Fig. 1: Conventional radiograph of an endodontically treated tooth #11 and cold-sensitive tooth #12 compared with CBCT imaging showing the presence of a large apical bone defect (taken at a two-day interval).
Fig. 2a: Conventional radiograph of an endodontically treated tooth #11 and cold-sensitive tooth #12 compared with CBCT imaging showing the presence of a large apical bone defect (taken at a two-day interval).
Fig. 2b: Conventional radiograph of an endodontically treated tooth #11 and cold-sensitive tooth #12 compared with CBCT imaging showing the presence of a large apical bone defect (taken at a two-day interval).
Fig. 2c: Conventional radiograph of an endodontically treated tooth #11 and cold-sensitive tooth #12 compared with CBCT imaging showing the presence of a large apical bone defect (taken at a two-day interval).
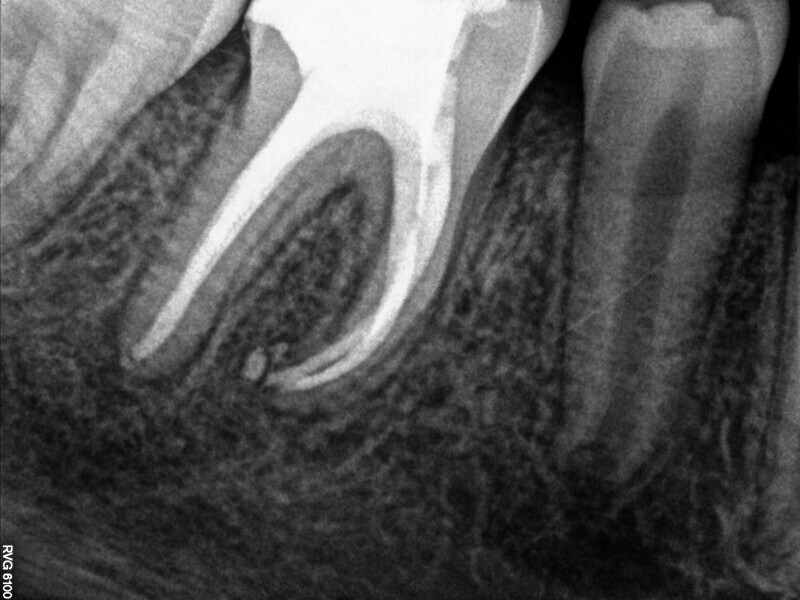
Fig. 3: Pre-op radiograph of tooth #46 showed a large area affected by periapical periodontitis going up into the furcation.
Fig. 4: Clinical image of tooth #46 showing swelling of the buccal mucosa and the presence of a sinus tract, as well as bleeding and pus after probing.
Fig. 5a: HyFlex EDM Finishing file sequence.
Fig. 5b: HyFlex EDM Finishing file sequence.
Fig. 5c: HyFlex EDM Finishing file sequence.
Fig. 6: Healing sinus tract at the start of the second appointment.
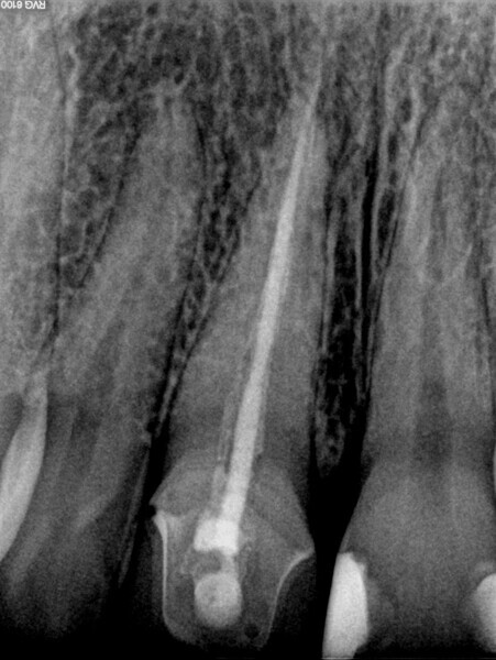
Fig. 7: Control of the obturation before final restoration.
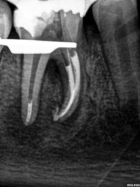
Fig. 8: Follow-up radiograph after three months showing almost complete healing.
Fig. 9: Completely healed mucosa and no swelling after three months.