Fig. 1: Pre-op occlusal view.
Fig. 2: Pre-op facial view.
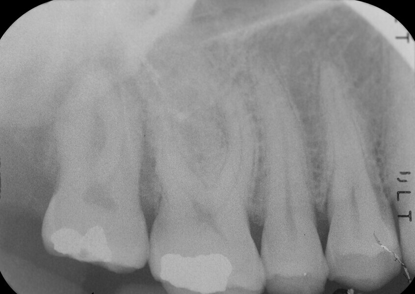
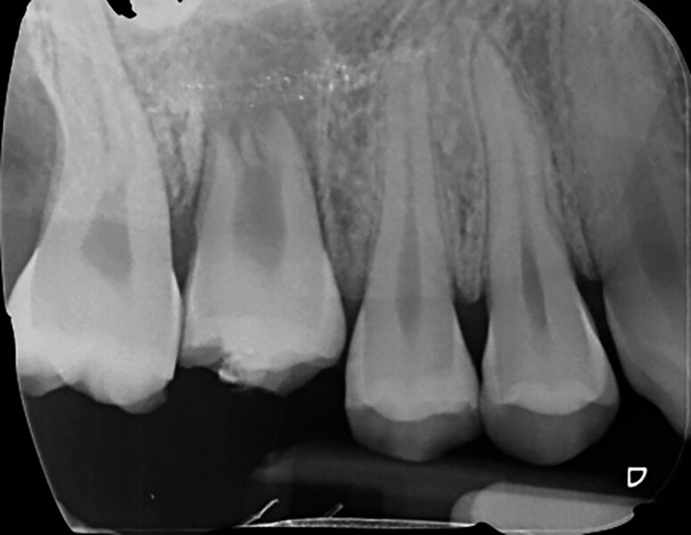
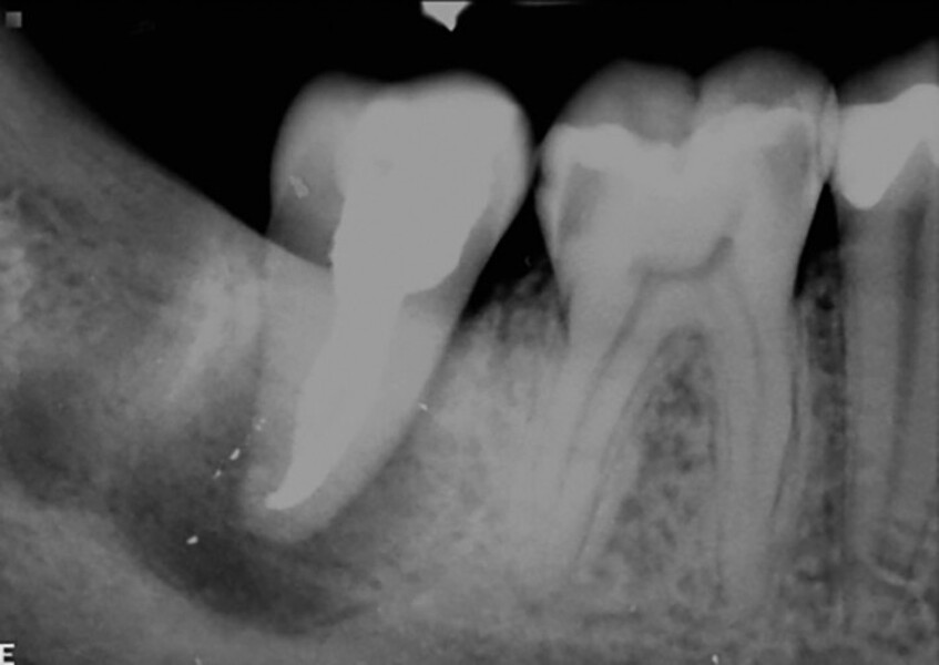
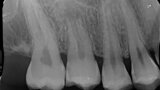
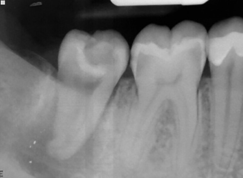
Fig. 3: Pre-op periapical radiograph.
Fig. 4: Pre-op CBCT scan, pseudo-panoramic view.
Fig. 5: Pre-op CBCT scan, sections.
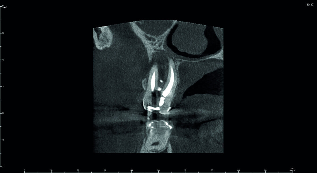
Fig. 6: Pre-op CBCT scan, detailed section of the maxillary second molar.
