Search Dental Tribune

Treatment of patients with severe periodontal disease in general dental practice

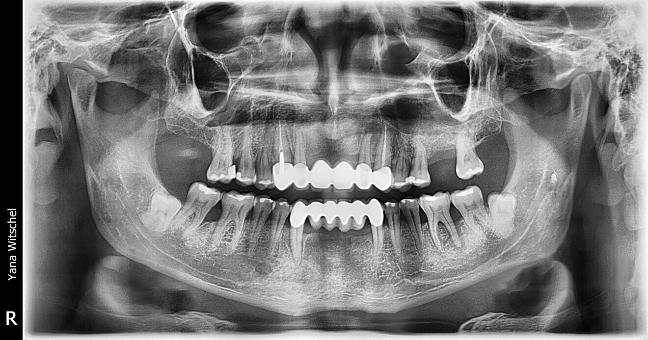
Fig. 1: Panoramic radiograph before treatment. (All images: Yana Witschel)

Wed. 27. December 2023

save

According to current data, approximately ten million people in Germany have severe periodontitis. This condition leads to tooth extractions and loss of dental and facial aesthetics and may require complex prosthetic planning for dental rehabilitation. Nevertheless, treatment rates remain low, and treatment falls short of what is necessary to address the existing periodontal cases.

Fig. 2: Measurement before treatment.

Fig. 2: Measurement before treatment.

We know that one of the reasons for severe periodontal disease is highly aggressive bacteria that require treatment with antibiotics. However, we are now encountering another problem that has been growing in recent times—antibiotic resistance—which has become a major global health issue. While antibiotic therapy for periodontal disease is often unavoidable, a microbiological test and the use of antibiotics with the narrowest spectrum of action in correct doses should always be considered.

In this article, we discuss the treatment of a 51-year-old male patient with severe generalised chronic periodontitis. After thorough examination and treatment planning, along with adjuvant antibiotic therapy and closely monitored follow-up, a stable and satisfactory outcome was achieved.

Case description

The patient presented with pain in tooth #36. A panoramic radiograph revealed general horizontal bone loss and pronounced vertical bone loss around teeth #13, 36, 33, 43 and 47. While taking the medical history, it was noted that the patient was not a smoker and had controlled high blood pressure, for which he took ramipril and hydrochlorothiazide (RamiLich, Zentiva Pharma). The patient had received periodontal treatment in another practice in 2001, during which the extraction of teeth #36, 43 and 47 was recommended but not performed.

Clinical examination found redness and bleeding of the gingivae, as well as pain on biting. Teeth #18, 17, 11, 21, 26, 28, and 32–42 were found to be missing, and there was a bridge from tooth #13 to tooth #23 and one from tooth #33 to tooth #43. The periodontal screening index values were 3, 4, 4, 4, 4 and 4 for teeth #16, 27, 36 and 46 (mesiobuccal, mesiopalatal, distobuccal and distopalatal), respectively. The patient’s oral hygiene was found to be average, there being some calculus and plaque, especially in the proximal areas.

A panoramic radiograph showed no radio-opacity in the maxillary sinus and no changes to the temporomandibular joints. There were radiopacities suggestive of fillings in several teeth. Horizontal bone loss of moderate extent (approximately 50%) was generally present, along with very pronounced vertical bone loss mesial to tooth #13, distal to tooth #36, mesial to tooth #33, distal to tooth #43, and mesial to and in the bifurcation of tooth #47 (Fig. 1).

Owing to the elevated periodontal screening index values, another appointment was scheduled to assess periodontal status. Both periodontal pocket probing depth (PPD) and bleeding on probing (BOP) and mobility measurement were performed on all teeth (Fig. 2). Tooth #37 had a mobility of Grade I and no probable bifurcations, and teeth #36 and 47 had radiographically visible bifurcations. Given the periodontal status findings, which included PPDs of up to 12 mm (tooth #13) and several PPDs of 7 and 8 mm, along with purulent exudate from the periodontal pockets of teeth #13, 27, 36, 33 and 43, an additional microbiological investigation was initiated (Fig. 3). The analysis results showed an elevated concentration of bacteria such as Tannerella forsythia, Treponema denticola and Prevotella intermedia and a very high concentration of Porphyromonas gingivalis and Aggregatibacter actinomycetemcomitans (Fig. 4).

Based on the radiographic findings, periodontal status and microbiological findings, the patient was diagnosed with generalised severe chronic periodontitis with acute exacerbation in teeth #13, 36, 33, 43 and 47.

Figs. 3a–c: Performing a bacteria test.

Figs. 3a–c: Performing a bacteria test.

Fig. 3b

Fig. 3b

Fig. 3c

Fig. 3c

Fig. 4: Bacteria test results.

Fig. 4: Bacteria test results.

Treatment planning

The following treatment steps were discussed and established as the treatment plan:

  1. removal of all supragingival and clinically accessible subgingival plaque and calculus (closed approach);
  2. adjuvant antibiotic therapy based on the microbiological analysis results;
  3. repeated assessment and maintenance therapy as part of supportive periodontal therapy (SPT); and
  4. if necessary, surgical therapy (open approach).

Treatment progress

The first appointment included an informative and therapeutic discussion about the findings, diagnosis and risk factors related to periodontal disease. Detailed guidance was provided on topics such as nutrition, stress management and potential interactions with the patient’s high blood pressure medication. A mouth hygiene check, documented according to Lange’s approximal plaque index (60%) and sulcus bleeding index (50%), was also conducted, followed by instruction on home oral hygiene.

