Fig. 1: The patient presented with a horizontally fractured clinical crown, an indication for a partial extraction therapy procedure.
Fig. 2: The trajectory of the root
in relation to the alveolus can be visualised with a cross-sectional image.
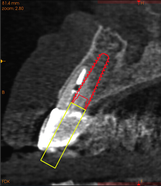
Fig. 3a: Planning the initial drill path using a custom implant design (red) to match the
diameter of the initial drill to reach the tooth apex. The abutment projection is shown in yellow.
3b: The simulated implant within the Triangle of Bone (red), placed to avoid the root fragment seen in yellow (white arrows).
Fig. 4: The segmented root (white) and the root fragment (brown) within the sectioned maxillary surface model.
Fig. 5a: Virtual sectioning of the segmented root using Meshmixer with a simulated custom implant to reach the root apex.
Fig. 5b: The apical portion of the simulated AnyRidge implant can then be positioned so as not to touch the root fragment while engaging in host bone for stability.
Fig. 6a: Two 3D-printed templates designed on the digitised model (green): one for the initial drill to section the tooth at the root apex (a) and the second for using sequential guided drills to drill through the root itself (b).
Fig. 6b: Two 3D-printed templates designed on the digitised model (green): one for the initial drill to section the tooth at the root apex (a) and the second for using sequential guided drills to drill through the root itself (b).
Fig. 7a: A sleeveless guide to accommodate a 2 mm long pilot drill that was used to reach the root apex.
Fig. 7b: Removing the guide allowed for inspection of the drill embedded within the tooth.
Fig. 8a: Using drill guides with long shanks to engage the sleeveless template allowed for sequential and accurate drilling of the tooth and subsequent bone for implant placement.
Fig. 8b: Using drill guides with long shanks to engage the sleeveless template allowed for sequential and accurate drilling of the tooth and subsequent bone for implant placement.
Fig. 9: The cylindrical tooth preparation resulted in the desired crescent shape of the root fragment to provide adequate space for the implant.
Fig. 10: The
implant was placed into the osteotomy through the template using a special manufacturer-specific carrier.
Fig. 11: The stackable tooth-borne guide and the three other separate components.
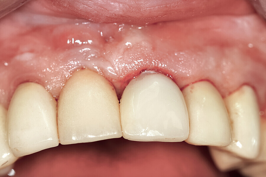
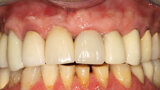
Fig. 12a: A post fracture presenting in the left central incisor, requiring extraction.
Fig. 12b: The occlusal view illustrated the cervical tissue volume and contours.
Fig. 13: The pre-op periapical radiograph revealed an existing implant-supported metal–ceramic restoration for the adjacent region #11.
Fig. 14a:
The CBCT cross-sectional image revealed a favourable pre-op condition for a PET procedure.
Fig. 14b: Using the native Carestream 3D Imaging Software,
a simulated implant (red outline) and abutment projection (yellow outline) was positioned within the available bone to avoid the root fragment.
Fig. 15a: The base template was designed to seat firmly on the adjacent teeth, incorporating buccal and lingual hexagonal offsets to engage the different drill
guide inserts.
Fig. 15b: Separate inserts were fabricated for the initial drill guide to reach the root apex to accommodate sectioning, followed by a second guide for final osteotomy drilling and implant placement.
Fig. 15c: Separate inserts were fabricated for the initial drill guide to reach the root apex to accommodate sectioning, followed by a second guide for final osteotomy drilling and implant placement.
Fig. 16a: The accuracy of the implant and template design allows for true restoratively driven planning combined with CAD/CAM applications for the design
and fabrication of a patient-specific abutment and transitional restoration.
Fig. 16b: The accuracy of the implant and template design allows for true restoratively driven planning combined with CAD/CAM applications for the design
and fabrication of a patient-specific abutment and transitional restoration.
Fig. 17a: Utilising the tooth-borne template and the first insert, initial long shaper drills were used to reach the apex of the root.
Fig. 17b: Utilising the tooth-borne template and the first insert, initial long shaper drills were used to reach the apex of the root.
Fig. 18: A periapical radiograph
with a drill in place confirmed that the apex length had been reached and that all the gutta-percha had been removed.
Fig. 19a: The second metal cylinder insert
allowed for the long, round diamond drills to shape the root into the desired crescent shape (a). The insert was removed to access the palatal root (b).
Fig. 19b: The second metal cylinder insert
allowed for the long, round diamond drills to shape the root into the desired crescent shape (a). The insert was removed to access the palatal root (b).
Fig. 20: The sectioned palatal root was carefully removed.
Fig. 21: A periapical radiograph confirmed that the palatal root and all the gutta-percha had been completely removed.
Fig. 22a: The final insert was designed to receive the guided sleeveless drills for accurate osteotomy preparation (a). The osteotomy was prepared to avoid
proximity to the remaining root fragment while leaving sufficient restorative space as previously planned (b).
Fig. 22b: The final insert was designed to receive the guided sleeveless drills for accurate osteotomy preparation (a). The osteotomy was prepared to avoid
proximity to the remaining root fragment while leaving sufficient restorative space as previously planned (b).
Fig. 23: The implant, seen prior to placement,
using the R2GATE surgical carrier for full-template guidance through the sleeveless guide.
