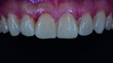
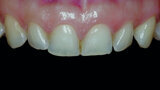
Fig. 1: Initial photograph of the anterior teeth prior to orthodontic treatment.
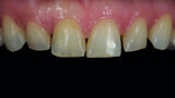
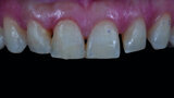
Fig. 2a: Anterior teeth after orthodontic treatment.
Fig. 2b: Extraoral photographs after orthodontic treatment.
Fig. 3: Digital smile design indicating crown lengthening of teeth #13, 12, 11 and 21 and restorative treatment of the ten anterior teeth
Fig. 4: Wax-up on the stone model concerning the restorative treatment of the ten anterior teeth.
Fig. 5: Three-dimensionally printed model of the digital smile design planning, bearing a mock-up shell. A cervical opening was introduced for surgical access and guidance for crown lengthening.
Figs. 6a: Intraoral fi t of the surgical guide for crown lengthening.
Figs. 6b: Intraoral fi t of the surgical guide for crown lengthening.
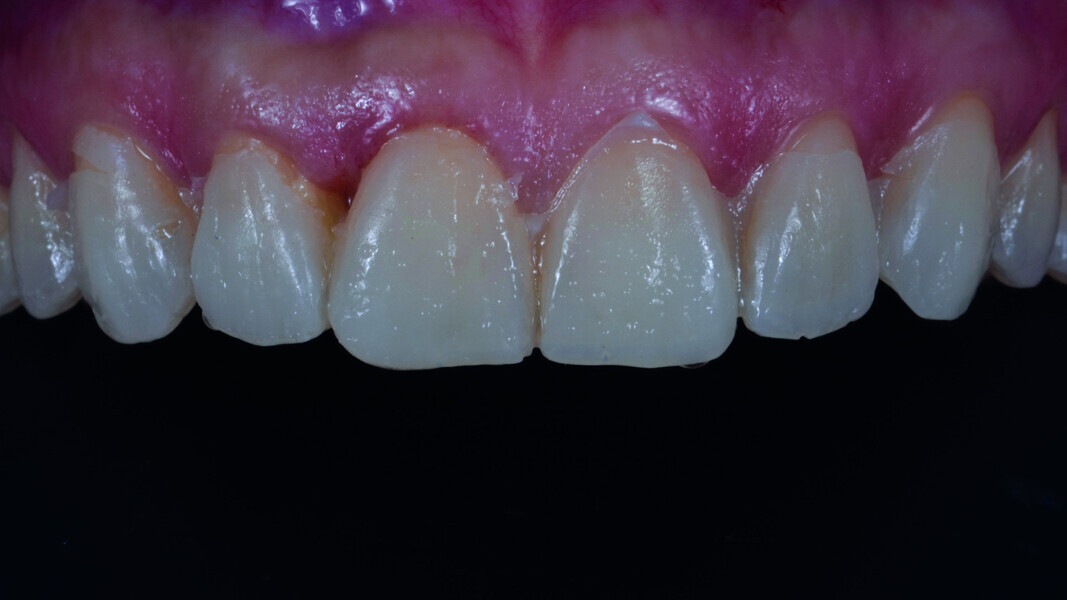
Fig. 7: Periodontal tissue of the anterior teeth six months after crown lengthening.
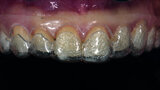
Fig. 8a: Mock-up silicone index.
Fig. 8b: Intraoral photograph of the mock-up.
Fig. 9a: Preparation through the mock-up.
Fig. 9b: Check of the preparation depth, with the use of the silicone guide, palatal aspect.
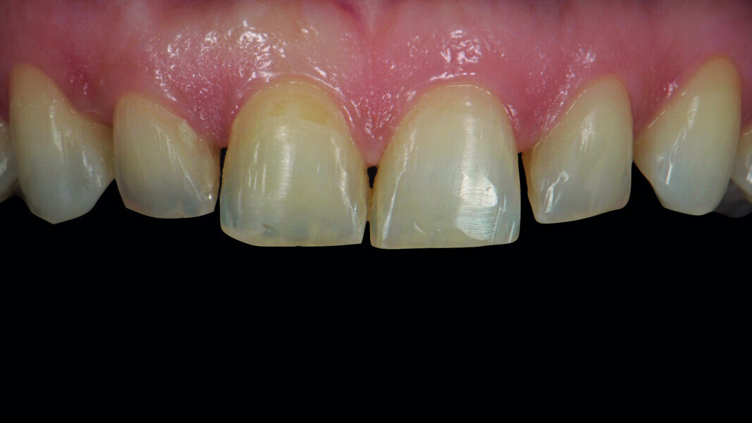
Fig. 9c: Final preparation of the teeth.
