Search Dental Tribune

Dr Gilman Yücel argues that reframing how clinicians describe the timing of orthodontic care can greatly influence parents’ clarity, trust and readiness to proceed with treatment at the most beneficial stage of a child’s development. (Image: Studio Romantic/AdobeStock; clinical images: Dr Gilman Yücel)

Mon. 24. November 2025

save

Healthcare is not just about treatment; it is about people—and the words we use have the power to change lives. In fact, the language we use has far-reaching effects, including influencing treatment decisions and shaping pain perceptions. In orthodontics, the phrase “early treatment” typically refers to interceptive treatment provided between the ages of 6 and 10, often after the mixed-dentition phase has begun. However, this term can sometimes give rise to unintended associations, namely, that such interventions may be too soon, unnecessary or overly aggressive. As orthodontists, paediatric dentists and general dental practitioners, we have all likely encountered parents who react with concern or hesitation when early orthodontic treatment is proposed.

These reactions are often not based on resistance to treatment itself but rather on confusion about whether such treatment is genuinely needed at that time. Parents might fear pressure to decide before their child’s development warrants it. This hesitation usually reflects a gap in how we as clinicians explain the rationale behind treatment timing. What we call “early treatment” is not the initiation of treatment prematurely. The term refers to carefully planned interventions that align with a child’s biological development and capitalise on periods of high growth potential.

What is often overlooked is that, by the age of 8, the jaws have already reached approximately 80%–90% of their adult size.1 This means that beginning so-called early treatment at age 7 or 8 is in biological terms already delayed with regard to many clinical objectives. Maxillary expansion, for instance, is most effective when initiated much earlier, between ages 4 and 7, when the primary arches are still intact and the anterior teeth remain unresorbed.2 The most successful outcomes are achieved during this window of accelerated growth, when skeletal structures are still highly responsive to change. At age 7 or 8, Dr Shereen Lim, expert in airway health in children, advises that “if you are looking at doing palate expansion of any sort, you are too late!”3 The word “early” can therefore be misleading, since it implies a beginning stage when in reality skeletal growth is already well underway, and waiting until age 7 or 8 to begin evaluating growth patterns might miss a crucial period when function, structure and development are deeply intertwined.4 Although the American Academy of Pediatrics has endorsed guidelines recommending that screening for oral health begin within the first year of life, these recommendations are still too often overlooked in daily practice.4 Indeed, this idea, although perhaps underemphasised in current discourse, is not new. In 1923, the dental surgeon Pierre Robin, the first to use a functional orthodontic appliance, was asked when we should begin treating patients and his reply was simple: when they are born.5

For that reason, I believe that a more appropriate and accurate term is “timely treatment”. This concept emphasises that intervention is not based solely on a child’s age but on the specific stage of dental and skeletal development when treatment will be most effective. Accordingly, we define “timely treatment” as orthodontic procedures initiated during the primary or early mixed-dentition phase, when the biological conditions are ideal for correcting malocclusion. Treatment at this stage typically offers several important advantages, including being less invasive and more affordable and proceeding more quickly and efficiently.6 The appliances used during this phase are also usually straightforward to apply and well tolerated over extended periods and do not interfere significantly with a child’s daily life.7 Perhaps most importantly, intervening at this point can reduce, or even completely eliminate, the need for more complex comprehensive treatment late in adolescence.

Figs. 1a–c: Pre-treatment records. Extra-oral photographs.

Figs. 1a–c: Pre-treatment records. Extra-oral photographs.

