Search Dental Tribune

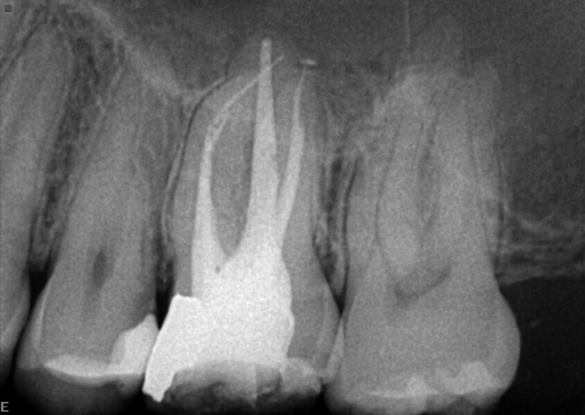
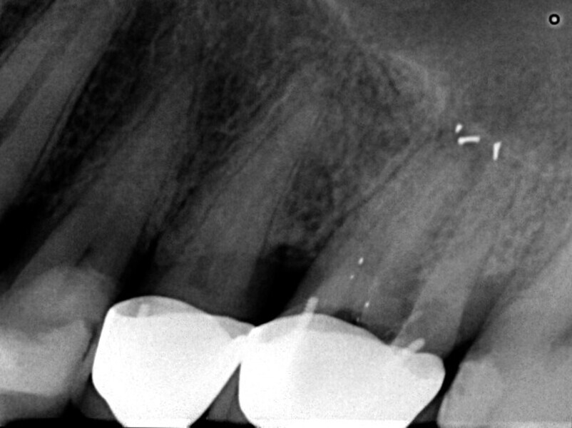
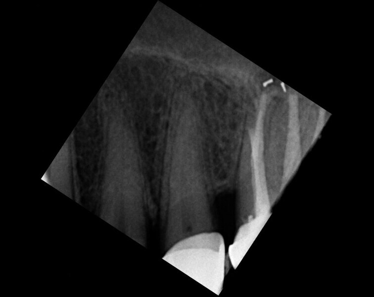
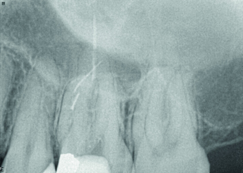
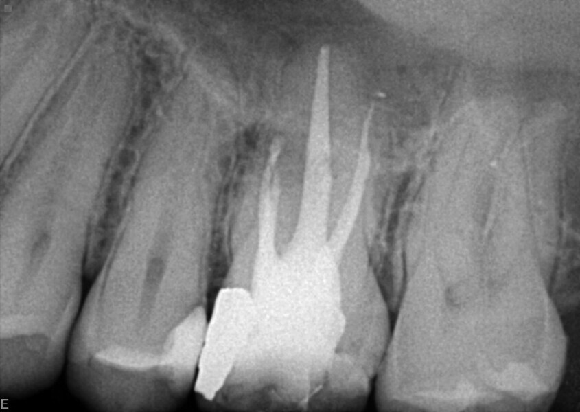
Maxillary sinus and root canal therapy complications

advertisement
advertisement