrates prosthodontic considerations that prioritise the retention of healthy tooth structure as part of the restorative process. By first aligning the teeth, we can ensure that the teeth are optimally positioned for restorative work, making it possible to retain more natural tooth structure and achieve better long-term results.

The orthodontic and prosthodontic workflow with restorative and facially driven treatment plans

By integrating orthodontic and prosthodontic principles, clinicians can adopt a more comprehensive, aesthetically driven treatment plan. This integrated workflow allows practitioners to consider facial dynamics, gingival display, and the overall functional and aesthetic outcomes both before and after orthodontic treatment. Simultaneously visualising both orthodontic and restorative treatment goals provides a greater opportunity for optimal outcomes by ensuring that all aspects of the aesthetic case are considered early in the treatement planning process. Maximising idealistic pre-treatment planning maximises the predictability and positive outcome of our intervention.

Restorative space creation

Space creation is a central factor in pre-restorative orthodontic. Treatment planning tools such as Invisalign ClinCheck (Align Technology) can simulate tooth positions, providing valuable insight into final orthodontic outcomes. Similarly, smile design or restorative overlay software allows for consideration of ideal restorative size, shape and of position. By overlaying these two digital visualisations, clinicians can better conceptualise how much space is required for the restorative phase.

The creation of space includes adjustments in the mesiodistal, vertical and buccolingual planes. Achieving space across these multiple planes, often with a combination of tooth movements, creates a more ideal pre-restorative position. For example, vertical correction helps level gingival margins and improves vertical restorative volumes, both of which are key to achieving symmetrical, additive-focused dentistry.

Addressing tooth wear and biological space restoration in many aesthetic restorative treatment cases, patients have already lost substantial tooth volume owing to wear, trauma or age-related changes. In these cases, the preservation of remaining tooth structure is even more crucial. In severe cases of tooth wear, orthodontic intervention can be thought of as a way of recreating biological space which has diminished over time.

Although ideal orthodontic treatment should remain the goal, it is often reasonable to adopt a more realistic intervention—one where compromise is made for the sake of patient acceptance in terms of time, cost and complexity. This is especially true when considering the reduction in biological cost that results from tooth alignment before restorative treatment. The ability to create space and reposition teeth prior to restorative procedures often avoids complex, invasive restorative procedures (such as multiple indirect restorations) in favour of more conservative approaches. This may involve simple aesthetic recontouring or additive-only dentistry (such as veneers or bonding), which can achieve similar or even superior results with greater longevity.

Figs. 1a & b: Side-by-side cross-sectional analysis of the initial (a) and post-restorative treatment position (b), highlighting vertical space creation with orthodontic treatment.

Figs. 1a & b: Side-by-side cross-sectional analysis of the initial (a) and post-restorative treatment position (b), highlighting vertical space creation with orthodontic treatment.

Fig. 1b

Fig. 1b

A case review

A 62-year-old woman presented with a long history of anterior wear. Multiple splints had been prescribed over a long period to assist in minimising parafunctional wear. Regular iTero TimeLapse analysis (Align Technology) was utilised to measure change over time (Fig. 1). Although tooth structure loss had reduced, maxillary incisor fragility and risk of catastrophic tooth loss continued to increase. The patient’s goals were not cosmetically driven and instead focused on maximising the longevity of the remaining dentition—the treatment nevertheless resulted in significant cosmetic improvement.

An approach involving only restorative dentistry was considered; however, owing to the heavy incisal intercuspation as a result of acid erosion, wear and overeruption, either significant further reduction of the maxillary and mandibular tooth structure or increase of the vertical dimension of occlusion through full mouth-rehabilitation would have been required. An alternative option of a short course (14 weeks) of Invisalign treatment was discussed as a means of maximising vertical, interproximal and inter-arch space while maintaining the stable, functional posterior occlusion and vertical dimension of occlusion.

The importance of aligner compliance was stressed, and the patient progressed well with treatment, which included take-home whitening along with the aligner therapy. Analysis of the situation after aligner therapy was performed, including review with exocad software (Figs. 2–5). This was followed by the placement of anterior resin composite restorations (IPS Empress Direct, Bleach-L Dentin; Ivoclar). No preparation or reduction of the remaining dentition was performed—instead, space was created via preparation with plastic.