Fig. 1b

Fig. 1b

Fig. 1c

Fig. 1c

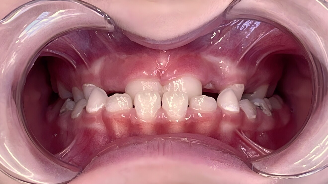
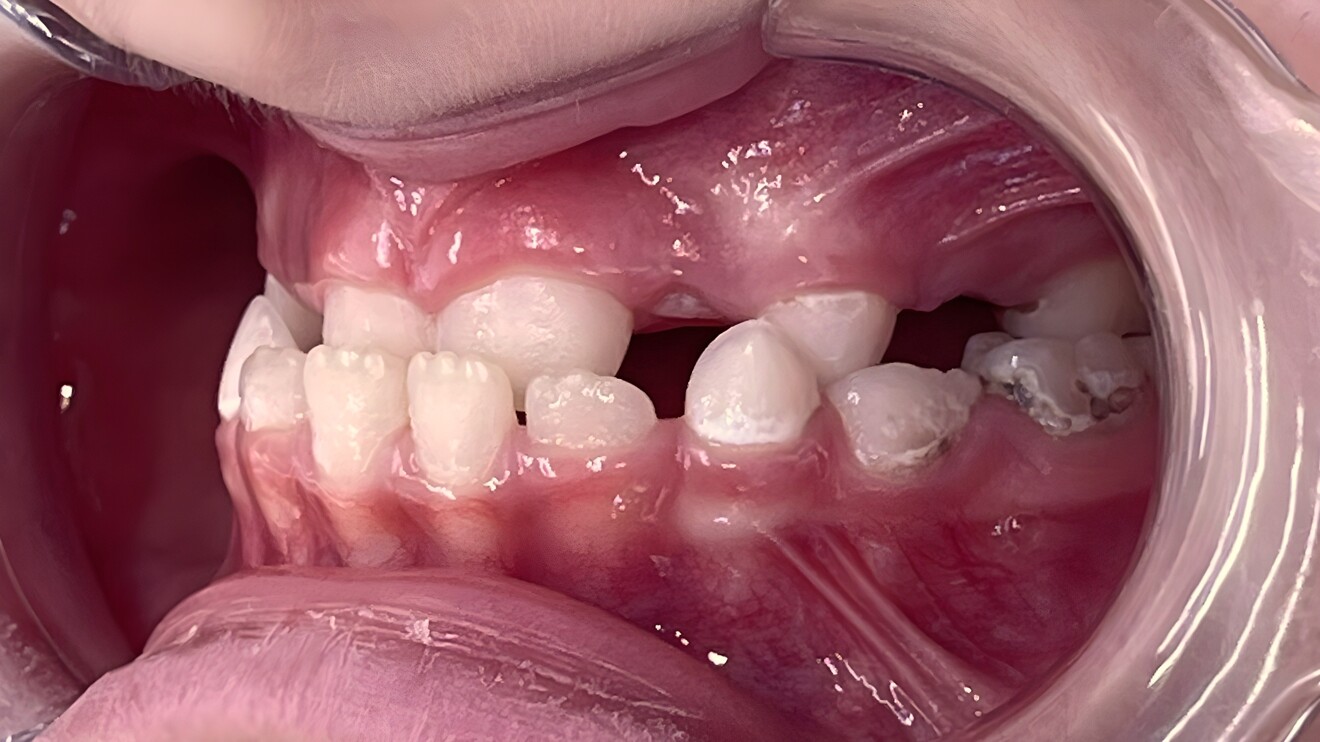
 Figs. 1d–h: Pre-treatment records. Intra-oral photographs.

Figs. 1d–h: Pre-treatment records. Intra-oral photographs.

Fig. 1e

Fig. 1e

Fig. 1f

Fig. 1f

Fig. 1g

Fig. 1g

Fig. 1h

Fig. 1h

Companies that develop aligner systems for children and adolescents continue to use the term “early treatment” in their marketing. Their innovations have undoubtedly advanced the field and created more opportunities to address malocclusion in its earlier stages. Such advances, however, do not negate the importance of the language we use. Continuing to refer to “early treatment” may unintentionally reinforce existing misconceptions about timing. Families, and sometimes even clinicians, may continue to question the appropriateness of beginning treatment at this point, particularly if the language suggests that it is somehow optional, experimental or ahead of schedule. By contrast, referring to “timely treatment” helps clarify that the decision is based on biological readiness not on arbitrary age markers. Reframing the concept in this way emphasises the strategic use of growth windows to maximise results and to simplify future treatment needs. It also fosters clearer communication with families, enhances acceptance of care and supports the broader goals of improved outcomes, lower long-term costs and increased access to early-phase treatment. These benefits are meaningful not only for individual patients but also for institutions and systems looking to deliver care more efficiently.

