Fig. 1: Pre-scan for temporary restoration. Three-dimensional proprietary formats DCM (3Shape) and CDT (Sirona) can be imported in STL format in exocad open software after conversion and exported for fabrication (3D printing or milling) of the provisional restorations.
Fig. 2: TRIOS 3 color (3Shape) pre-scan.
Fig. 3: Bonding of a fibre-reinforced composite post under a rubber dam (LuxaCore Dual, DMG).
Fig. 4: Creating eggshell temporaries for tooth #45 with the exocad provisional module.
Fig. 5: 3D printing of the temporary crown with E-Dent 400—
biocompatible, CE-certified Class IIa (described as generally invasive products with a short-term application, validated up to one year in the mouth by the manufacturer) and 3D printed support structure.
Fig. 6: Temporary crown on tooth #45 set in the mouth.
Fig. 7a: 3D printed model for fabrication of the stratified zirconia crown in the laboratory (a). Zirconia crown set in the mouth (b).
Fig. 7b: 3D printed model for fabrication of the stratified zirconia crown in the laboratory (a). Zirconia crown set in the mouth (b).
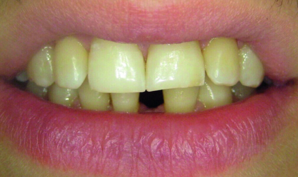
Fig. 8: Initial clinical situation: tooth #31 is missing.
Fig. 9a: Positioning of the insertion angle of the future preparation (a). Adjustment of the thickness of the walls of the temporary bridge (b).
Fig. 9b: Positioning of the insertion angle of the future preparation (a). Adjustment of the thickness of the walls of the temporary bridge (b).
Fig. 10: Temporary FDP milled (dentallgroup.eu).
Fig. 11a: Preparation of vital teeth #31 to 42 bridge abutment (a). Digital impressions (CEREC 3.85) (b).
Fig. 11b: Preparation of vital teeth #31 to 42 bridge abutment (a). Digital impressions (CEREC 3.85) (b).
Fig. 12: Trial of temporary bridge,
milled with PMMA Tempomill Vario (ZMT).
Fig. 13a: Anterior temporary crown printed using a preliminary CEREC 3-D Redcam impression. CAD of the IPS e.max FDP on CEREC inLab 4.3 (a).
Bonded IPS e.max bridge (b).
Fig. 13b: Anterior temporary crown printed using a preliminary CEREC 3-D Redcam impression. CAD of the IPS e.max FDP on CEREC inLab 4.3 (a).
Bonded IPS e.max bridge (b).
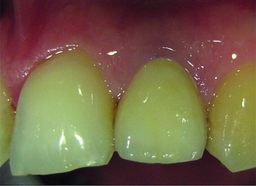
Fig. 14: Initial view: coloured, devitalised tooth #22.
Fig. 15a: Design of the provisional prosthesis, margins set; the irregular initial state of
tooth #22 could be adjusted virtually (a). 3D PICO2 printer (b).
Fig. 15b: Design of the provisional prosthesis, margins set; the irregular initial state of
tooth #22 could be adjusted virtually (a). 3D PICO2 printer (b).
Fig. 16: With 3D printing, different shapes of the same tooth can be printed at the same time without additional time or cost.
Figs. 17a & b:
Temporary crown printed in 3D set in the mouth (a). Temporary printed restoration after glossing (b).
Fig. 18a: Zirconia crown on a printed model (a). Crown set in the mouth (b).
Fig. 18b: Zirconia crown on a printed model (a). Crown set in the mouth (b).
Fig. 19: Virtual simulation on Meshmixer: mirror 3D duplication of initial situation of teeth #21, 22, 23 and 24 to replace teeth #11, 12, 13 and 14.
Fig. 20a: SLA 3D printers presented at the 2017 IDS: XFAB printer (a) and Formlabs’ Form 2 printer (b).
Fig. 20b: SLA 3D printers presented at the 2017 IDS: XFAB printer (a) and Formlabs’ Form 2 printer (b).
Fig. 21a: 3D printing with Form 2 resin for a complete removable prosthesis (denture base and denture teeth). Denture tooth resin is used for both prosthetic teeth for removable prostheses and temporary teeth.
Fig. 21b: 3D printing with Form 2 resin for a complete removable prosthesis (denture base and denture teeth). Denture tooth resin is used for both prosthetic teeth for removable prostheses and temporary teeth.
Fig. 22: Choice of shade and position of the graduation for a three-unit posterior bridge.
Fig. 23: Fully digital workflow for temporary 3D printed crown
manufacturing. Dental treatment (caries treatment, root canal therapy, post and core, etc.) can be done during 3D printing of the temporary crown.