Figs. 2a & b: Side-by-side anterior review of the pre- (a) and post-alignment (b) ClinCheck images.

Figs. 2a & b: Side-by-side anterior review of the pre- (a) and post-alignment (b) ClinCheck images.

Fig. 2b

Fig. 2b

Figs. 3a & b: Side-by-side lingual view of the pre- (a) and post-alignment ClinCheck images (b) with restorative overlay displaying orthodontic space creation for the restorative and prosthodontic phase of treatment.

Figs. 3a & b: Side-by-side lingual view of the pre- (a) and post-alignment ClinCheck images (b) with restorative overlay displaying orthodontic space creation for the restorative and prosthodontic phase of treatment.

Fig. 3b

Fig. 3b

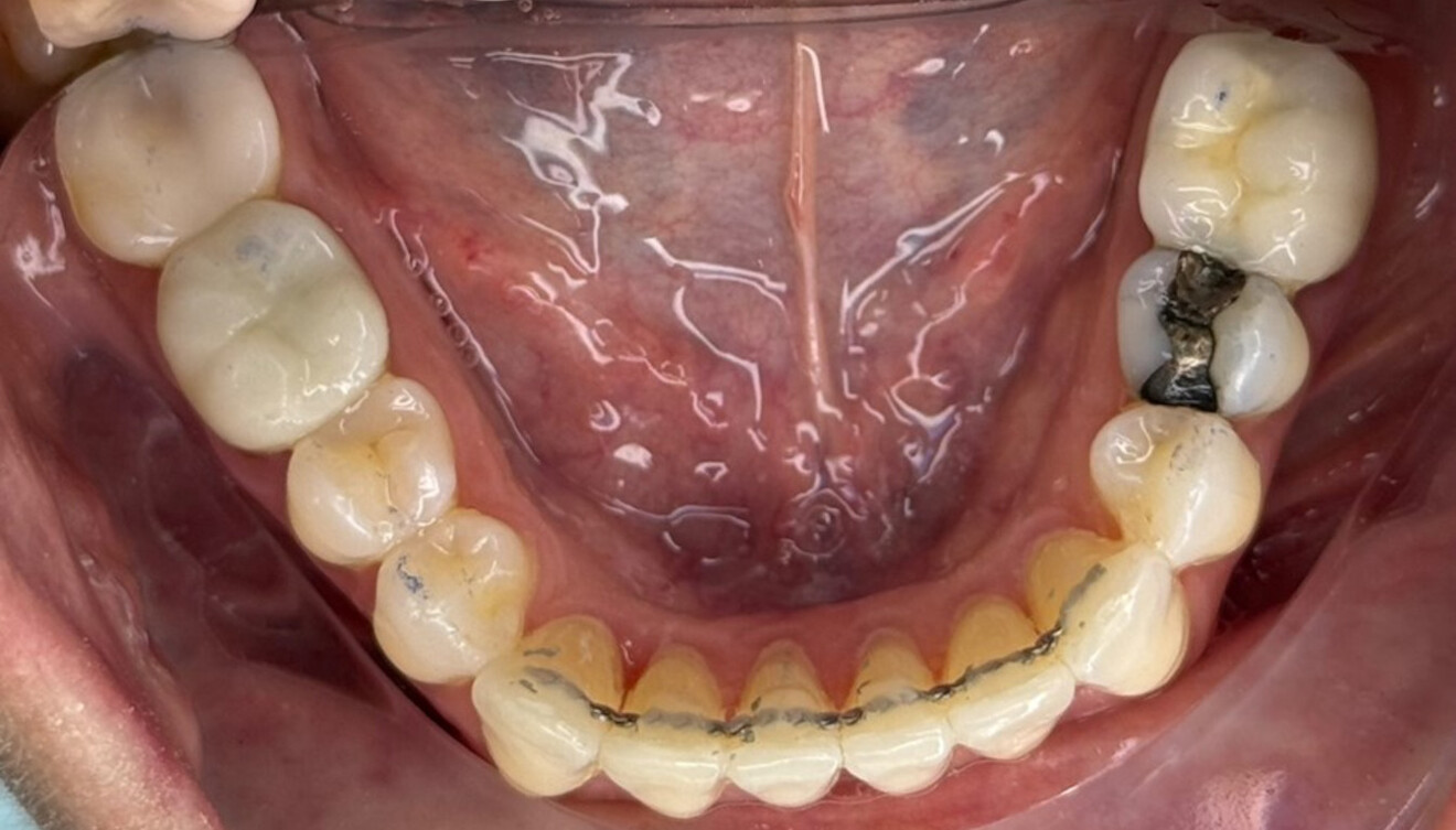
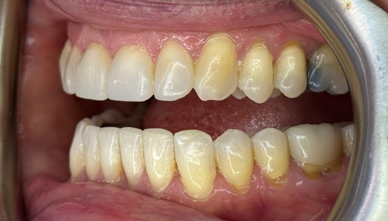
Fig. 4: Intra-oral pre-treatment photograph.