Therefore, our responsibility as clinicians is both to intervene appropriately and to communicate the timing of treatment in a way that builds clarity, trust and confidence among families. In my practice, I have observed how a small change in language, framing treatment as timely rather than early, can shape parents’ understanding and reduce uncertainty. Families often find the word “timely” more reassuring because it emphasises appropriateness and readiness rather than prematurity. In fact, if we ground our recommendations in developmental logic and express them in supportive language, parents are more likely to understand, accept and act on our advice. Through this paper, I aim to encourage colleagues to reflect on how we present treatment decisions, drawing on both my daily clinical experience and a practice-based inquiry in my own clinic. Even subtle choices in how we communicate can make a meaningful difference in parental decision-making and ultimately in the outcomes we achieve for growing patients.

Why words matter: Perceptions of clinicians, patients and parents shape decision-making

Effective communication is a critical component of quality healthcare, influencing not only patient satisfaction but also treatment adherence and health outcomes. When providers rely on overly technical language or adopt a dismissive tone, they risk alienating patients and creating confusion or mistrust. In contrast, communication that is clear, respectful and empathetic can foster trust, enhance understanding and empower patients to engage actively in their care. Given these impacts, it is essential for healthcare professionals to be intentional in how they communicate. By using language that resonates with patients, avoiding negative framing and demonstrating genuine empathy, providers can create more supportive and responsive clinical environments. In fact, there is a strong and well-documented positive relationship between a provider’s communication skills and a patient’s ability to follow through with medical recommendations and adopt preventive health behaviours.8 That is, treatment decisions are not made in a vacuum; rather, they are profoundly shaped by how patients and parents perceive the information they are given, perceptions that are directly influenced by the clarity, tone and framing of the clinician’s communication. For example, Albrecht et al. found that patients were significantly more inclined to participate in clinical trials when they trusted their physician and felt that the benefits and risks had been clearly and empathetically explained.9 This demonstrates that the very act of listening well and framing information supportively can shift decisions in meaningful ways.

“Continuing to refer to ‘early treatment’ may unintentionally reinforce existing misconceptions about timing.”

Similarly, Saha and Beach’s review of patient-centred communication showed that when clinicians communicate in ways that are transparent, responsive and respectful, patients are more likely to recall information accurately, adhere to treatment plans and report higher satisfaction with their care.10 However, research shows that patient-perceived orthodontic needs often differ significantly from objective clinical measures owing to the lack of the effective and patient-focused communication.11 Indeed, parents’ willingness to pursue orthodontic treatment correlates strongly with their understanding of its emotional, social and developmental benefits for their children.12 Without communication that both clarifies clinical need and conveys these broader benefits, parents are less likely to recognise the importance of treatment or to follow through with professional recommendations.

Importantly, these communication dynamics may even extend beyond patients and parents and influence the perceptions of healthcare professionals themselves.13 Paediatric dentists and general dental practitioners may be similarly affected by this orthodontic terminology. As they are frequently the initial referral source for orthodontic care, they can significantly influence families’ decisions based on their understanding and interpretation of terms like “early” versus “timely” treatment. Jolley et al. emphasise that when the benefits of intervention, such as preventing severe malocclusion, enhancing facial aesthetics or reducing the complexity of future treatment, are communicated in clear, positive and concrete terms, these professionals are more likely to refer patients promptly rather than opting for a wait-and-see approach.14 We must remember that our patients and their families are often unaware of the nuances that guide orthodontic decision-making. They are in many ways unknowingly dependent on our diagnostic judgement and our ability to manage care appropriately, whether that involves initiating timely treatment now or deferring it to an unknown time in the future. In this context, the words we choose are not just technical descriptions; they are the foundation of trust, understanding and effective action.

When is the right time?

