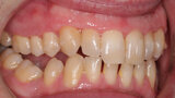
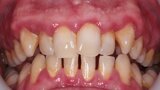
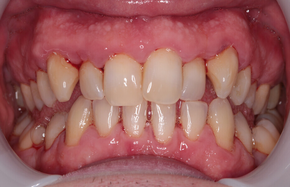
Fig. 2: Pre treatment smile
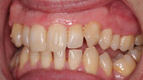
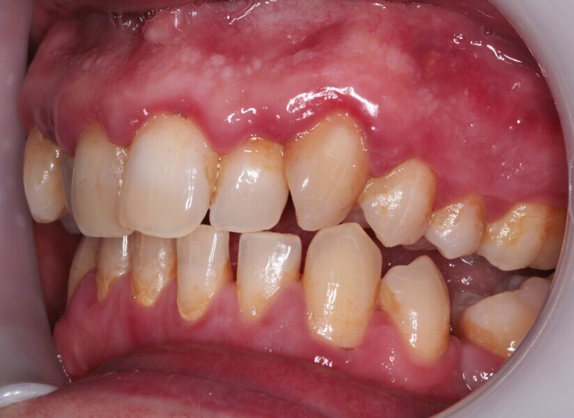
Fig. 3: Pre treatment left lateral
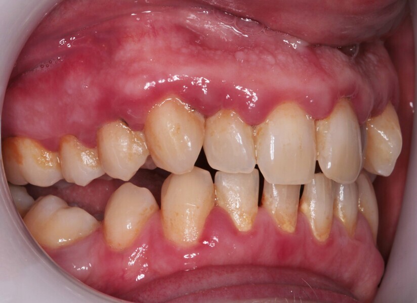
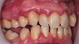
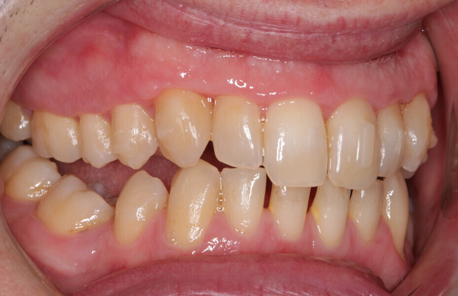
Fig. 4: Pre-treatment right lateral
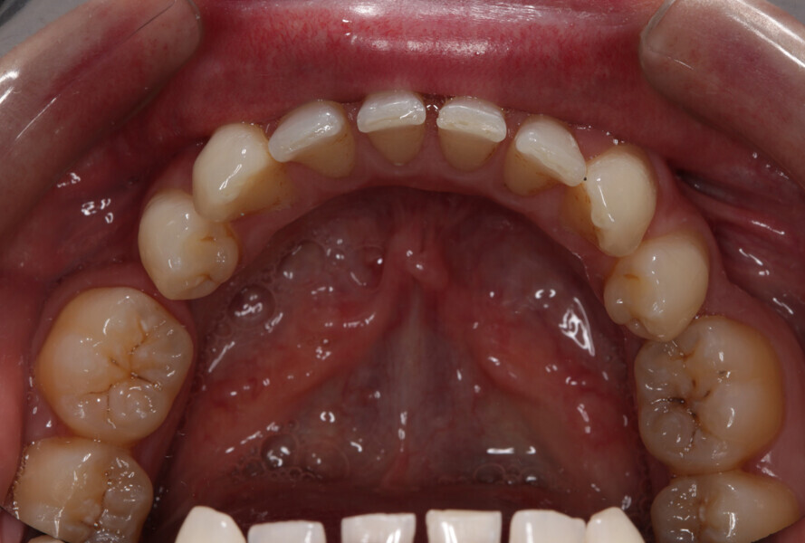
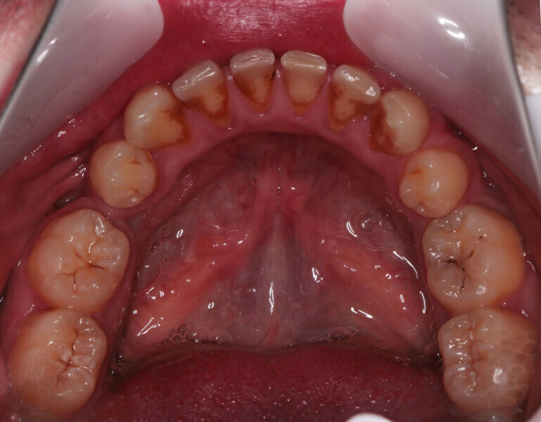
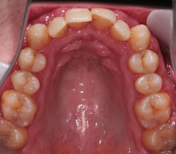