Fig. 4: Intra-oral pre-treatment photograph.

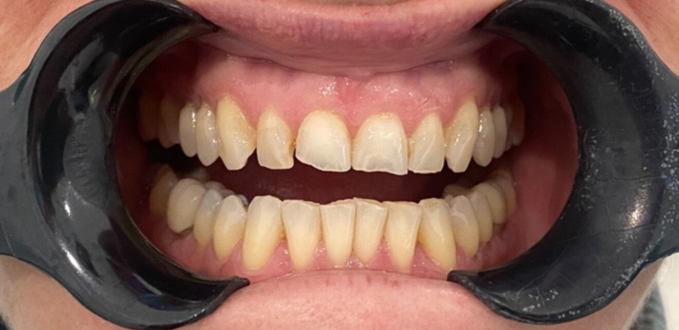
Figs. 5a & b: Still pre- (a) and posttreatment photographs (b) taken from the ClinCheck video—video integration into both orthodontic and restorative software allows for greater critical analysis and planning, including the full range of dynamic lip movements and gingival display characteristics to maximise position planning and aesthetic and functional outcomes.

Figs. 5a & b: Still pre- (a) and posttreatment photographs (b) taken from the ClinCheck video—video integration into both orthodontic and restorative software allows for greater critical analysis and planning, including the full range of dynamic lip movements and gingival display characteristics to maximise position planning and aesthetic and functional outcomes.

Planning with the end in mind

The ability to visualise the post-alignment restorative workflow before beginning treatment brings numerous advantages. It enhances efficiency and accuracy by allowing for better idealisation of tooth positions early in the process. This streamlined planning often leads to less invasive procedures—shifting from complex indirect restorations to direct restorations, or in some cases, just repositioning of the teeth.

Moreover, incorporating smile photographs and even video into digital treatment plans improves the clinician’s ability to interpret the patient’s facial dynamics, gingival display and true function. These digital tools support a more holistic approach, in which both aesthetic and functional outcomes are considered in a unified workflow.

The role of aligners in pre-restorative treatment planning

Digital planning software plays a crucial role in prerestorative treatment planning as do aligners in the final outcome, by aligning the teeth for optimal functional and aesthetic outcomes. Unlike treatment approaches involving only traditional restorative dentistry, aligner therapy can preserve the long-term health of the teeth by minimising biological sacrifice while positively affecting patterns of wear and creating the space required for optimal restorative material thickness.

