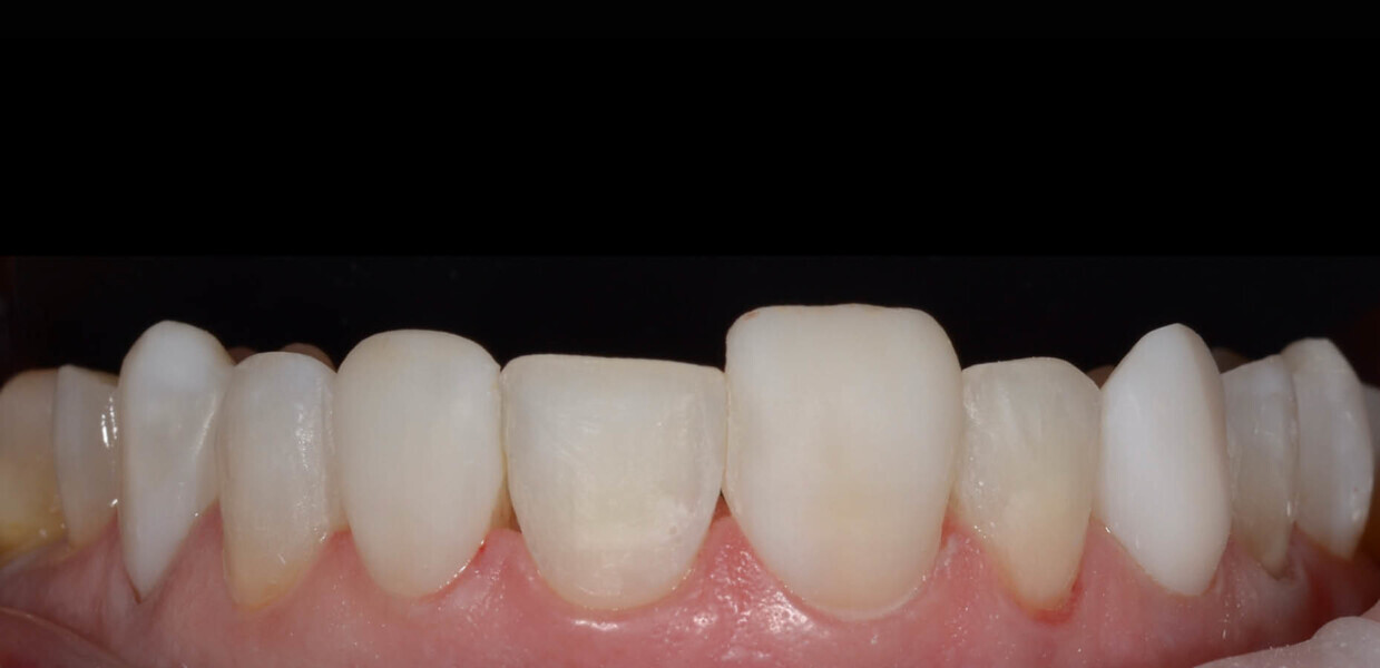
Fig. 1: The patient had worn teeth, visible abrasion, erosion and crowding in the mandibular arch.
Fig. 2: Orthodontic treatment was performed to align the full arch.
Fig. 3: A silicone mould was used for the flowable injection technique to restore the teeth with flowable composite. The silicone injection mould had injection channels prepared and was placed to check for proper fit.
Fig. 4: For this case, it was decided to use CLEARFIL MAJESTY ES Flow Low in Shade XW (Kuraray Noritake Dental), the properties and flowability of which made it ideal for a case like this.
Fig. 5: PTFE tape was used to separate the teeth.
Fig. 6: The restoration is completely additive; the teeth are not prepared at all. Total etching of the enamel is the best pretreatment in this situation. K-ETCHANT Syringe (35% phosphoric acid; Kuraray Noritake Dental) was applied for 10 seconds.
Fig. 7: A surgical suction tip was used to carefully remove the phosphoric acid gel and protect the isolations on the teeth, followed by rinsing off completely with water in the usual manner.