Fig. 5: Pre-treatment upper occlusal view
Fig. 6: Pre-treatment lower occlusal view
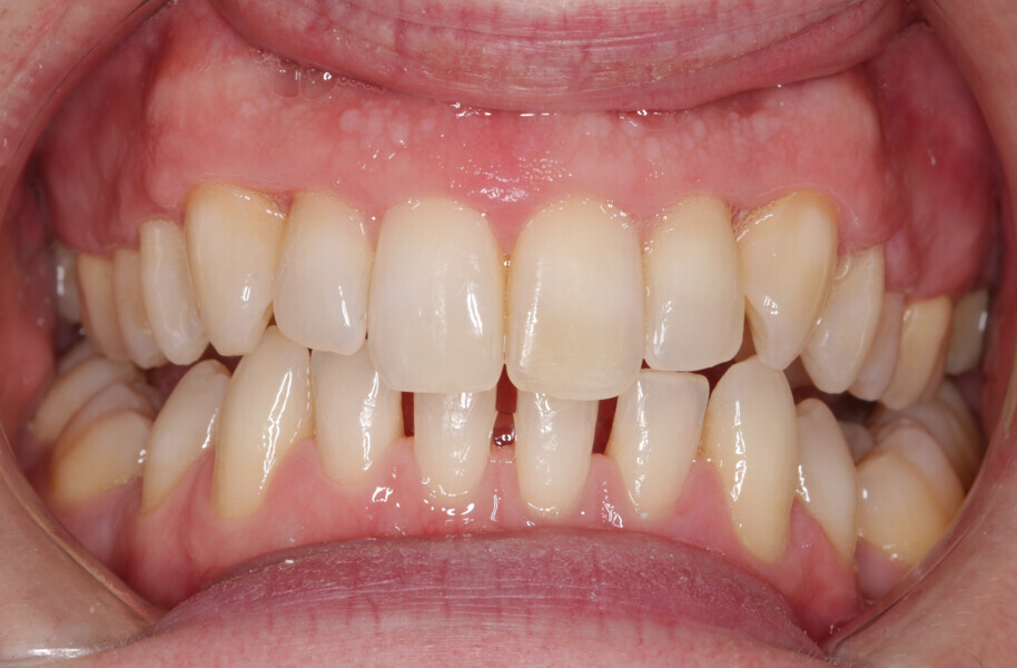
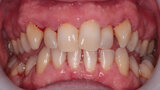
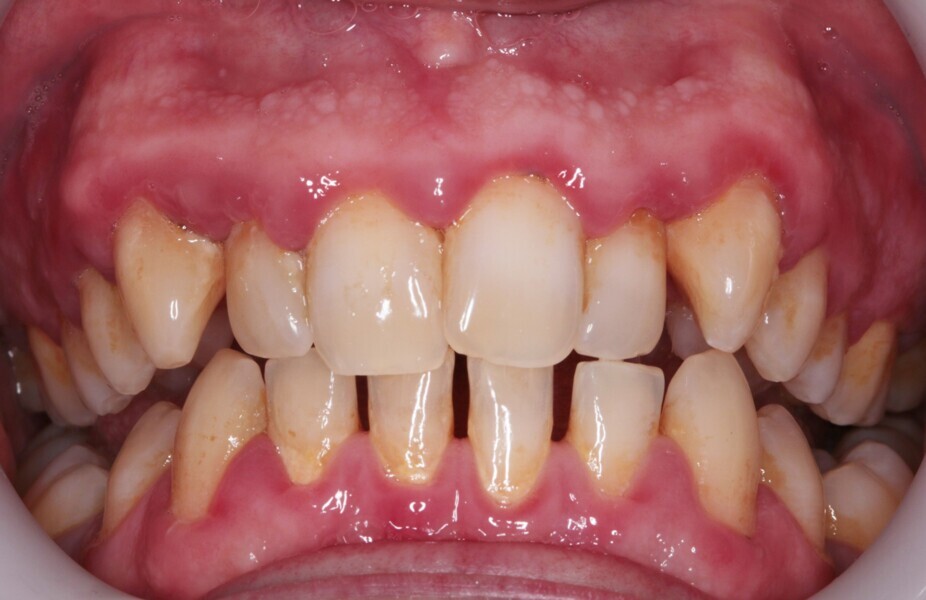
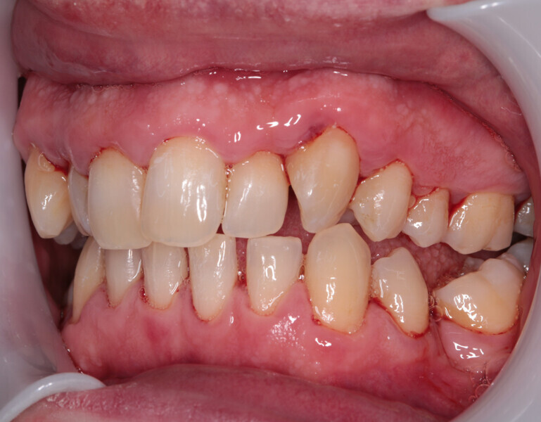
Fig. 7: Post-scaling anterior view
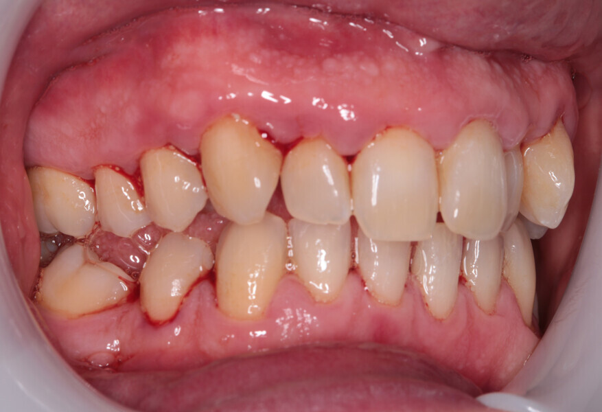
Fig. 8: Post-scaling right lateral view
Fig. 9: Post-scaling left lateral view
Fig. 10: Post-initial alignment, prior to refinement aligners anterior view