Fig. 7: Pre-op CBCT scan, coronal and sagittal views.
Fig. 8: Transplanted tooth sutured, immediately after surgery.
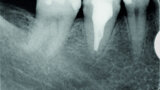
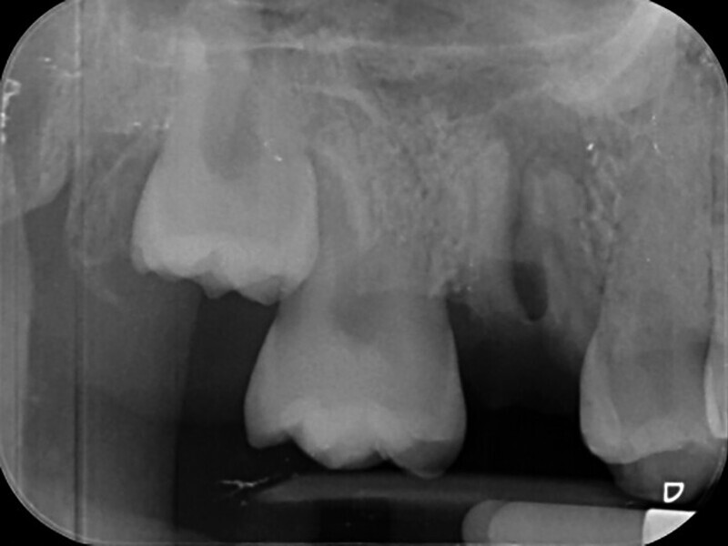
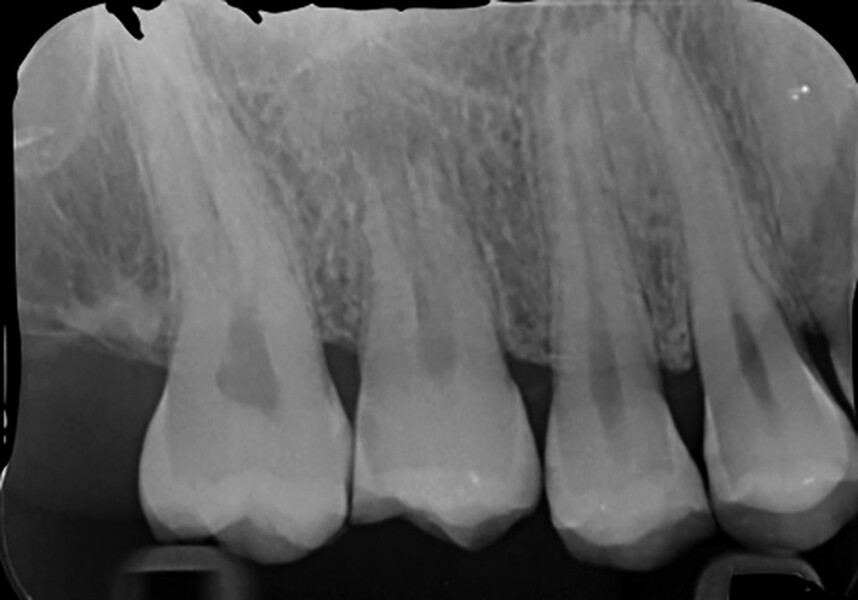
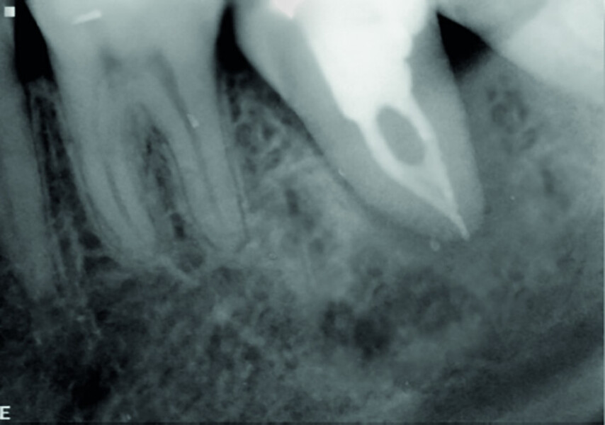
Fig. 9: Post-op periapical radiograph.
Fig. 10: Two weeks after transplantation.
Fig. 11: Four weeks after transplantation.
Fig. 12: Pulp chamber floor perforation, immediately after extraction.
Fig. 13: Pulp chamber floor perforation, tooth cleaned.
