Search Dental Tribune

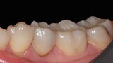
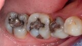
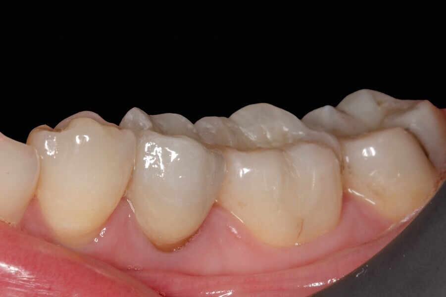
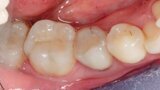
Daily aesthetic dentistry: The contribution of the spectrophotometer

advertisement
advertisement