Fig. 24a: Depth control and rotational positioning were accurately
confirmed with the notch indicator on the template corresponding with the insertion tool (a). The occlusal view illustrated that the anti-rotational internal
conical–hexagonal connection was positioned towards the facial aspect (b).
Fig. 24b: Depth control and rotational positioning were accurately
confirmed with the notch indicator on the template corresponding with the insertion tool (a). The occlusal view illustrated that the anti-rotational internal
conical–hexagonal connection was positioned towards the facial aspect (b).
Fig. 25: Using an implant-specific SmartPeg, a baseline ISQ value of 76 confirmed sufficient initial stability to place an immediate restoration.
Fig. 26a: The prefabricated CAD/CAM abutment and transitional crown
Fig. 26b: A post-op periapical radiograph confirmed successful sub-crestal placement of
this platform-switched design.
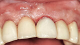
Fig. 26c: The abutment in place.
Fig. 26d: The soft-tissue contours were excellent; no sutures were required for the transitional restoration.
Fig. 27a: The post-op CBCT scan axial view revealed the intact crescent shape of the root membrane (a), as outlined in red in facial to the opaque
implant position (b).
Fig. 27b: The post-op CBCT scan axial view revealed the intact crescent shape of the root membrane (a), as outlined in red in facial to the opaque
implant position (b).
Fig. 28a: The post-op cross-sectional view clearly illustrated the position of the implant (a), the definitive restoration located palatal to the root membrane (b),
as outlined in yellow (red arrows).
Fig. 28b: The post-op cross-sectional view clearly illustrated the position of the implant (a), the definitive restoration located palatal to the root membrane (b),
as outlined in yellow (red arrows).
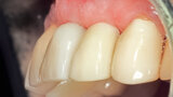
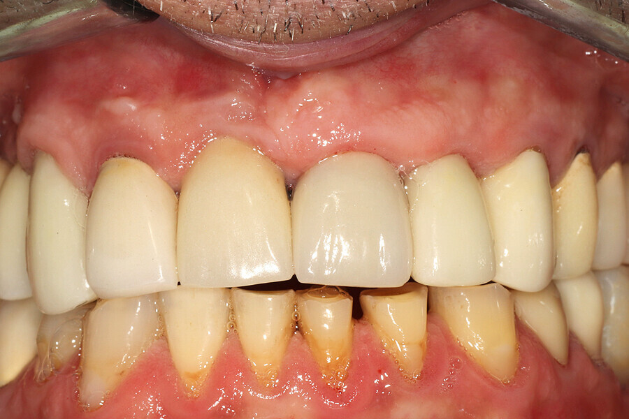
Fig. 29: The definitive restoration exhibited excellent retention of the soft-tissue profile.
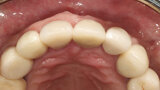
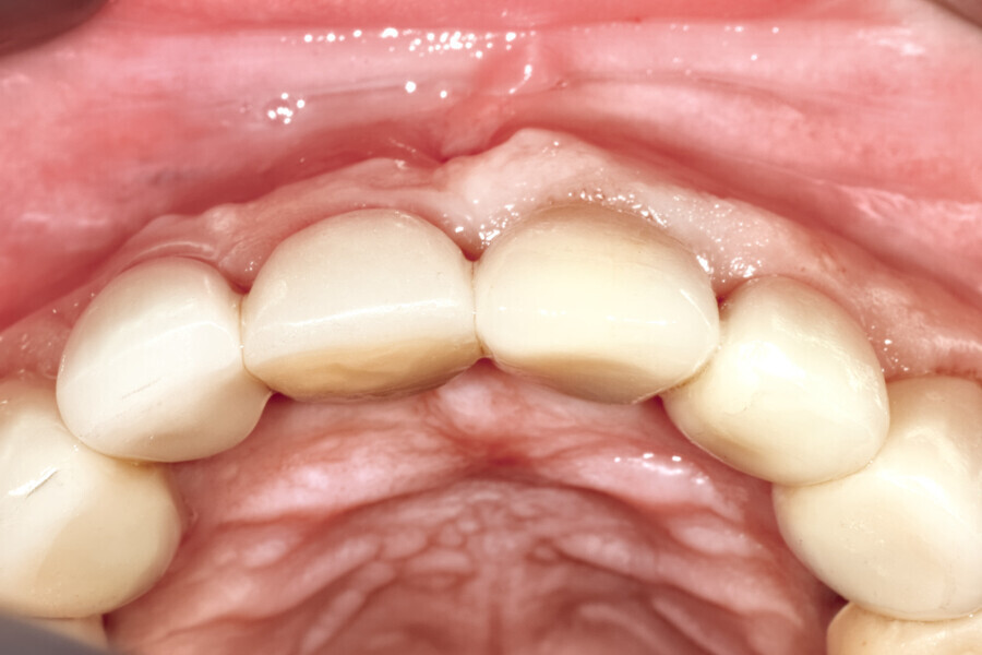
Fig. 30a: The occlusal view revealed the volume maintained with
the soft-tissue cervical contours (a), and the lateral retracted view revealed an excellent soft-tissue emergence profile (b).
Fig. 30b: The occlusal view revealed the volume maintained with
the soft-tissue cervical contours (a), and the lateral retracted view revealed an excellent soft-tissue emergence profile (b).