Fig. 14a: Clinical image: Pre-op.
Fig. 14b: Clinical image: Tooth #38 positioned in extraction site #47.
Fig. 14c: Clinical image: Extracted, fractured tooth #47.
Fig. 14d: Clinical image: Control after one month.
Fig. 15a: Radiograph: Pre-op panoramic.
Fig. 15b: Radiograph: Immediately after transplantation.
Fig. 15c: Radiograph: One-year recall.
Fig. 15d: Radiograph: Twelve-year recall.
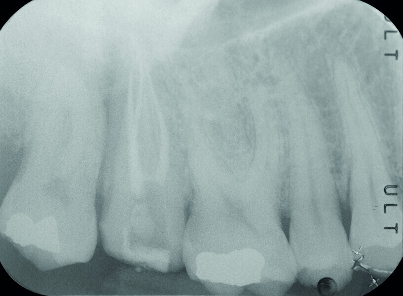
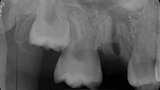
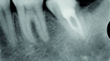
Fig. 16a: Pre-op periapical radiograph.
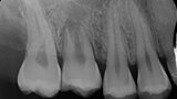
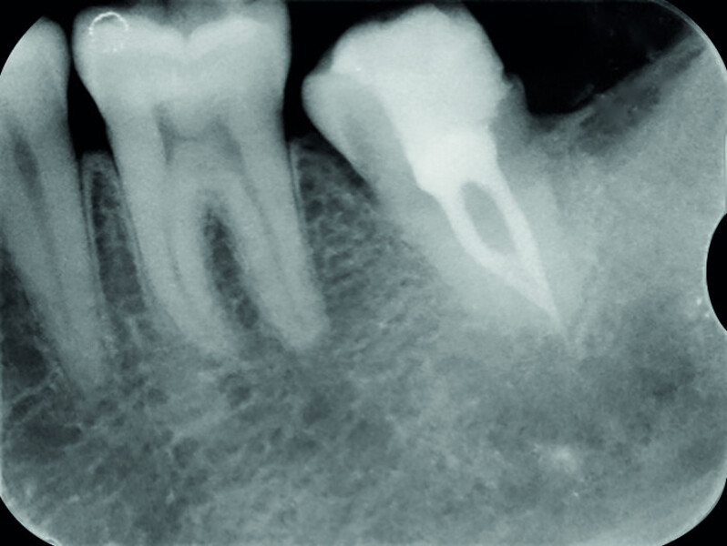
Fig. 16b: Radiograph at the one-year recall.
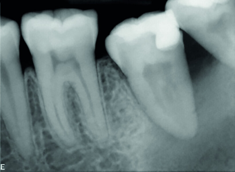
Fig. 16c: Radiograph at the 11-year recall.
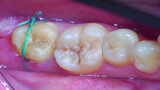
Fig. 16d: Clinical image after 11 years of function.
Fig. 17a: Clinical images: Extraction site of fractured tooth #47.
Fig. 17b: Clinical images: Tooth #48 positioned in the extraction site.
Fig. 17c: Clinical images: Two weeks after surgery, before suture removal.
Fig. 17d: Clinical images: Eight-year recall.
Fig. 18a: Radiographs: Pre-op panoramic.
Fig. 18b: Radiographs: Immediately after transplantation.
Fig. 18c: Radiographs: One-month recall, after endodontic treatment.
Fig. 18d: Radiographs: Eight-year recall.
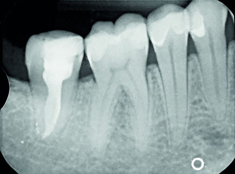
Fig. 19a: Radiographs: Pre-op periapical.
Fig. 19b: Radiographs: Immediately after transplantation.
Fig. 19c: Radiographs: One-year recall.
Fig. 19d: Radiographs: Two-year recall.
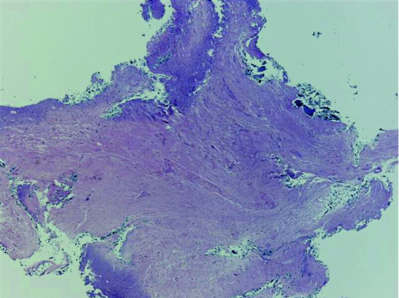
Fig. 20: Tissue removed from the endodontic space three months after transplantation (H&E stain; 2× magnification).
Fig. 21: Tissue removed from the endodontic space three months after transplantation (H&E stain; 4× magnification).