Search Dental Tribune

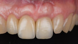
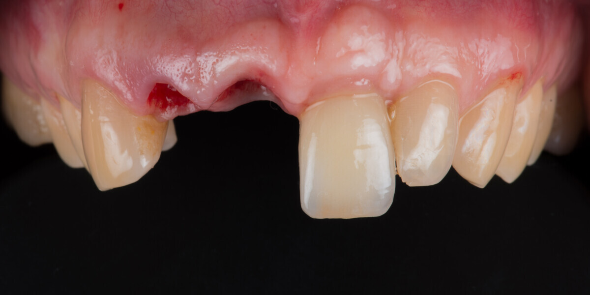
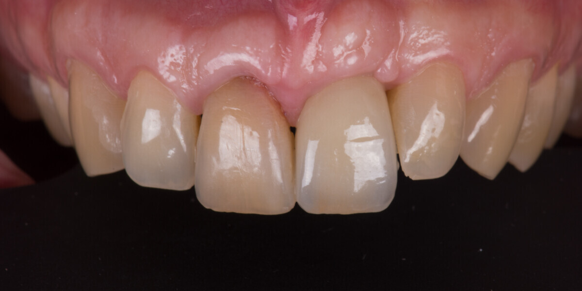
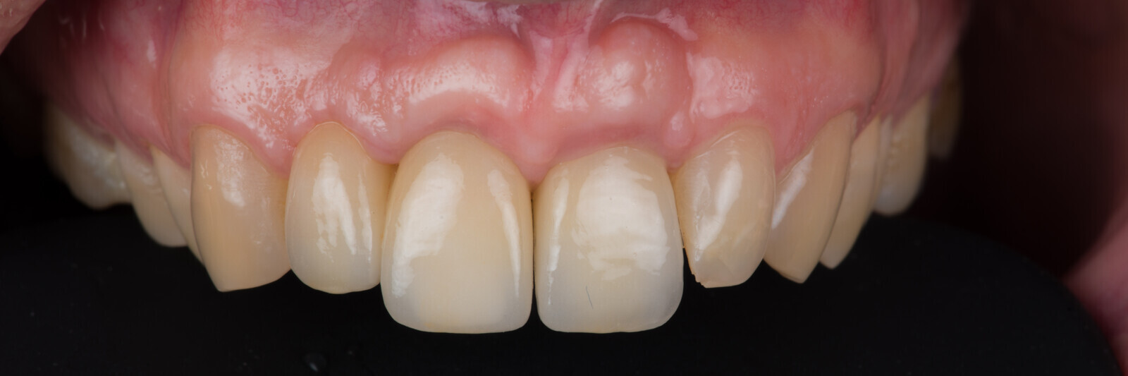
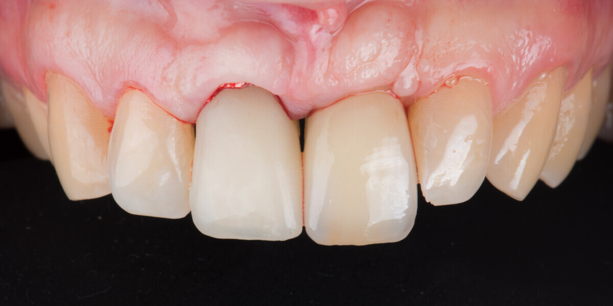
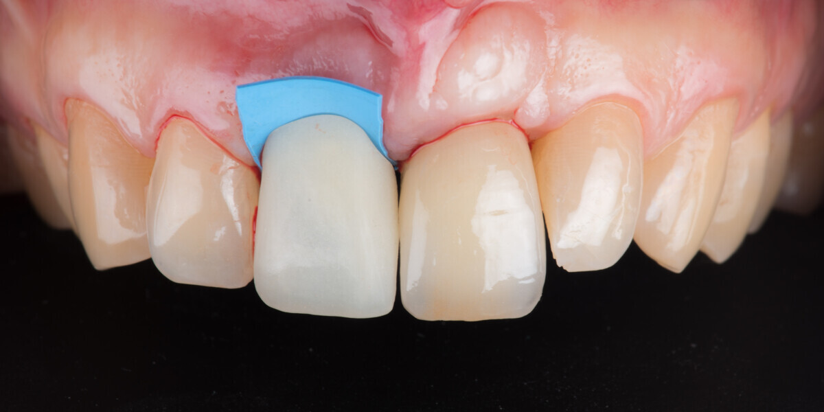
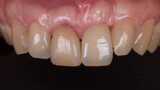
Immediate placement and restoration of a Straumann BLX implant replacing maxillary incisors

advertisement
advertisement