Finally, non-surgical periodontal therapy with corresponding antibiotic treatment according to the Van Winkelhoff1 schema 500 mg amoxicillin three times a day and 400 mg metronidazole three times a day for seven days) was performed. Additionally, antibacterial therapy in the form of a 0.2% chlorhexidine solution twice a day for seven days was recommended. To enhance the treatment’s success, a full-mouth disinfection was performed in one session for each visit of the periodontal therapy.

Follow-up examinations

The first follow-up examination showed a positive healing trend. No redness, swelling or pain was observed. At the second follow-up, slight probing at the gingival margin resulted in no bleeding. The appearance of the gingivae showed no abnormalities. Exact PPDs were planned to be measured for the first assessment about three months later. Subsequent appointments were made according to the SPT framework.

At the first SPT session, a periodontal evaluation was conducted, involving two PPD and two BOP measurements per tooth. A general improvement was observed, especially positive progress regarding tooth #13 (reduced from 12 mm to 6 mm distally), tooth #27 (reduced from 6 mm to 3 mm mesially), tooth #36 (reduced from 8 mm to 5 mm distally), tooth #33 (reduced from 8 mm to 5 mm mesially) and tooth #43 (reduced from 9 mm to 6 mm mesially). The mouth hygiene check (approximal plaque index according to Lange) showed a 20% improvement in oral hygiene. The sulcus bleeding index had also improved by 25%. Home oral hygiene instruction was given again. Positive progress regarding the gingiva was observed in both jaws. Subsequently, periodontal therapy was performed on teeth with PPD ≥ 4 mm, along with professional tooth cleaning for all teeth.

The patient reported no pain when biting, and there was no redness or swelling. The patient’s behaviour showed a positive trend in terms of oral hygiene and management of risk factors. According to the patient, dietary changes had been made, including daily consumption of fruits and vegetables and water as a thirst-quencher. A healthy diet, specifically one low in the glycaemic index and rich in omega-3 fatty acids, fibre, micronutrients and secondary plant compounds that reduce inflammation in the body, can positively influence host response.

The next SPT session included a re-evaluation of the periodontal status, a mouth hygiene check and home oral hygiene instruction. Except for a slight improvement in PPD (approximately 1 mm), all values remained stable. Subsequently, another periodontal therapy session was performed on all teeth with PPD ≥ 4 mm, along with professional tooth cleaning on these teeth.

During the semi-annual dental examination, a panoramic radiograph was taken to enable a comparison of bone structure. A significant improvement in bone density was observed, especially around teeth #13, 36, 33, 43 and 47, where severe vertical bone loss was initially present. Clinical improvements were also noted, including inflammation-free gingivae with slight recession (Figs. 5 & 6).

The third SPT session included a re-evaluation of periodontal status (PPD and BOP), another mouth hygiene check and home oral hygiene instruction. An improvement in the approximal plaque index of 60.0% to 33.0% and in the sulcus bleeding index of 25.0% to 12.5% was noted. The PPD profile also showed slight improvement in some areas of approximately 1 mm. Periodontal therapy was performed on all remaining teeth with PPD ≥ 4 mm, along with professional tooth cleaning for all teeth (Fig. 7).

Fig. 5: Panoramic radiograph after treatment.

Fig. 5: Panoramic radiograph after treatment.

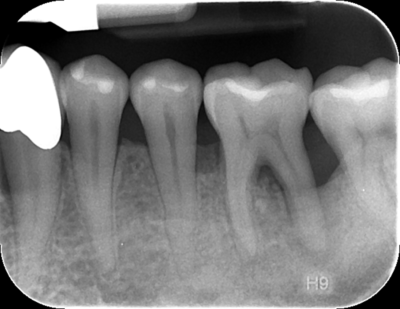
Fig. 6: Periapical radiograph of tooth #36 after treatment.

Fig. 6: Periapical radiograph of tooth #36 after treatment.

Fig. 7: Measurement after treatment.

Fig. 7: Measurement after treatment.

Summary and prognosis

The radiographic findings, including 50% horizontal bone loss and severe vertical bone loss around teeth #13, 36, 33, 43 and 47, along with attachment loss of up to 12 mm, considering the patient’s age, led to the diagnosis of generalised severe chronic periodontitis. Microbiological diagnostics were initiated on the basis of the periodontal findings, revealing a high bacterial load, especially of the A.a. complex (A. actinomycetemcomitans) and red complex (P. gingivalis).

An appropriately administered anti-infective therapy in combination with suitable antibiotic treatment resulted in a significant improvement in PPD. Clinical improvement was also observed: no swelling or redness in the gingival area and no more pain on biting. Subsequent re-evaluation appointments consistently showed improvement in both PPD and BOP, as well as at-home plaque control. The radiographic control images revealed bone defect filling, especially around the prognostically problematic teeth.

The patient attended all appointments on time and showed interest in improving stress management and dietary habits. PPDs of 5 mm and 6 mm still exist at teeth #36, 43 and 47. A close recall system as part of SPT thus remains necessary and will enable potential recurrence to be detected and treated early. Based on all the findings, the long-term prognosis is considered to be very good.

It is important to note that in a specialist periodontics practice different treatment planning and methods would be implemented for such a patient, but these were not suitable for discussion here. With this case, we aimed to report a successful treatment in general dental practice, emphasising the importance of microbial testing and appropriate antibiotic therapy, given the rising issue of antibiotic resistance.

Editorial note:

Reference:

  1. Van Winkelhoff AJ, Rodenburg JP, Goené RJ, Abbas F, Winkel EG, de Graaff J. Metronidazole plus amoxycillin in the treatment of Actinobacillus associated periodontitis. J Clin Periodontol. 1989 Feb;16(2):128-31.
Tags:
To post a reply please login or register
advertisement
advertisement