Fig. 10: Analogue impression with polyvinylsiloxane.
Fig. 11: Digital impression
with TRIOS.
Fig. 12a: Digital planning of the provisional restorations.
Fig. 12b: Provisional restorations intraorally (Telio CAD).
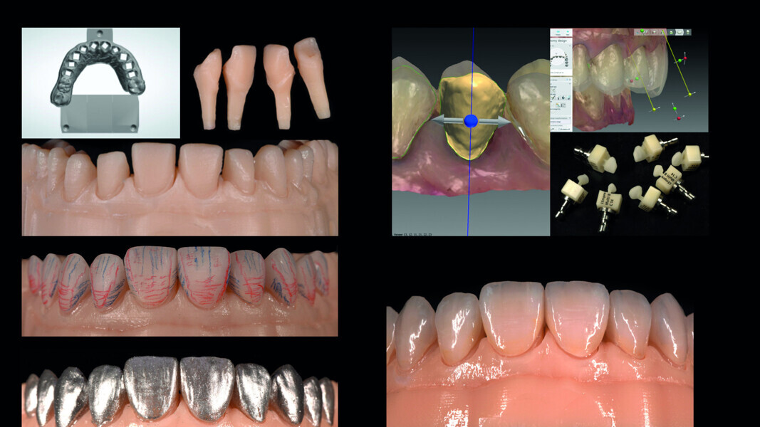
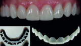
Fig. 13: Analogue workflow (refractory dies, built-up veneers, adjustments, staining/glazing).
Fig. 14: Digital workflow (3-D printed model, CAD/CAM veneers, adjustments, staining/glazing).
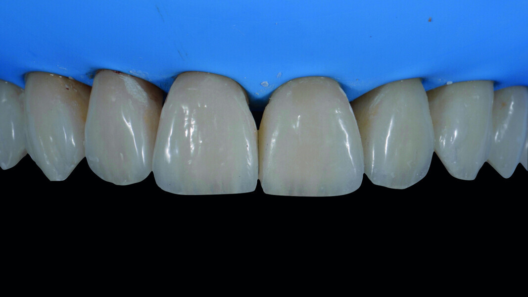
Fig. 15a: Feldspathic veneers with try-in paste.
Fig. 15b: CAD/CAM veneers with try-in paste.
Fig. 15c: First quadrant feldspathic veneers and second quadrant CAD/CAM veneers simultaneously with try-in paste.
Fig. 16a: Isolation fi eld and try-in of the fi t of the veneers on teeth #11 and 21.
Fig. 16b: Etching of the enamel for 30 seconds with a 32 % orthophosphoric acid.
Fig. 16c: Application of the bonding agent.
Fig. 16d: Final polymerisation of the veneers.
Fig. 16e: Veneers in situ before finishing and polishing procedures.
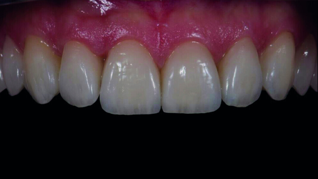
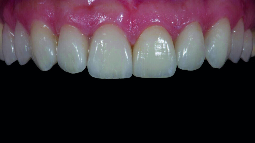
Fig. 16f: Final outcome immediately after removal of the rubber dam.
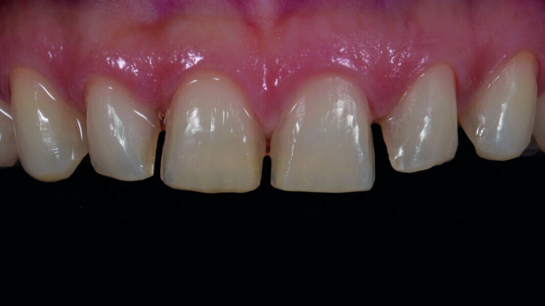
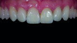
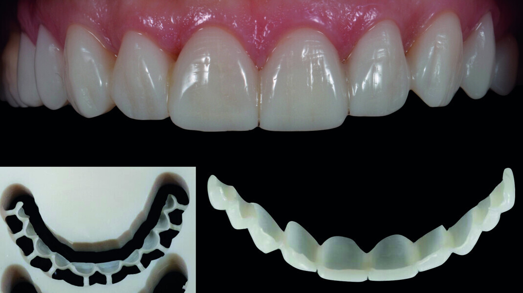
Fig. 17a: Final outcome one week later.
Fig. 17b: Final outcome one week later, frontal view.
Fig. 17c: Lips at rest, exposure of the incisal edges.
Fig. 17e: Extraoral final photographs.
Fig. 18a: Subjective comparison criteria per step between analogue and digital workflows. PVS=polyvinylsiloxane.
Fig. 18b: Laboratory duration per step between analogue and digital workflows. PVS = polyvinylsiloxane.