Search Dental Tribune

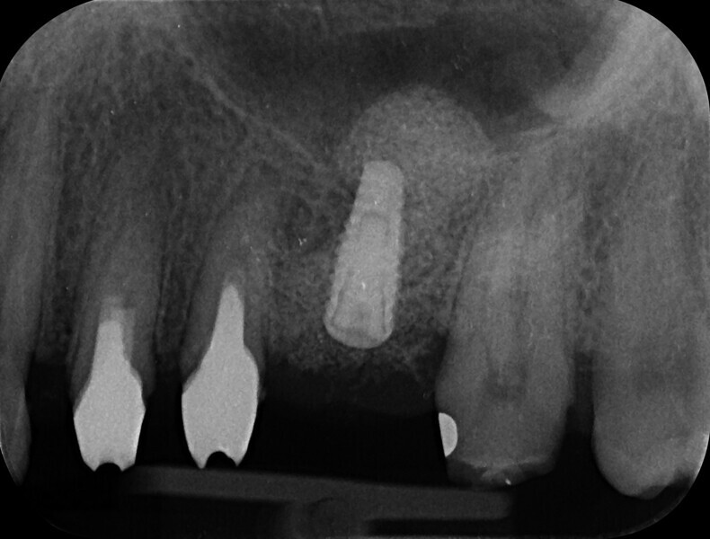
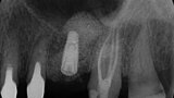
Minimally invasive root canal shaping—A new protocol

advertisement
advertisement