Fig. 8: Each tooth was gently air-dried for 10 seconds. CLEARFIL Universal Bond Quick was applied with a rubbing motion without additional waiting time, followed by drying of the treated surfaces by gentle blowing of air for more than 5 seconds until the bonding no longer moved.
Fig. 9: Each bonded tooth was light-polymerised for 10 seconds.
Fig. 10: Using the “Treat one, skip one” protocol, several teeth were restored simultaneously by injecting CLEARFIL MAJESTY ES Flow Low into the silicone mould.
Fig. 11: Situation directly after the first round of injections.
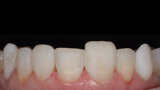
Fig. 12: Situation after restoring all of the teeth, before polishing.
Fig. 13: To create a natural gloss, the following polishing protocol was used: (1) Sof-Lex discs (3M); (2) CLEARFIL Twist DIA for Composite polishing wheels; (3) diamond paste; and (4) zinc oxide paste.
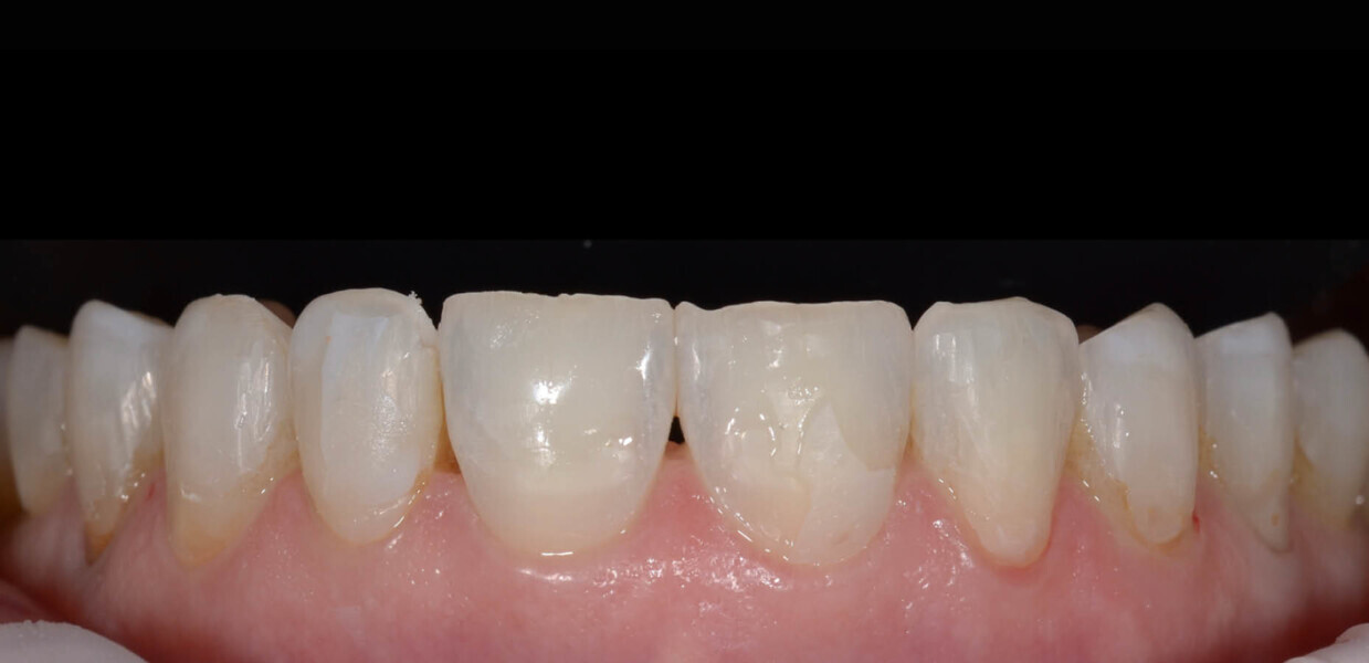
Fig. 14: This polishing protocol yielded high-shine results.
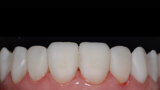
Fig. 15: Final restoration, immediately after treatment.