Developmental milestones
The question of when to begin orthodontic treatment has been one of the most enduring discussions in the field, particularly when it comes to growing patients, and much of this debate stems from differing views on the effectiveness, stability and necessity of treating children before all their permanent teeth have erupted. Orthodontic treatment of the primary dentition is rarely undertaken, and neither clinicians nor the general public have shown any interest in it. However, there is growing evidence that not intervening on time may result in missed opportunities, primarily because the child’s growth could have been used to support better outcomes, and almost all types of malocclusions could benefit from timely treatment.15 Since most orthodontic treatment occurs after age 8, it can only impact about 10%–20% of jaw growth potential.1

However, only when the patient is growing can one be able to remove aetiologic factors, enlist natural growth forces, provide differential growth responses and obtain a balanced profile before eruption of most permanent teeth.16,17 Physically, timely treatment can redirect growth during peak developmental windows to prevent or correct asymmetries such as Class II or Class III malocclusion and crossbite.18,19 It facilitates dentoalveolar expansion, promotes balanced occlusion and uses primary teeth as anchorage, reducing trauma to permanent teeth and minimising the need for future surgical or complex interventions.20 Timely treatment also supports the normal development of vital oral functions, such as chewing, swallowing, breathing and speech, while helping eliminate habits like thumb-sucking or tongue thrusting that may disrupt function and growth.21

Figs. 2a–c: Post-treatment records. Extra-oral photographs.

Figs. 2a–c: Post-treatment records. Extra-oral photographs.

Fig. 2b

Fig. 2b

Fig. 2c

Fig. 2c

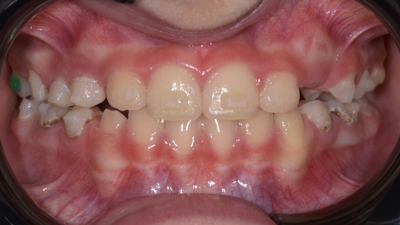
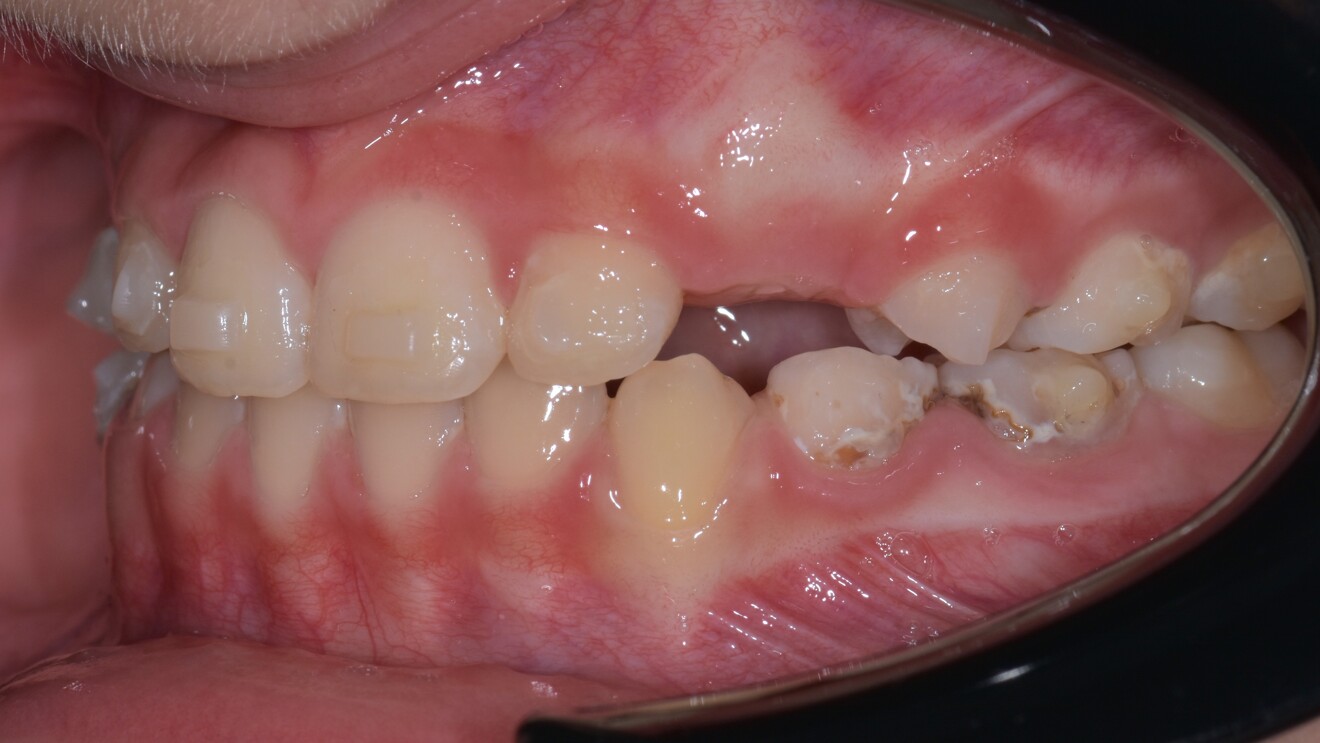
Figs. 2d–h: Post-treatment records. Intra-oral photographs.

