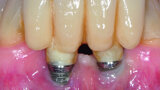
Fig. 1a: Implant in position #14 affected by peri-implantitis: periimplant probing a) with the prosthetic crown in situ and b) after prosthetic crown removal.
Fig. 1b: Implant in position #14 affected by peri-implantitis: periimplant probing a) with the prosthetic crown in situ and b) after prosthetic crown removal.
Fig. 2: Radiographic examination of the implant.
Fig. 3: Excess resin cement around the implant.
Fig. 4a: Peri-implant home care with a) AirFloss (Philips), b) X-Floss (ROEN) and c) interdental brush (TePe).
Fig. 4b: Peri-implant home care with a) AirFloss (Philips), b) X-Floss (ROEN) and c) interdental brush (TePe).
Fig. 4c: Peri-implant home care with a) AirFloss (Philips), b) X-Floss (ROEN) and c) interdental brush (TePe).
Fig. 5a: Professional peri-implant biofilm removal by a) AIRFLOW with erythritol powder (PLUS powder, EMS), b) PERIOFLOW with PLUS powder and c) with PEEK tip (PI, EMS).
Fig. 5b: Professional peri-implant biofilm removal by a) AIRFLOW with erythritol powder (PLUS powder, EMS), b) PERIOFLOW with PLUS powder and c) with PEEK tip (PI, EMS).
Fig. 5c: Professional peri-implant biofilm removal by a) AIRFLOW with erythritol powder (PLUS powder, EMS), b) PERIOFLOW with PLUS powder and c) with PEEK tip (PI, EMS).
Fig. 6: Improper planning led to poor performance.
Fig. 7: Careful removal of excess cement after prosthesis cementation using a PEEK tip (PI).
Fig. 8: Careful removal of excess cement with dental floss after prosthesis cementation.