Fig. 1: Intraoral photograph prior to treatment, frontal view.
Fig. 2: Intraoral photograph prior to treatment, occlusal view of maxilla.
Fig. 3: Intraoral
photograph prior to treatment, occlusal view of mandible.
Fig. 4: Initial situation, panoramic radiograph (2015).
Fig. 5: DSD protocol: image of patient smiling wearing a lip and cheek retractor.
Fig. 6: Motivational mock-up made of bis-acryl (Structur 3).
Fig. 7: Two years later, prior to treatment (2017).
Fig. 8: No preparation of the posterior teeth and minimal preparation of the mandibular anterior teeth. Teeth #11–13 and 21–23 had already been prepared.
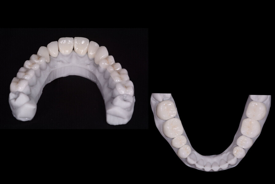
Fig. 10: Final veneers and crowns digitally prepared using the Ceramill Mind design software and produced in a milling machine (Ceramill
Motion 2) from machinable lithium disilicate ceramic blocks (VITABLOCS TriLuxe forte).
Fig. 11: The crowns (#11–13 and 21–23) and veneers (#14–17, 24–27, 31–37 and 41–47) were secured to the abutments using a light-cured resin adhesive (Futurabond U and Bifix QM).
Fig. 12: The crowns (#11–13 and 21–23) and veneers (#14–17, 24–27, 31–37 and 41–47) were secured to the abutments using a light-cured resin adhesive (Futurabond U and Bifix QM).
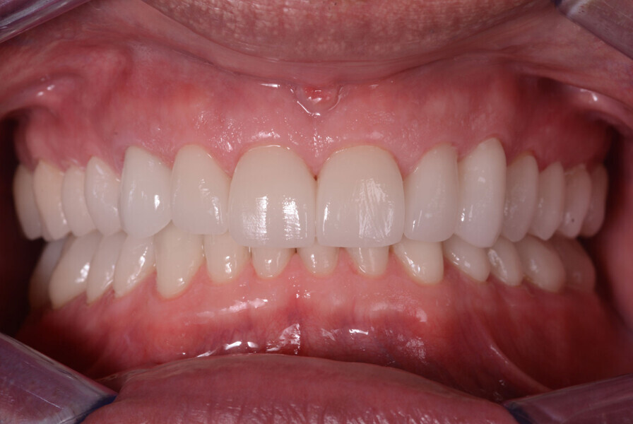
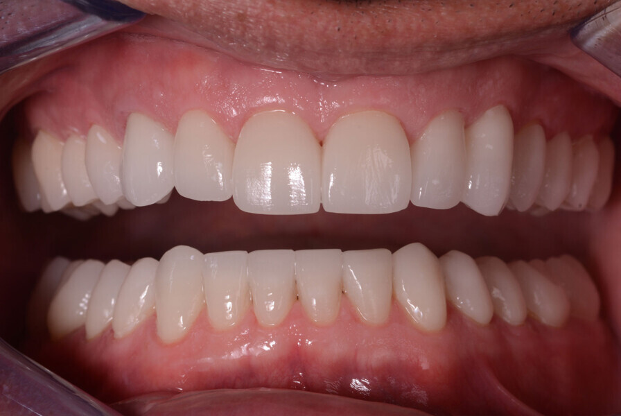
Fig. 13: Intraoral photographs after treatment.
Figs 14: Intraoral photographs after treatment.
Fig. 15: Panoramic image at the end of treatment.