Search Dental Tribune

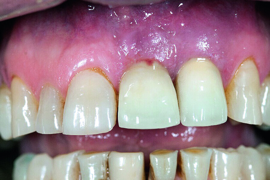
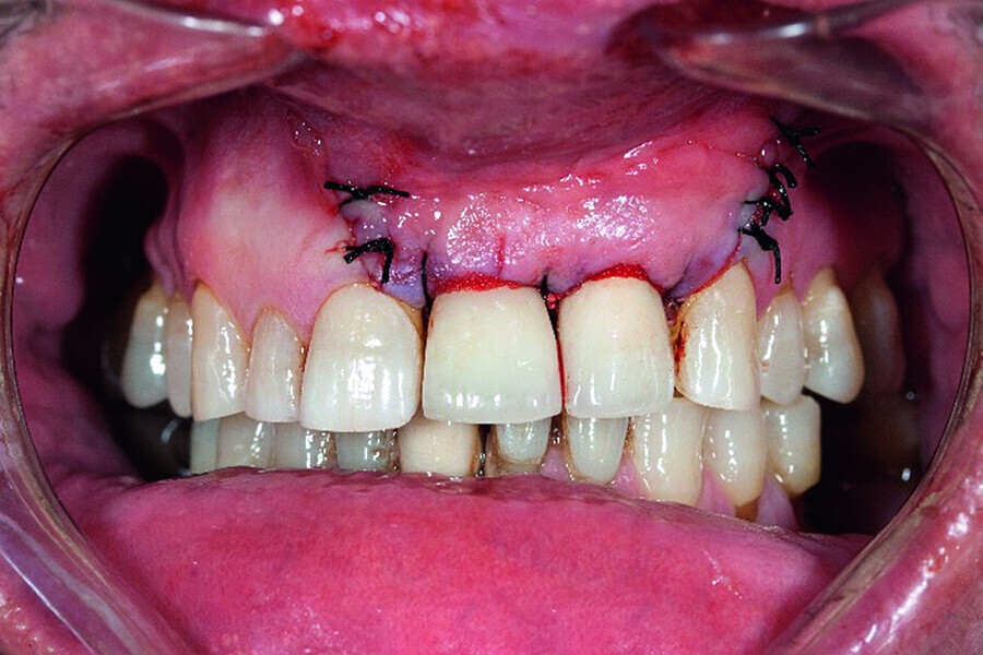
Peri-implantitis therapy

advertisement