The possibility of replacing a tooth with a dental implant has considerably expanded the range of therapies in patients who are missing some or all of their natural teeth. Nowadays, osseointegration of the implant is highly predictable, and the appropriate position of the implant is primarily determined by the prosthetic requirements.1–4 The digitalisation of dentistry has fundamentally altered and revolutionised many traditional workflows.
Digital process chains now make it possible to merge CBCT scans with surface data sets as well as to plan the optimal positioning of the implant virtually prior to surgery. Surgical guides are usually employed to transfer the virtually planned position of the implant to the clinical situation intra-operatively.5 Alongside conventional production by means of a subtractive process, the additive technique for the production of surgical guides is increasingly finding application. The most commonly used process in dentistry is stereolithography along with the technically related process of digital light processing (DLP).6
In addition to the positioning of the implants according to the prosthetic restoration, internal or external sinus lift can be planned in the CAD software and transferred with the aid of surgical guides. This can improve the preoperative briefing of the patient, minimise the surgical risk and achieve a predictable result. The following case presents a corresponding workflow with a focus on the planning and 3D printing of the surgical guide.
Fig. 1: Before treatment. Provisional bridge from tooth #13 to tooth #16.
Case presentation
A 56-year-old female patient presented to our outpatient department with a Kennedy Class II, missing teeth #14 and 15, and requested closure of the gap. Her existing restoration was a provisional bridge from tooth #13 to tooth #16 (Fig. 1). The patient’s general medical history did not reveal any abnormalities. The patient was informed of the available treatment options, taking her general medical and dental history into consideration. In light of the patient’s request for a fixed denture, the options were a bridge from tooth #13 to tooth #16 or implants in regions #14 and 15 with subsequent crown restoration of the implants and tooth #16. Based on the integrity of tooth #13, the patient opted for an implant restoration. This was followed by comprehensive briefing on the clinical procedure and the taking of a CBCT scan and an impression of the situation.
Treatment planning
Preference should always be given to a CBCT scan with a small field of view (CS 9300, Carestream Dental; 5 × 5 × 5 cm, 78 kV, 6.3 mA, 20 seconds). This makes it possible to reduce the patient’s exposure to radiation and achieve a smaller voxel size, which equates to a higher level of detail. A cotton roll is inserted in the buccal region for better matching of the DICOM and STL data sets via the soft tissue in the CAD software. The STL data set is obtained by means of an intra-oral scanner or in-laboratory scanning of the plaster model.
The prosthetic restorations were first designed in planning software (Implant Studio, 3Shape). The DICOM volume data set (from the CBCT scan) was then merged with the STL surface data set (from the intra-oral scan; Fig. 2), and the implants were aligned on the basis of the prosthetic restorations (Fig. 3).
Fig. 2: Merging of the DICOM volume data set with the STL surface data set.
Figs. 3a & b: Alignment of the implants on the basis of the prosthetic restorations.
The vertical dimension in region #14 was 10.5 mm and decreased distally from 5 mm to 7 mm in region #15. Straumann Standard Plus implants were planned for region #14 (3.3 × 10.0 mm) and region #15 (4.3 × 8.0 mm). The use of implants of these lengths would require an internal sinus lift.
In order to allow guided preparation of the osteotomy to just before the maxillary sinus and the Schneiderian membrane, implant #15 was moved coronally in the planning software and its length shortened. The planning was completed with the creation of the surgical guide and the corresponding drilling protocol.
Production of the surgical guide
Fig. 4: Surgical guide aligned and furnished with supporting structures in the software.
Importing the STL surgical guide data set into the corresponding nesting software makes it possible to align the surgical guide and furnish it with supporting structures (Fig. 4). The slicing of the surgical guide is performed automatically based on the material to be printed and the printer. In this case, we used the transparent 3D-printing material V-Print SG (VOCO) in combination with the D20 II DLP printer (Rapid Shape; Fig. 5). Printing is followed by post-processing, involving ultrasonic cleaning in isopropanol and light polymerising, to achieve the final material characteristics of the surgical guide (Fig. 6). Once the supporting structures have been detached, the corresponding drilling sleeves can be inserted into the surgical guide (Fig. 7). Sterilisation of surgical guides printed with V-Print SG is possible and recommended. The absolute dimensional stability of the surgical guide with the drilling sleeves inserted is guaranteed without restriction.