Fig. 11: Post-initial alignment, prior to refinement aligners left lateral view
Fig. 12: Post-initial alignment, prior to refinement aligners right lateral view
Fig. 13a: Current position
Fig. 13b: Three refinement aligners
Fig. 13c: Six refinement aligners
Fig. 14: Post-treatment 1
Fig. 15: Post-treatment smile
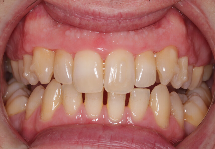
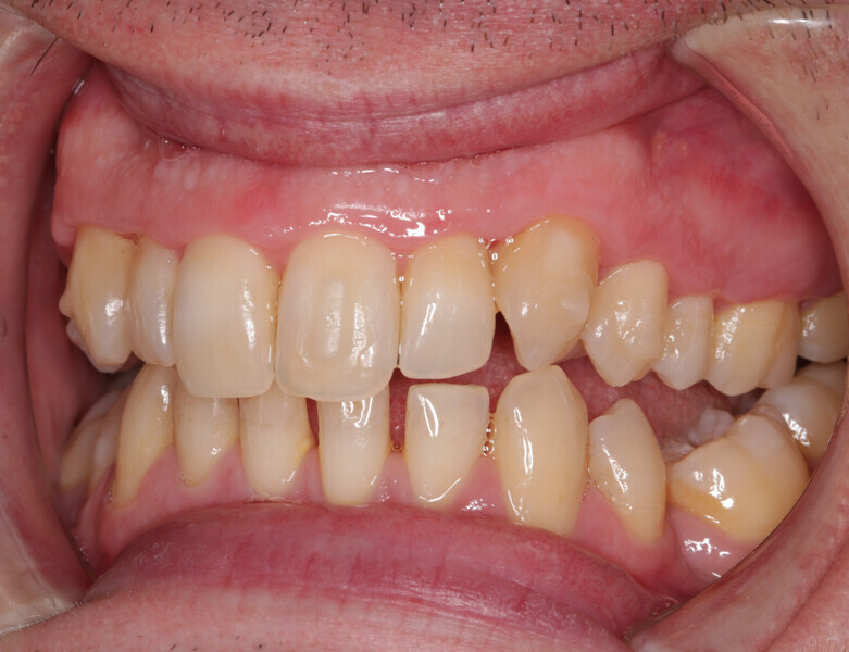
Fig. 16: Post-treatment anterior view
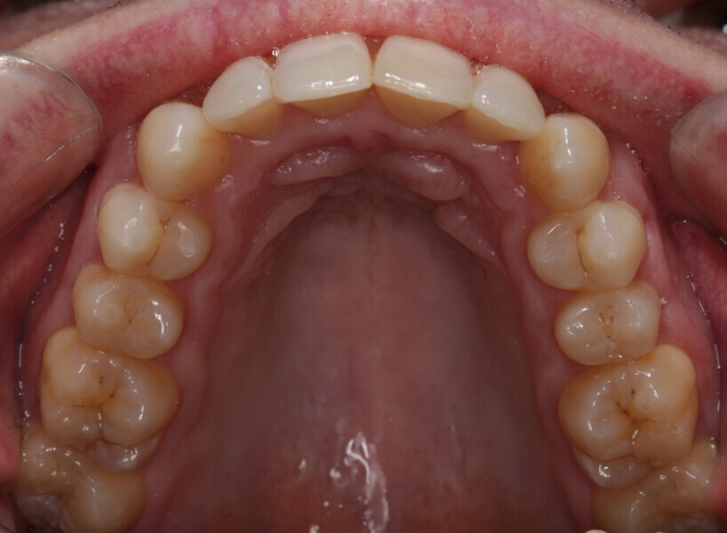
Fig. 17: Post-treatment upper occlusal view
Fig. 18: Post-treatment lower occlusal view