Search Dental Tribune

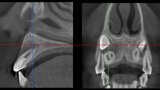
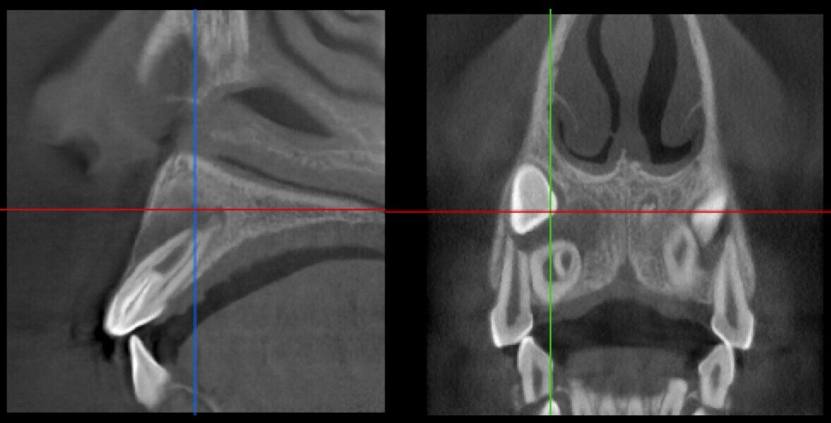
Use of 3D technology in the diagnosis and treatment of endodontic disease

advertisement
advertisement