Fig. 5: Surgical guide printed from V-Print SG.
Fig. 6: Finished surgical guide after post-processing.
Fig. 7: Surgical guide after the supporting structures had been detached, and the corresponding drilling sleeves before their insertion.
Implantation
After local anaesthesia, a mid-crestal incision was performed and a mucoperiosteal flap was raised (Fig. 8). The flap design should be chosen such that the flap will not affect the positioning of the surgical guide. The osseous situation corresponded to the CBCT findings of a buccally atrophied alveolar ridge. After pilot drilling, the fully guided preparation was performed in accordance with the drilling protocol (Fig. 9). The vertical drilling up to just before the maxillary sinus was controlled by the surgical guide. The cortical bone of the sinus floor could then be selectively fractured using osteotomes and the Schneiderian membrane lifted to 11 mm, and subsequently bone substitute material was inserted (Bio-Oss, Geistlich; Fig. 10). After placement of the implants (Figs. 11 & 12), the buccal atrophy in regions #14 and 15 was reconstructed with bone substitute material and covered with a resorbable membrane (Bio-Gide, Geistlich; Fig. 13). Saliva-proof wound closure was performed using e-PTFE suture material.
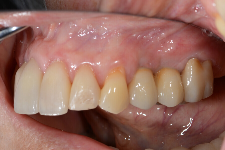
The provisional bridge was modified at the base to create space in case of swelling and inserted with methacrylate-based temporary luting material (Bifix Temp, VOCO). The screw-retained final restorations were fabricated from a multilayered monolithic zirconia (DD cubeX2 ML, Dental Direkt; Fig. 14).
Fig. 8: After the mid-crestal incision before raising the mucoperiosteal flap.
Fig. 9: Fully guided preparation being performed in accordance with the drilling protocol.
Fig. 10: Insertion of bone substitute material.
Fig. 11: Placement of the implants in regions #14 and 15.
Fig. 12: Post-op radiograph showing the implants in regions #14 and 15.
Fig. 13: Resorbable membrane and bone substitute material prior to wound closure.
Fig. 14: Screw-retained final restorations.
Discussion
Placement of an implant in a suboptimal position can have effects on the osseointegration, cleanability and function of the implant. In addition to aesthetic compromises in the prosthetic restoration, an inadequate implant position may be associated with functional issues and an increased risk of peri-implantitis.7, 8
In order to achieve a prosthetically and biologically adequate implant position, surgical guides are used nowadays to transfer digital planning to reality. The materials used for the printing of surgical guides are usually methacrylate-based and differ in their properties, such as the modulus of elasticity. The precision of guided implant surgery is usually defined as the discrepancy between the planned and actual postoperative clinical position of the implant. Equally good results in transfer precision have been obtained in studies with milled and printed guides in edentulous spaces such as in the presented case.9, 10 Sterilisation at 135 °C for 5 minutes had no significant effect on the material used.9 However, the surgical guide material and printer used did have a significant effect.9 In in vivo studies, deviations have been evaluated with implants placed with surgical guides and been found to be significantly below the deviations using freehand procedures.11 In addition to positioning, surgical guides facilitate the procedure for the surgeon, as demonstrated in this case. Corresponding planning allows guiding of the drill up to just before the maxillary sinus, allowing more efficient fracturing of the cortical bone of the maxillary sinus floor with an osteotome and lifting of the Schneiderian membrane. This shortens the overall duration of the surgery, making it more agreeable for the patient.
Success—this word is so simple yet means something different to everyone. To one person, success relates to economics and producing as much as possible. ...
MURCIA, Spain: The World Health Organization annually publishes data on defined daily dose per 1,000 inhabitants per day (DID) for antibiotics, allowing ...
Maintaining lip volume through collagen stimulation is essential for achieving youthful, plump lips. Using laser technology to stimulate collagen production...
NEW YORK, US: Studies have repeatedly shown that oral bacteria can contribute to periodontal disease. Now, researchers have sought to examine whether there ...
CANBERRA, Australia: A new report published by the Australian government on 4 October has exposed the appalling state of oral health and dental care across ...
Rarely does one find a renowned group of speakers such as Drs Gerald Niznick, Christian Coachman, Ady Palti, Ophir Fromovich and Ioannis Vergoullis all at ...
Education
Live webinar Wed. 29 April 2026 7:00 pm EST (New York)
To post a reply please login or register