Nowadays, virtual planning and the assisted placement of implants in 3-D positions relative to the bone, soft tissue and final planned prosthesis are becoming the gold standard. In order to obtain such visualization, it is necessary to correctly match the anatomical and prosthetic data. The aim of this paper is to present a new extraoral chairside prosthesis scanning protocol for fully edentulous patients.
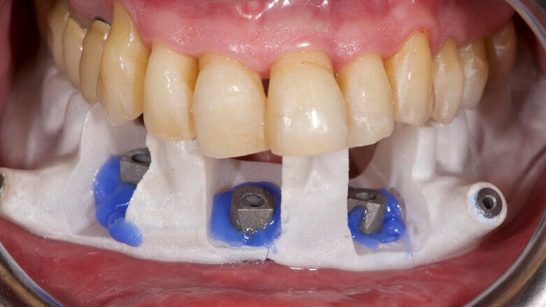
Materials and methods: This study was designed as a pilot case series study aimed at evaluating the feasibility of a new extraoral chairside prosthesis scanning protocol for guided implant surgery in completely edentulous arches. This new protocol includes 2 extraoral chairside scans using a powdered intraoral scanner. The first part is based on the extraoral chairside digitalization of the current prosthesis with added radiopaque markers made in flowable composite and subsequent imaging superimposition with DICOM data. The second part is based on the extraoral chairside digitalization of conventional scan abutments fixed on a specially designed customized tray, based on the original virtual planning.
Results: Three patients (one man and two women) with a mean age of 58.9 years were treated. A total of 13 implants were placed using a guided approach. All of the patients underwent 2 extraoral chairside digitalizations with no deviation from the original protocol. No implant failed and the prosthetic survival rate was 100 percent.
Conclusion: Within the limits of this study, it is suggested that extraoral chairside digitalization may provide better accuracy than conventional methods, permitting fast, easy and accurate treatment at a decreased cost. Randomized controlled trials are needed to evaluate predictability and repeatability of this workflow.
Editorial note: The full article was published in the 2/2018 issue of the Journal of Oral Science and Rehabilitation.
Tags:
An 82-year-old patient presented for complete rehabilitation. The existing maxillary bridge showed Grade III mobility and the residual mandibular teeth ...
Modern restorative and prosthetic dentistry have undergone significant advances over the last five years. Innovations in dental materials have truly ...
Historically, when a patient’s dental condition reached a state of total tooth loss, treatment was limited to a complete denture with no hope of ...
Laser is becoming essential for every modern dental practice. Moreover, from an educational standpoint, there are many benefits in terms of the personal and...
Healthcare is not just about treatment; it is about people—and the words we use have the power to change lives. In fact, the language we use has ...
Pulsed Nd:YAG dental lasers are surgical tools used to obtain specific surgical objectives as defined in the LANAP (laser-assisted new attachment procedure)...
Dr Robbie Hughes is a leading figure in digital dentistry, and his clinical expertise is supported by extensive postgraduate training in implantology, ...
In this article, I present a restorative case study that demonstrates how I used the new iTero Element 5D Plus digital scanner at several stages in the ...
CHARLOTTE, N.C., US: Dentsply Sirona, the world’s largest manufacturer of professional dental products and technologies, in partnership with Smile Train,...
LONDON, England: Efficacy, efficiency and a seamless patient journey are the hallmarks of using the Invisalign Professional Whitening System in conjunction ...
Live webinar
Tue. 12 May 2026
1:00 pm EST (New York)
Live webinar
Thu. 14 May 2026
12:00 pm EST (New York)
Live webinar
Thu. 14 May 2026
2:00 pm EST (New York)
Prof. Hani Ounsi DDS PhD FICD
Live webinar
Tue. 19 May 2026
11:00 am EST (New York)
Live webinar
Tue. 19 May 2026
1:00 pm EST (New York)
Prof. Dr. med. dent. Ivo Krejci
Live webinar
Wed. 20 May 2026
7:00 am EST (New York)
Dr. Graham Carmichael BDSc (Hons), DClinDent (Pros), FRACDS, Dr. Robert Gottlander DDS
Live webinar
Wed. 20 May 2026
9:00 am EST (New York)
To post a reply please login or register