Figs. 2d–h: Post-treatment records. Intra-oral photographs.

Fig. 2e

Fig. 2e

Fig. 2f

Fig. 2f

Fig. 2g

Fig. 2g

Fig. 2h

Fig. 2h

Timely treatment also eliminates the need for or reduces the costs of delayed orthodontic treatment22,23 because interventions delivered later are generally less effective and more resource-intensive. Indeed, the American Association of Orthodontists says that, “even if your child doesn’t need orthodontic treatment at age 7, taking them for their first visit allows the orthodontist to monitor their growth and avoid costly future problems with the jaws or teeth by detecting and treating orthodontic issues at the right time”. In fact, the efficacy of timely treatment in reducing the burden of malocclusion has been demonstrated in several studies, including a randomised control trial that showed that interceptive orthodontics during the mixed-dentition stage moved the majority (80%) of patients from a “medically necessary” treatment status to an “elective” treatment status.14 Moreover, Bernas et al. found that Phase I treatment can lead to reduced overall treatment costs and duration when it successfully eliminates the need for more complex treatment later.24 In this regard, a better understanding of the cost-effectiveness of orthodontics can help guide stakeholders involved in resource allocation decisions.16 While this has obvious beneficial implications for a large-scale health service, this information could also be used to inform treatment planning in small-scale dental practices and support more efficient, prevention-oriented delivery of care.

Timely treatment also contributes to better dental health by improving hygiene, lowering the risk of caries and periodontal issues, and supporting healthier outcomes,26 especially when aligners are used.27 Beyond the oral cavity, timely treatment can help manage systemic concerns such as mouth breathing and obstructive sleep apnoea, support better posture and nutrition, and improve facial muscle function and occlusal strength.28 Psychologically, it enhances facial aesthetics and self-esteem during formative years, minimising social stigma and building confidence.29

By improving function and comfort, it also contributes to a higher oral health-related quality of life and allows children to engage in daily activities with less interference.30 The simplicity and comfort of early-phase treatment increase acceptance and cooperation, fostering a more positive attitude towards oral care.19 Lastly, introducing orthodontic care in a gradual, age-appropriate manner reduces anxiety around future treatments and helps children become more receptive and cooperative as they grow older.31

Thus, given these clinical, developmental and psychosocial considerations, it is clear that we must be especially careful in how we convey treatment options to parents. With this in mind, we set out to examine whether subtle changes in language, specifically reframing “early treatment” as “timely treatment”, could influence parents’ acceptance of orthodontic care for their children. To observe how this small shift in terminology can shape real-world treatment decisions, we carried out a qualitative survey at our private orthodontic practice. With the aim of informing everyday clinical practice, this inquiry can offer insights into how word choice and communication style affect families’ interpretations of orthodontic needs and their decisions about whether to move forwards with care.

Fig. 3a: Pre-treatment cephalometric radiograph.

Fig. 3a: Pre-treatment cephalometric radiograph.

Fig. 3b: Post-treatment cephalometric radiograph.

Fig. 3b: Post-treatment cephalometric radiograph.

Our exploratory research

In this mini-study, we included 72 parents (74% mothers, 26% fathers) of children between the ages of 5 and 9 years (mean = 6.8, SD = 1.2), all of whom were considering orthodontic treatment for their child during the primary or early mixed-dentition stage. The families came to our private orthodontic clinic in Istanbul in Turkey between November 2024 and February 2025. At the time of their participation, none of the children had begun treatment. All children were clinically eligible for interceptive orthodontic care, and our aim was to examine whether parents would choose to start treatment depending on how the timing of treatment was communicated during the consultation.

