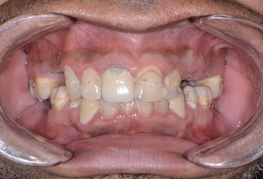
Fig. 1: Pre-op retracted frontal view.
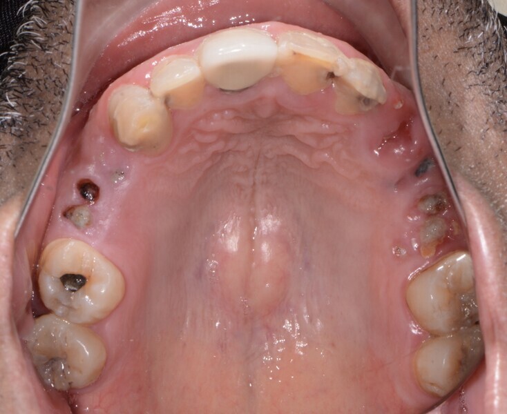
Fig. 2: Pre-op maxillary occlusal view.
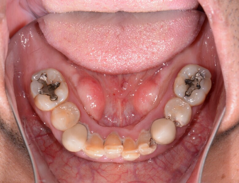
Fig. 3: Pre-op mandibular occlusal view.
Fig. 5: Pre-op panoramic view.
Fig. 6: Proposed treatment in CS 3D Imaging Software.
Fig. 7: Maxillary impression (Kettenbach).
Fig. 8: Mandibular impression (Kettenbach).
Fig. 9: 3DDX virtual treatment plan for the maxilla and mandible.
Fig. 10: Maxillary bone levelling guide.
Fig. 11: Maxillary implant surgical guide.
Fig. 12: Engage dental implant.
Fig. 13: Implants with corresponding multi-unit abutments.
Fig. 14: PMMA maxillary and mandibular restorations.
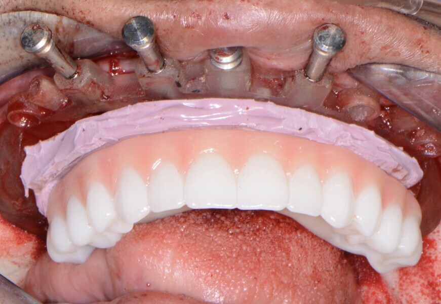
Fig. 15: Insertion of provisional restoration.
Fig. 16: Mandibular bone levelling guide.
Fig. 17: Mandibular implant surgical
guide.
Fig. 18: Implants with corresponding multi-unit abutments.
19: Maxillary and mandibular fixed provisional restorations.
Fig. 20: Post-op panoramic view.