Fig. 1: Initial situation: severe bone defects and implant in situ.
Fig. 2: Micro-osteoperforation in order to enhance bone formation.
Fig. 3: 3-D modelling of NanoBone.
Fig. 4: Application of pericard membrane.
Fig. 5: New bone around implants.
Fig. 6: Detail of new bone formation.
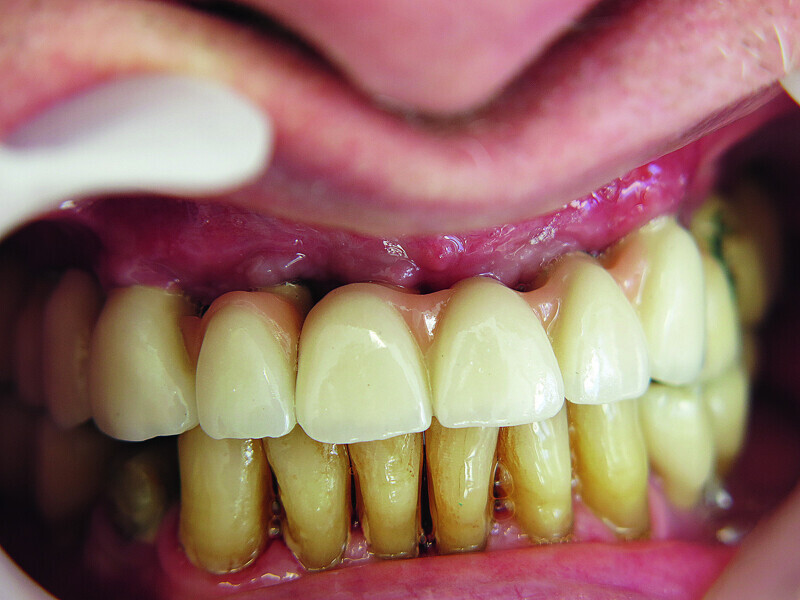
Fig. 7: Situation after treatment.
Fig. 9: HELBO laser therapy in order to reduce bacteria.
Fig. 10: 3-D augmentation using NanoBone.
Fig. 11: Post-op dental panoramic tomogram.
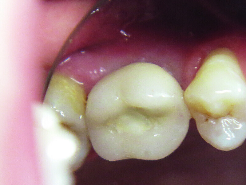
Fig. 12: Screwed on superstructure.
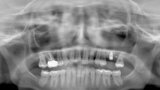
Fig. 13: Dental panoramic tomogram showing superstructure.
Fig. 14: Dental panoramic tomogram of initial situation.
Fig. 15: Implant fixed with pins.
Fig. 16: Augmentation and sinus elevation.
Fig. 17: Use of membrane. Pins visible.
Fig. 18: New bone around implant.
Fig. 19: Pin embedded in new bone.
Fig. 20: Integrated implant.
Fig. 21: Final situation.