At the start of each visit, we explained the general purpose of the study and asked parents for their consent. To test whether small changes in language would influence decision-making, we introduced two wording conditions during the consultation. We assigned parents to one of two groups based on the terminology our team used throughout the consultation. In the “early treatment” group, we used the conventional phrase “early orthodontic treatment” when discussing interventions in the primary or early mixed-dentition stage. In the “timely treatment” group, we replaced this phrase with “timely orthodontic treatment” while keeping all other explanations and information about diagnosis, procedures and goals identical. We used alternating scheduling blocks to assign families equally to each group, ensuring that the two groups were evenly distributed across clinic days, rather than relying on individual randomisation.

We made sure that the terminology was woven naturally into our normal way of speaking with families and never drew attention to the wording as noteworthy or as a basis for comparison. Everyone who interacted with parents, including the treatment coordinator, dental assistants and orthodontists, was instructed to stick with the assigned terminology based on the consultation block. Also, before starting the study, our team members completed a 1-hour training session that our whole team co-led with our in-house child development specialist and an external psychologist. In this session, we focused on how to present treatment recommendations in a way that was sensitive to the child’s age and emotionally supportive for parents, placing emphasis on clarity and confidence while avoiding any sense of pressure. Our aim was to make the language feel natural, consistent and reassuring as part of the overall clinical experience.

Fig. 4a: Pre-treatment panoramic radiograph.

Fig. 4a: Pre-treatment panoramic radiograph.

Fig. 4b: Post-treatment panoramic radiograph.

Fig. 4b: Post-treatment panoramic radiograph.

At the end of the consultation, all parents completed a short questionnaire. The demographic information collected reflected a largely middle to upper-middle socioeconomic profile: 64% of participants held at least a bachelor’s degree, and 59% reported household incomes above the national median. Forty-three per cent of the children were only children, and 57% had at least one sibling. Most parents (71%) had scheduled their orthodontic consultation independently, whereas 29% had been referred by a general dentist or paediatrician.

The questionnaire included items concerning parents’ expectations about orthodontic treatment and their beliefs about whether treatment was necessary. We asked about anticipated treatment duration, concerns related to comfort, cost and impact on daily routines, along with the reasons they believed that care might be needed (for example, crowding, bite problems, aesthetics, speech issues and recommendation from another provider). We also asked parents about their emotional response to the consultation (such as whether they felt reassured, worried or uncertain) and about how confident they felt about the information they had been given.

From these responses, we generated several outcome measures. Our primary behavioural outcome was whether parents chose to begin treatment within four weeks of the initial consultation, coded as a binary variable (1 = treatment initiated, 0 = not initiated). This decision served as the main end-point for evaluating whether the language used to describe treatment timing had had a meaningful effect on parental decisionmaking. We also drew the following additional outcomes from the questionnaire responses:

  1. how clearly parents felt the information in the consultation had been presented (1 = very unclear, 5 = very clear);
  2. how confident they felt about the orthodontist’s recommendation (1 = not confident at all, 5 = very confident);
  3. their emotional response, measured through separate ratings of reassurance and uncertainty (1 = not at all, 5 = very much); and
  4. the number of reasons they reported for seeking treatment, calculated by adding up selected options and coded open-ended responses.

We examined treatment initiation in relation to the terminology we used during the consultation, along with these questionnaire-based measures of communication clarity, emotional response and confidence in our treatment recommendation. We used these measures to compare the two terminology conditions and to look at patterns in treatment acceptance.

Treatment initiation by group
In the timely treatment group, 31 out of 36 parents (86.1%) initiated treatment, compared with 24 out of 36 parents (66.7%) in the early treatment group. This 19.4 percentage point difference suggests that even a small change in terminology may have had a meaningful effect on parents’ decision-making. While our in-house study was exploratory and not large enough to support formal hypothesis testing, the pattern we observed points to the important influence of how we frame treatment timing. Notably, parents in the timely treatment group chose treatment more often even though the clinical findings and recommendations were identical across both groups.

Perceived clarity and confidence
Parents in the timely treatment group also rated the consultation as clearer (mean = 4.58, SD = 0.54) compared with those in the early treatment group (mean = 4.21, SD = 0.63). Their confidence in our recommendation was likewise stronger (mean = 4.61 vs 4.15). Although both groups rated communication favourably overall, the timely treatment group showed greater consistency between what we explained and what they felt ready to act on. Open-ended comments reinforced this pattern: parents in the timely treatment group described our recommendation as “well timed” or “age appropriate”, whereas some in the early treatment group expressed doubts and felt that treatment could “wait a bit longer”.

