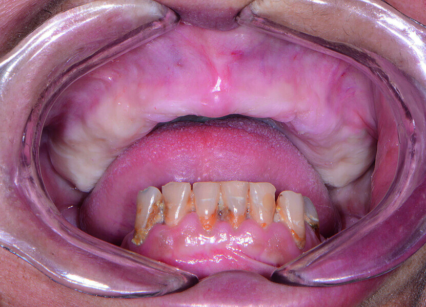
Fig. 1: Pre-op retracted view.
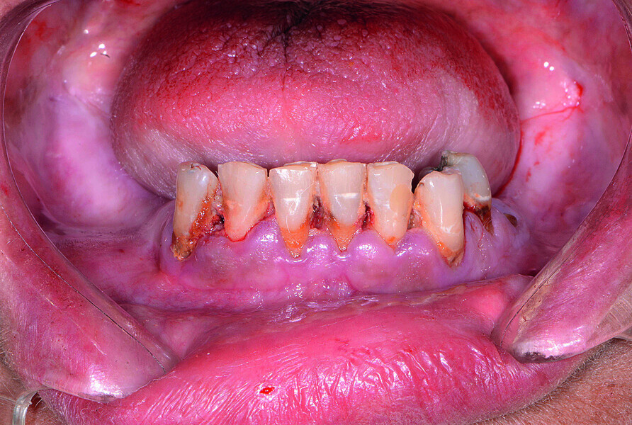
Fig. 2: Pre-op retracted view without denture.
Fig. 3: Proposed treatment of maxillary arch.
Fig. 4: Proposed treatment of mandibular arch.
Fig. 5: Dentofacial analysis of proposed implants in maxillary arch.
Fig. 6: Dentofacial analysis of proposed implants in mandibular arch.
Fig. 7: Surgical guide for maxillary implants.
Fig. 8: Surgical guide for mandibular implants.
Fig. 9: Placement of maxillary surgical guide.
Fig. 10: Paralleling pins placed.
Fig. 11: Hahn dental implant being inserted.
Fig. 12: Healing caps placed.
Fig. 13: Mandibular arch anaesthetised.
Fig. 14: Mandibular surgical guide stabilised.
Fig. 15: Implants and healing caps with surrounding grafting.
Fig. 16: Immediate dentures with soft relining.
Fig. 17: Maxillary ridge four months post-op.
Fig. 18: Mandibular ridge four months post-op.
Fig. 19: Inclusive CAD/CAM abutments.
Fig. 20: PMMA Smile Composer.
Fig. 21: Post-op retracted open-bite view.
Fig. 22: Post-op retracted closedbite
view.