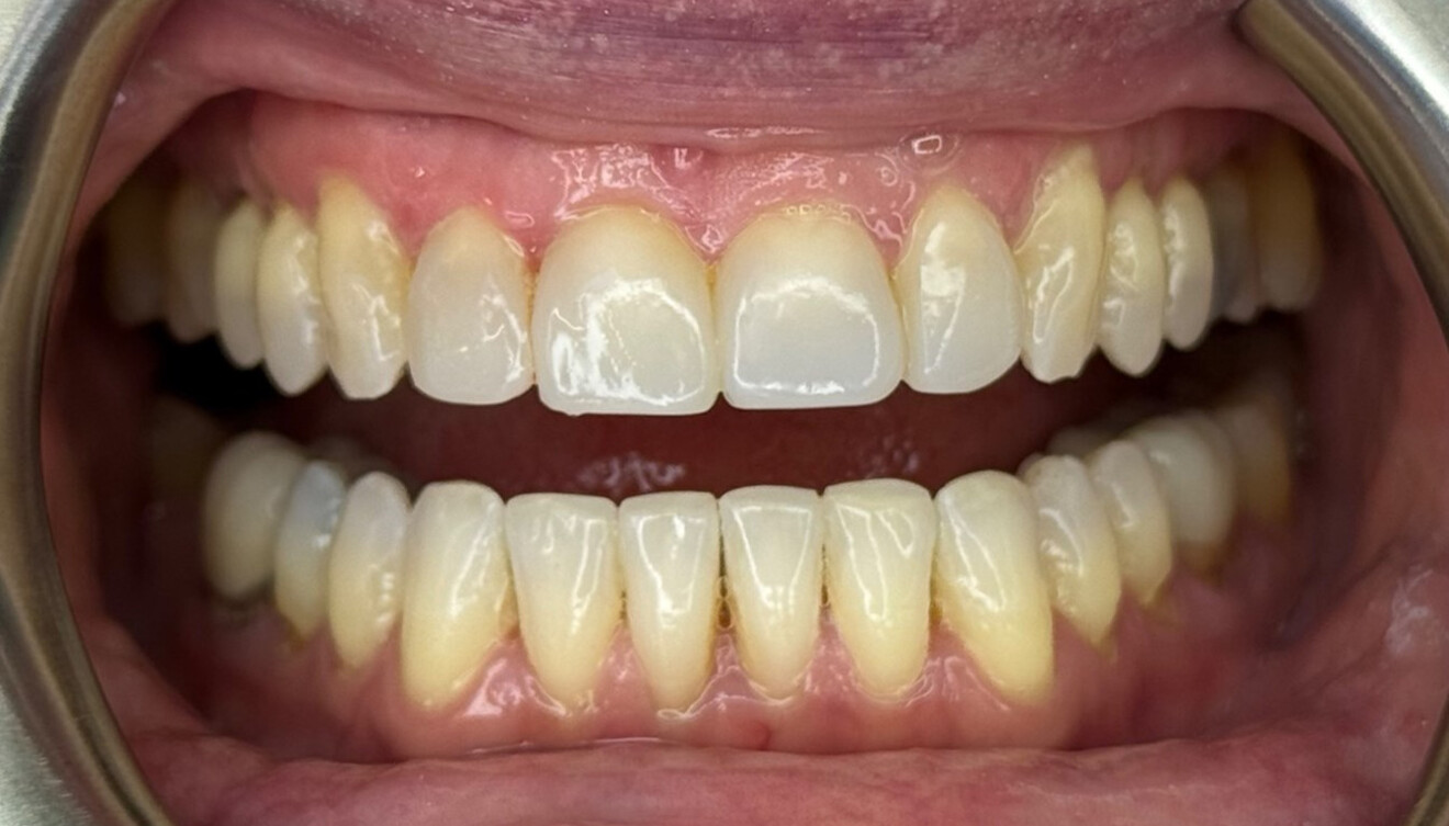
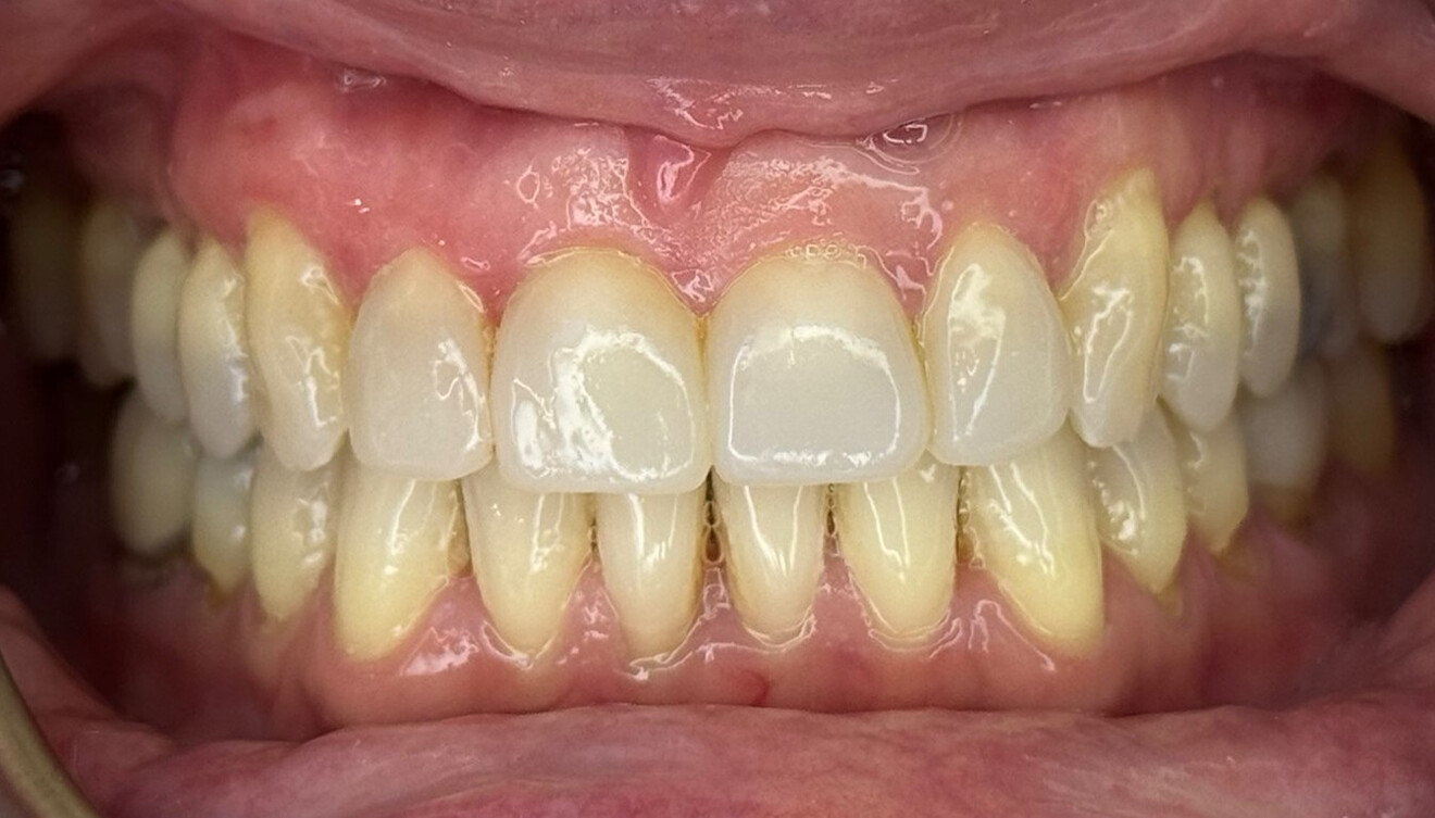
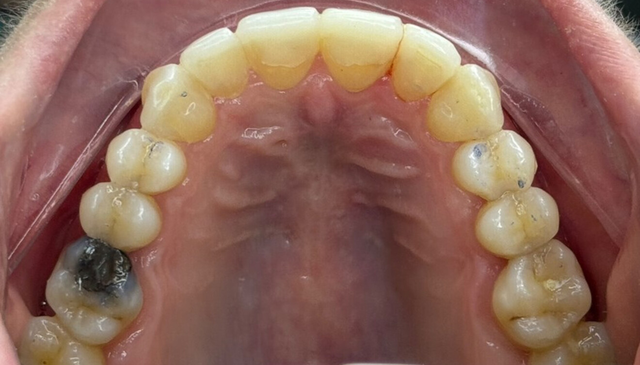
Figs. 6a–e: Intra-oral post-treatment photographs.

Figs. 6a–e: Intra-oral post-treatment photographs.

Fig. 6b

Fig. 6b

Fig. 6c

Fig. 6c

Fig. 6d

Fig. 6d

Fig. 6e

Fig. 6e

Moreover, traditional orthodontic treatment often involves long treatment durations with uncertain outcomes, whereas aligners can provide more predictable and controlled treatment times. This improves patient outcomes, enhances comfort and reduces invasiveness during the alignment and restorative makeover process.

Conclusion

The integration of aligner therapy into pre-restorative treatment planning represents a shift towards a more comprehensive, predictable and patient-centred approach to aesthetic dentistry. By first aligning the teeth, dental professionals can establish the ideal foundation for restorative treatment, achieving optimal aesthetics and function with minimal biological sacrifice, reduced invasiveness and greater long-term success. Through digital planning, space creation and a more integrated workflow, the combination of orthodontics and restorative dentistry ensures that the end-result is both aesthetic and functional and that the health and longevity of the natural tooth structure are preserved.

Topics:
Tags:
To post a reply please login or register
advertisement
advertisement