Emotional response
When asked about their emotional response to the consultation, parents in the timely treatment group reported feeling more reassured (mean = 4.43) and expressed fewer lingering doubts or uncertainties than those in the early treatment group did (mean = 3.94). Importantly, no parent in either group reported feeling pressured or alarmed, indicating that both sets of consultations were delivered with care and that the difference came from the terminology itself rather than from how the recommendations were given.

Perceived treatment needs
Across both groups, the most common reasons parents gave for seeking treatment were crowding (63.9%), bite problems (45.8%), aesthetic concerns (30.6%) and speech issues (25.0%). However, parents in the timely treatment group identified, on average, more reasons for pursuing care (mean = 2.4) compared with those in the early treatment group (mean = 1.7). This may suggest that the timely framing encouraged parents to engage more deeply with the information we shared or that they perceived a stronger match between their child’s needs and the proposed timing of care.

“A small shift in language can reshape the perceived appropriateness and urgency of care through the emotional tone of the treatment conversation.”

Discussion and conclusion

The results of this mini-study suggest that the way we frame orthodontic treatment timing has a meaningful influence on parents’ decision-making. More parents exposed to the term “timely treatment” initiated care for their child within four weeks of the initial consultation than those who heard “early treatment”. This effect was not driven by differences in diagnosis, presentation or provider behaviour. Indeed, all clinical explanations remained constant. Instead, the difference appears to reflect how a small shift in language can reshape the perceived appropriateness and urgency of care through the emotional tone of the treatment conversation. Parents in the timely treatment group also reported higher clarity of and greater confidence in the orthodontist’s recommendation, as well as stronger emotional reassurance. These findings are consistent with the broader literature showing that treatment decisions are shaped as much by how recommendations are framed as by what is recommended. When language signals alignment with developmental readiness, rather than premature action, parents appear to feel more informed and more comfortable and be more willing to act.

These results take on particular significance when considered in the context of the growing population of children who remain untreated despite clear clinical need. There is a vast, often overlooked group of children who do not receive orthodontic care, not because of lack of access or of urgency but because clear conversations about their orthodontic care either do not occur or occur too late. Ambiguous communication, hesitancy, and use of misleading or overly cautious terminology by referring providers can delay recognition of when treatment is both appropriate and most effective. This can result in missed developmental windows, leading to more complex, prolonged and costly interventions later in life, if they occur at all.

By reframing the conversation around “timely treatment” and equipping clinicians and their teams with emotionally attuned, developmentally appropriate language, we can open the door to millions of growing patients and their families who might otherwise delay or decline needed care. These are not simply clinical cases; they are opportunities to improve outcomes, reduce future complexity, and expand the reach and impact of our practices. Importantly, the implications of this study extend beyond semantics. The findings signal a broader shift that orthodontics must embrace: the prioritisation of growthguided, patient-centred care that considers the emotional and cognitive needs of both the child and the parent. In this sense, “timely treatment” is not just a linguistic adjustment; it is a philosophy of care. When we reach the right patients at the right time and in the right way, everyone benefits. Children gain early confidence and oral function, families avoid prolonged, stressful treatments, and providers achieve stronger relationships and better outcomes.

As orthodontists, we have a unique opportunity and a responsibility to lead this shift, not just through innovation in clinical tools such as aligners and expanders but through how we communicate their use. The foundation of health is set in the first few years of life, and for this reason, we need to intervene early, at the first sign of an issue. Because of my belief in the value of this, I am pursuing this shift to timely intervention to optimise malocclusion, oral function, jaw and airway development, breathing, sleep and psychological well-being for children. By intervening on time, we are not merely correcting malocclusion; we are reinforcing positive behaviours, building trust in healthcare and helping growing patients actively participate in their long-term well-being.

Editorial note:

This article was published in aligners—international magazine of aligner orthodontics vol. 4, issue 2/2025. The list of references can be found here.

Topics:
Tags:
To post a reply please login or register
advertisement
advertisement