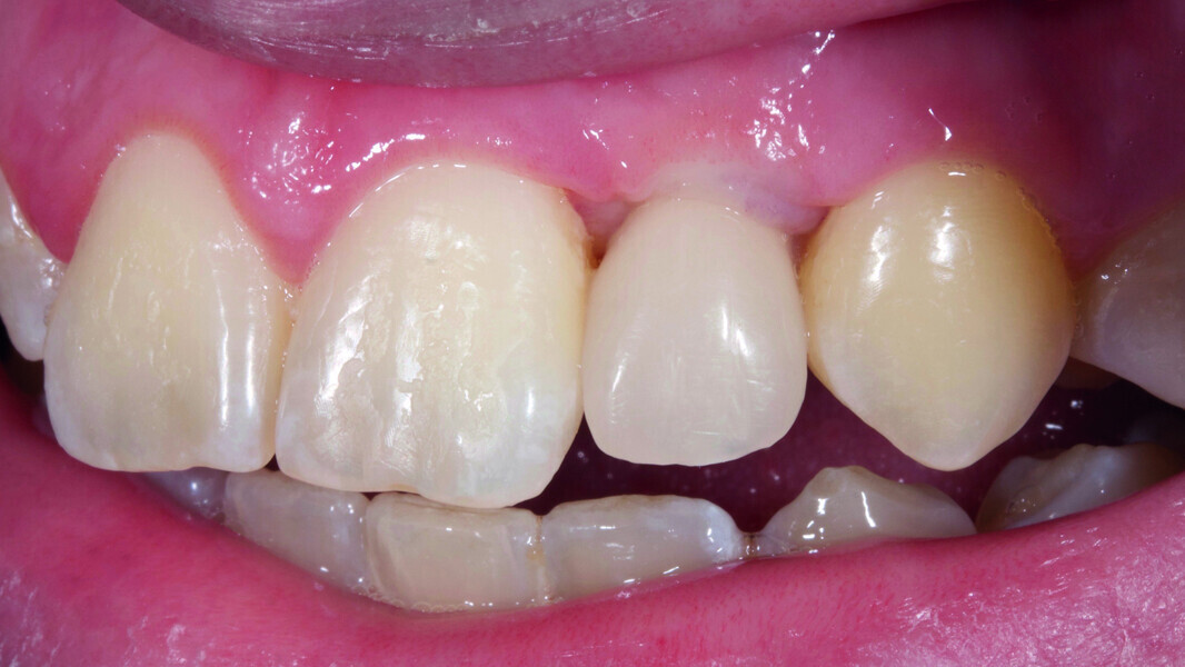
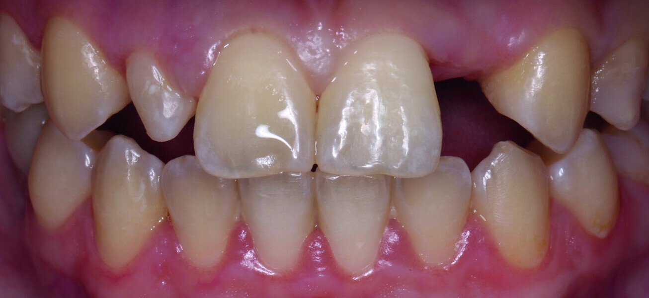
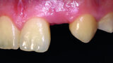
Fig. 1: The patient’s upper teeth before treatment.
Fig. 2: The patient’s upper teeth before treatment.
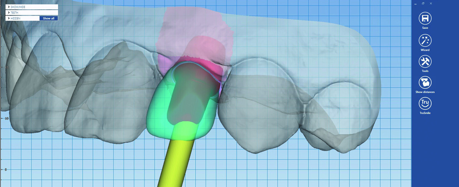
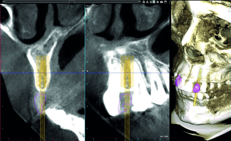
Fig. 3: Digital implant and surgical guide planning in Planmeca Romexis software.
Fig. 4: Digital implant and surgical guide planning in Planmeca Romexis software.
Fig. 5: Surgical guide was fabricated for maximum precision.
Fig. 6: Successful placement of the implant.
Fig. 7: Successful placement of the implant.
Fig. 8: Temporary crown was installed to support the formation of soft tissues.
Fig. 9: Temporary crown was installed to support the formation of soft tissues.
Fig. 10: Temporary crown was installed to support the formation of soft tissues.
Fig. 11: Crown lengthening was performed on tooth #12.
Fig. 12: Crown lengthening was performed on tooth #12.
Fig. 13: Crown lengthening was performed on tooth #12.
Fig. 14: The final restorations were designed in Planmeca PlanCAD Premium.
Fig. 15: The final restorations were designed in Planmeca PlanCAD Premium.
Fig. 16: The final restorations were designed in Planmeca PlanCAD Premium.
Fig. 17: The final restorations were designed in Planmeca PlanCAD Premium.
Fig. 18: The final restorations were designed in Planmeca PlanCAD Premium.
Fig. 19: The final restorations were designed in Planmeca PlanCAD Premium.
Fig. 20: Final restorations: Zirconium abutment screw with a ceramic facing and a fully anatomical Empress crown.
Fig. 21: Final restorations: Zirconium abutment screw with a ceramic facing and a fully anatomical Empress crown.
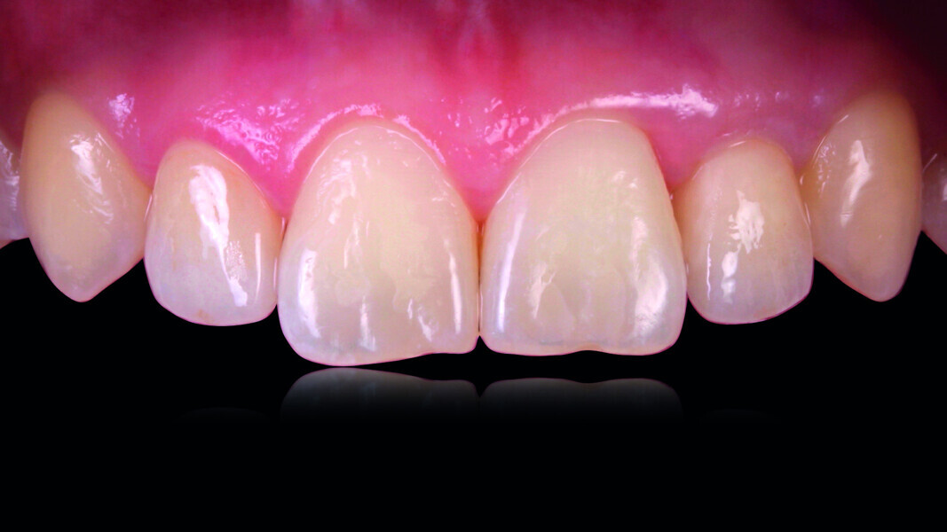
Fig. 22: Final outcome after the completion of the treatment.
Fig. 23: Final outcome after the completion of the treatment.
Fig. 24: Final outcome after the completion of the treatment.